Suppr超能文献

一名残留青少年特发性脊柱侧弯患者的腰椎不稳定骨折:病例报告

Lumbar Spine Instability Fracture in a Patient With Residual Adolescent Idiopathic Scoliosis: A Case Report.

作者信息

Masaki Yuta, Mukaihata Tomohito, Shiga Yasuhiro, Takano Ko, Ohtori Seiji

机构信息

Department of Orthopaedic Surgery, Graduate School of Medicine, Chiba University, Chiba, JPN.

Spine Center, Katori Omigawa Medical Center, Katori, JPN.

出版信息

Cureus. 2025 Jun 17;17(6):e86210. doi: 10.7759/cureus.86210. eCollection 2025 Jun.

Abstract

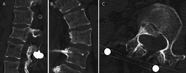
Lumbar spine instability fractures in patients with residual adolescent idiopathic scoliosis (AIS) are rare, and optimal treatment strategies remain unclear. Surgical management must consider both immediate fracture stabilization and the potential need for future scoliosis correction. A 24-year-old woman with residual AIS (Cobb angles: 47° thoracic, 60° lumbar) sustained an AO Spine Classification Type B2 lumbar fracture (L2) after falling from the second floor. She presented with severe back pain but no neurological deficits. Radiographic evaluation confirmed vertebral body collapse and posterior ligamentous injury. Posterior fixation alone was chosen over combined anterior-posterior fixation to maintain future options for scoliosis correction. The patient recovered uneventfully, achieving solid bone fusion by seven months postoperatively, at which time the implants were also removed. At the two-year follow-up, she remained asymptomatic with no progression of scoliosis or instability. For lumbar fractures in patients with residual AIS, surgical decision-making should consider future scoliosis management. Posterior fixation alone may be a viable strategy to ensure both stability and surgical flexibility.

摘要

残留青少年特发性脊柱侧凸(AIS)患者的腰椎不稳定骨折较为罕见,最佳治疗策略仍不明确。手术治疗必须兼顾即刻的骨折稳定以及未来脊柱侧凸矫正的潜在需求。一名24岁残留AIS(Cobb角:胸椎47°,腰椎60°)的女性从二楼坠落,发生AO脊柱分类B2型腰椎骨折(L2)。她表现为严重背痛,但无神经功能缺损。影像学评估证实椎体塌陷和后韧带损伤。选择单纯后路固定而非前后联合固定,以保留未来脊柱侧凸矫正的选择。患者恢复顺利,术后7个月实现了牢固的骨融合,此时植入物也被取出。在两年随访时,她无症状,脊柱侧凸或不稳定均无进展。对于残留AIS患者的腰椎骨折,手术决策应考虑未来的脊柱侧凸治疗。单纯后路固定可能是确保稳定性和手术灵活性的可行策略。

https://cdn.ncbi.nlm.nih.gov/pmc/blobs/59d3/12269717/4f88803ab355/cureus-0017-00000086210-i01.jpg

文献AI研究员

20分钟写一篇综述,助力文献阅读效率提升50倍。

立即体验

用中文搜PubMed

大模型驱动的PubMed中文搜索引擎

马上搜索

文档翻译

学术文献翻译模型,支持多种主流文档格式。

立即体验