• 文献检索
  • 文档翻译
  • 深度研究
  • 学术资讯
  • Suppr Zotero 插件Zotero 插件
  • 邀请有礼
  • 套餐&价格
  • 历史记录
应用&插件
Suppr Zotero 插件Zotero 插件浏览器插件Mac 客户端Windows 客户端微信小程序
定价
高级版会员购买积分包购买API积分包
服务
文献检索文档翻译深度研究API 文档MCP 服务
关于我们
关于 Suppr公司介绍联系我们用户协议隐私条款
关注我们

Suppr 超能文献

核心技术专利:CN118964589B侵权必究
粤ICP备2023148730 号-1Suppr @ 2026

文献检索

告别复杂PubMed语法,用中文像聊天一样搜索,搜遍4000万医学文献。AI智能推荐,让科研检索更轻松。

立即免费搜索

文件翻译

保留排版,准确专业,支持PDF/Word/PPT等文件格式,支持 12+语言互译。

免费翻译文档

深度研究

AI帮你快速写综述,25分钟生成高质量综述,智能提取关键信息,辅助科研写作。

立即免费体验

卵巢支持-间质细胞瘤的超声造影表现:一例具有超声-病理见解的病例报告

Contrast-enhanced ultrasound findings of ovarian Sertoli-Leydig cell tumor: a case report with ultrasonographic-pathological insights.

作者信息

Lin Siting, Zhang Man, Wu Manli, Zhang Xinling

机构信息

Department of Ultrasound, the Third Affiliated Hospital of Sun Yat-sen University, 600 Tianhe Road, Guangzhou, Guangdong Province, 510630, China.

出版信息

BMC Womens Health. 2025 Jul 18;25(1):358. doi: 10.1186/s12905-025-03910-0.

DOI:10.1186/s12905-025-03910-0
PMID:40682079
原文链接:https://pmc.ncbi.nlm.nih.gov/articles/PMC12273292/
Abstract

BACKGROUND

Ovarian Sertoli-Leydig Cell Tumors (SLCTs) are exceedingly rare sex cord-stromal tumors with non-specific clinical features and limited diagnostic imaging. We evaluated the ultrasonographic-pathological correlation of ovarian SLCT and explored the clinical value of contrast-enhanced ultrasound (CEUS) through a case analysis of a 62-year-old woman with a SLCT.

CASE PRESENTATION

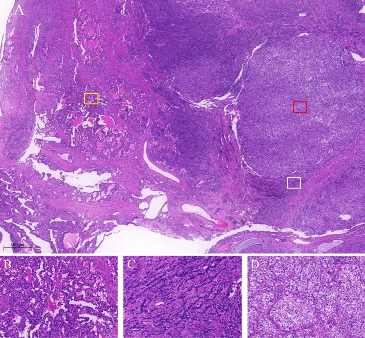
A 62-year-old postmenopausal woman presented with abdominal distension. Serum testosterone was elevated (4.43 nmol/L; normal range 0.45-1.26nmol/L). Ultrasound revealed a large multilocular cystic lesion with solid components in the pelvic-abdominal region, marked by abundant blood flow within the septa and solid areas, along with low-resistance arterial flow in the solid component of the tumor. CEUS demonstrated rapid and heterogeneous high enhancement in the tumor's cystic wall, septa, and solid components during the wash-in phase. Additionally, there was early washout compared to the myometrial layer. Total hysterectomy with bilateral salpingo-oophorectomy was performed. Histopathology confirmed moderately-poorly differentiated SLCT.

CONCLUSIONS

The CEUS pattern of SLCT (rapid heterogeneous hyperenhancement with early wash-out) is similar to that of malignant ovarian tumors. The diagnosis of SLCT cannot rely solely on imaging findings. Integrated clinical and laboratory findings are crucial for differentiating SLCT from ovarian cancer.

摘要

背景

卵巢支持-间质细胞瘤(SLCT)是极为罕见的性索间质肿瘤,具有非特异性临床特征且诊断性影像学表现有限。我们通过对一名62岁患有SLCT的女性进行病例分析,评估了卵巢SLCT的超声与病理相关性,并探讨了超声造影(CEUS)的临床价值。

病例介绍

一名62岁绝经后女性出现腹胀。血清睾酮升高(4.43 nmol/L;正常范围0.45 - 1.26 nmol/L)。超声显示盆腔-腹部区域有一个大的多房囊性病变,伴有实性成分,其特征为分隔及实性区域内血流丰富,肿瘤实性成分呈低阻力动脉血流。CEUS显示在动脉期肿瘤的囊壁、分隔及实性成分呈快速且不均匀的高增强。此外,与肌层相比有早期廓清。行全子宫双侧附件切除术。组织病理学证实为中-低分化SLCT。

结论

SLCT的CEUS表现(快速不均匀高增强伴早期廓清)与恶性卵巢肿瘤相似。SLCT的诊断不能仅依赖影像学表现。综合临床和实验室检查结果对于鉴别SLCT与卵巢癌至关重要。

https://cdn.ncbi.nlm.nih.gov/pmc/blobs/180c/12273292/c4abc7120850/12905_2025_3910_Fig4_HTML.jpg
https://cdn.ncbi.nlm.nih.gov/pmc/blobs/180c/12273292/fba210e8d734/12905_2025_3910_Fig2_HTML.jpg
https://cdn.ncbi.nlm.nih.gov/pmc/blobs/180c/12273292/15905def0da0/12905_2025_3910_Fig3_HTML.jpg
https://cdn.ncbi.nlm.nih.gov/pmc/blobs/180c/12273292/ed7bfc313b2f/12905_2025_3910_Fig1_HTML.jpg
https://cdn.ncbi.nlm.nih.gov/pmc/blobs/180c/12273292/c4abc7120850/12905_2025_3910_Fig4_HTML.jpg
https://cdn.ncbi.nlm.nih.gov/pmc/blobs/180c/12273292/fba210e8d734/12905_2025_3910_Fig2_HTML.jpg
https://cdn.ncbi.nlm.nih.gov/pmc/blobs/180c/12273292/15905def0da0/12905_2025_3910_Fig3_HTML.jpg
https://cdn.ncbi.nlm.nih.gov/pmc/blobs/180c/12273292/ed7bfc313b2f/12905_2025_3910_Fig1_HTML.jpg
https://cdn.ncbi.nlm.nih.gov/pmc/blobs/180c/12273292/c4abc7120850/12905_2025_3910_Fig4_HTML.jpg

相似文献

1
Contrast-enhanced ultrasound findings of ovarian Sertoli-Leydig cell tumor: a case report with ultrasonographic-pathological insights.卵巢支持-间质细胞瘤的超声造影表现:一例具有超声-病理见解的病例报告
BMC Womens Health. 2025 Jul 18;25(1):358. doi: 10.1186/s12905-025-03910-0.
2
Outcomes in ovarian Sertoli-Leydig cell tumor: A report from the International Pleuropulmonary Blastoma/DICER1 and Ovarian and Testicular Stromal Tumor Registries.卵巢 Sertoli-Leydig 细胞肿瘤的结局:来自国际胸膜肺胚细胞瘤/DICER1 及卵巢和睾丸间质肿瘤登记处的报告。
Gynecol Oncol. 2024 Jul;186:117-125. doi: 10.1016/j.ygyno.2024.04.005. Epub 2024 Apr 23.
3
Prognostic Significance of Germline Pathogenic or Likely Pathogenic Variants in Outcomes of Ovarian Sertoli-Leydig Cell Tumor.种系致病性或可能致病性变异在卵巢支持-间质细胞瘤预后中的意义
JCO Precis Oncol. 2025 Apr;9:e2400902. doi: 10.1200/PO-24-00902. Epub 2025 Apr 23.
4
Ovarian Sertoli-Leydig cell tumours: A systematic review of relapsed cases.卵巢 Sertoli-Leydig 细胞瘤:复发病例的系统回顾。
Eur J Obstet Gynecol Reprod Biol. 2021 Aug;263:261-274. doi: 10.1016/j.ejogrb.2021.06.036. Epub 2021 Jun 28.
5
A retrospective case series at a tertiary hospital in china: ultrasonographic features of Struma ovarii.中国一家三级医院的回顾性病例系列研究:卵巢甲状腺肿的超声特征
BMC Cancer. 2025 Jul 16;25(1):1180. doi: 10.1186/s12885-025-14606-x.
6
Sertoli-Leydig cell tumor: An unusual pathological presentation raising a therapeutic dilemma, a case report.支持-间质细胞瘤:一种引发治疗困境的罕见病理表现,病例报告
Int J Surg Case Rep. 2025 Jun 23;133:111565. doi: 10.1016/j.ijscr.2025.111565.
7
Contrast-enhanced ultrasound using SonoVue® (sulphur hexafluoride microbubbles) compared with contrast-enhanced computed tomography and contrast-enhanced magnetic resonance imaging for the characterisation of focal liver lesions and detection of liver metastases: a systematic review and cost-effectiveness analysis.超声造影使用声诺维®(六氟化硫微泡)与对比增强计算机断层扫描和对比增强磁共振成像在局灶性肝脏病变的特征描述和肝转移检测中的比较:系统评价和成本效益分析。
Health Technol Assess. 2013 Apr;17(16):1-243. doi: 10.3310/hta17160.
8
Intraoperative frozen section analysis for the diagnosis of early stage ovarian cancer in suspicious pelvic masses.术中冰冻切片分析用于诊断可疑盆腔肿块中的早期卵巢癌。
Cochrane Database Syst Rev. 2016 Mar 1;3(3):CD010360. doi: 10.1002/14651858.CD010360.pub2.
9
Contrast-enhanced ultrasound for the diagnosis of hepatocellular carcinoma in adults with chronic liver disease.对比增强超声在慢性肝病成人肝细胞癌诊断中的应用。
Cochrane Database Syst Rev. 2022 Sep 2;9(9):CD013483. doi: 10.1002/14651858.CD013483.pub2.
10
Fibrothecoma/Fibroma of ovary-rare ovarian tumors with varied presentation and different modes of management: 14 years' experience from tertiary care hospitals.卵巢纤维瘤/纤维卵泡膜细胞瘤——罕见的卵巢肿瘤,表现多样,治疗方式各异:来自三级医院的14年经验
J Cancer Res Ther. 2025 Apr 1;21(3):700-706. doi: 10.4103/jcrt.jcrt_66_25. Epub 2025 Jul 5.

本文引用的文献

1
Integrating Contrast-enhanced US to O-RADS US for Classification of Adnexal Lesions with Solid Components: Time-intensity Curve Analysis versus Visual Assessment.对比增强超声与 O-RADS 超声联合用于附件实性成分病变分类:时间-强度曲线分析与目测评估的比较。
Radiol Imaging Cancer. 2024 Nov;6(6):e240024. doi: 10.1148/rycan.240024.
2
Diagnostic Value of Contrast-Enhanced Ultrasound in Benign and Malignant Adnexal Masses: A Meta-Analysis.超声造影在附件区良恶性肿块中的诊断价值:一项Meta分析
J Ultrasound Med. 2025 Jan;44(1):5-14. doi: 10.1002/jum.16580. Epub 2024 Sep 24.
3
A modified CEUS risk stratification model for adnexal masses with solid components: prospective multicenter study and risk adjustment.
改良的附件区实性肿块超声造影风险分层模型:前瞻性多中心研究和风险调整。
Eur Radiol. 2024 Sep;34(9):5978-5988. doi: 10.1007/s00330-024-10639-1. Epub 2024 Feb 19.
4
Sertoli-Leydig cell tumor: a clinicopathological analysis in a comprehensive, national cohort.支持细胞-间质细胞瘤:全国性综合队列的临床病理分析。
Int J Gynecol Cancer. 2023 Dec 4;33(12):1921-1927. doi: 10.1136/ijgc-2023-004945.
5
Imaging in gynecological disease (27): clinical and ultrasound characteristics of recurrent ovarian stromal cell tumors.妇科疾病的影像学(27):复发性卵巢间质细胞瘤的临床及超声特征
Ultrasound Obstet Gynecol. 2024 Mar;63(3):399-407. doi: 10.1002/uog.27504. Epub 2024 Feb 6.
6
Moderately-differentiated Ovarian Sertoli-Leydig Cell Tumor With a Concurrent Serous Borderline Tumor in a 16-year-old Girl.16 岁女孩的中分化卵巢支持-间质细胞瘤伴同时性浆液性交界性肿瘤。
Int J Gynecol Pathol. 2024 Mar 1;43(2):140-144. doi: 10.1097/PGP.0000000000000971. Epub 2023 Jul 18.
7
O-RADS combined with contrast-enhanced ultrasound in risk stratification of adnexal masses.O-RADS 联合增强超声在附件肿块风险分层中的应用。
J Ovarian Res. 2023 Aug 3;16(1):153. doi: 10.1186/s13048-023-01243-w.
8
Comparative Study of the Efficacy of the Ovarian-Adnexa Reporting and Data System Ultrasound Combined With Contrast-Enhanced Ultrasound and the ADNEX MR Scoring System in the Diagnosis of Adnexal Masses.卵巢-附件报告和数据系统超声联合增强超声与 ADNEX MR 评分系统对附件包块诊断效能的比较研究。
Ultrasound Med Biol. 2023 Sep;49(9):2072-2080. doi: 10.1016/j.ultrasmedbio.2023.05.012. Epub 2023 Jun 14.
9
Sonographic characteristics of ovarian Leydig cell tumor.卵巢莱迪希细胞瘤的超声特征
Ultrasound Obstet Gynecol. 2023 Sep;62(3):441-442. doi: 10.1002/uog.26212.
10
Comparison of contrast-enhanced ultrasound, IOTA simple rules and O-RADS for assessing the malignant risk of sonographically appearing solid ovarian masses.超声造影、IOTA简单规则和O-RADS在评估超声表现为实性卵巢肿块恶性风险中的比较
J Gynecol Obstet Hum Reprod. 2023 Apr;52(4):102564. doi: 10.1016/j.jogoh.2023.102564. Epub 2023 Mar 2.