• 文献检索
  • 文档翻译
  • 深度研究
  • 学术资讯
  • Suppr Zotero 插件Zotero 插件
  • 邀请有礼
  • 套餐&价格
  • 历史记录
应用&插件
Suppr Zotero 插件Zotero 插件浏览器插件Mac 客户端Windows 客户端微信小程序
定价
高级版会员购买积分包购买API积分包
服务
文献检索文档翻译深度研究API 文档MCP 服务
关于我们
关于 Suppr公司介绍联系我们用户协议隐私条款
关注我们

Suppr 超能文献

核心技术专利:CN118964589B侵权必究
粤ICP备2023148730 号-1Suppr @ 2026

文献检索

告别复杂PubMed语法,用中文像聊天一样搜索,搜遍4000万医学文献。AI智能推荐,让科研检索更轻松。

立即免费搜索

文件翻译

保留排版,准确专业,支持PDF/Word/PPT等文件格式,支持 12+语言互译。

免费翻译文档

深度研究

AI帮你快速写综述,25分钟生成高质量综述,智能提取关键信息,辅助科研写作。

立即免费体验

不仅仅是腔隙性梗死和白质脑病:伴有皮质下梗死和白质脑病的常染色体显性遗传性脑动脉病(CADASIL)中的出血性卒中

More than lacunes and leukoencephalopathy: A hemorrhagic stroke in CADASIL.

作者信息

Jabbari Chaimaa, Laridi Aya, Laasri Ihssane, Bennasser Abdallah, Ait Belhaj ElMahdi, Farouki Ayman El, El Fenni Jamal

机构信息

Department of Radiology, Mohammed V Military Instruction Hospital, Faculty of Medicine and Pharmacy of Rabat, Mohammed V University, Rabat, Morocco.

出版信息

Radiol Case Rep. 2025 Jul 9;20(9):4873-4876. doi: 10.1016/j.radcr.2025.06.037. eCollection 2025 Sep.

DOI:10.1016/j.radcr.2025.06.037
PMID:40686805
原文链接:https://pmc.ncbi.nlm.nih.gov/articles/PMC12274750/
Abstract

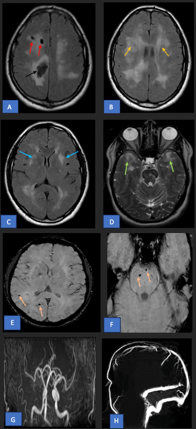
Cerebral autosomal dominant arteriopathy with subcortical infarcts and leukoencephalopathy (CADASIL) is a hereditary small vessel disease caused by mutations in the NOTCH3 gene. Its clinical presentation includes recurrent lacunar infarcts, transient ischemic attacks, cognitive decline, migraine, and psychiatric disorders. Neuroimaging typically reveals white matter changes, particularly in the basal ganglia, external capsules, and anterior temporal lobes. While CADASIL is primarily associated with ischemic events, hemorrhagic manifestations are rare. We present a case of a CADASIL patient who presented with left-sided hemiparesis. Imaging revealed a right paracentral intracerebral hemorrhage, an atypical finding in CADASIL. This case highlights the potential for hemorrhagic complications in CADASIL and emphasizes the importance of recognizing these rare presentations in clinical practice.

摘要

伴有皮质下梗死和白质脑病的常染色体显性遗传性脑动脉病(CADASIL)是一种由NOTCH3基因突变引起的遗传性小血管疾病。其临床表现包括反复发作的腔隙性梗死、短暂性脑缺血发作、认知功能下降、偏头痛和精神障碍。神经影像学检查通常显示白质改变,尤其是在基底节、外囊和颞叶前部。虽然CADASIL主要与缺血性事件相关,但出血性表现很少见。我们报告一例CADASIL患者,该患者表现为左侧偏瘫。影像学检查发现右侧脑中央旁脑出血,这在CADASIL中是一个非典型表现。该病例突出了CADASIL出血性并发症的可能性,并强调了在临床实践中认识这些罕见表现的重要性。

https://cdn.ncbi.nlm.nih.gov/pmc/blobs/5571/12274750/ad89d9151197/gr2.jpg
https://cdn.ncbi.nlm.nih.gov/pmc/blobs/5571/12274750/c92d19e3b530/gr1.jpg
https://cdn.ncbi.nlm.nih.gov/pmc/blobs/5571/12274750/ad89d9151197/gr2.jpg
https://cdn.ncbi.nlm.nih.gov/pmc/blobs/5571/12274750/c92d19e3b530/gr1.jpg
https://cdn.ncbi.nlm.nih.gov/pmc/blobs/5571/12274750/ad89d9151197/gr2.jpg

相似文献

1
More than lacunes and leukoencephalopathy: A hemorrhagic stroke in CADASIL.不仅仅是腔隙性梗死和白质脑病:伴有皮质下梗死和白质脑病的常染色体显性遗传性脑动脉病(CADASIL)中的出血性卒中
Radiol Case Rep. 2025 Jul 9;20(9):4873-4876. doi: 10.1016/j.radcr.2025.06.037. eCollection 2025 Sep.
2
Comparison of clinical and imaging features of cerebral small vessel disease associated with heterozygous and mutations.与杂合子和突变相关的脑小血管病的临床和影像学特征比较。
Int J Stroke. 2025 Jul 3:17474930251359110. doi: 10.1177/17474930251359110.
3
[A Novel Subtype of Cerebral Autosomal Dominant Arteriopathy with Subcortical Infarcts and Leukoencephalopathy (CADASIL): Pro-hemorrhagic CADASIL].[一种伴有皮质下梗死和白质脑病的脑常染色体显性动脉病(CADASIL)的新型亚型:出血前CADASIL]
Brain Nerve. 2025 Jun;77(6):721-727. doi: 10.11477/mf.188160960770060721.
4
"String hallucinations": a case of Cerebral Autosomal Dominant Arteriopathy with Subcortical Infarcts and Leukoencephalopathy (CADASIL) with multimodal visual and somatic disturbances.“线状幻觉”:一例伴有多模式视觉和躯体障碍的大脑常染色体显性动脉病伴皮质下梗死和白质脑病(CADASIL)
Cogn Neuropsychiatry. 2025 Mar;30(2):92-103. doi: 10.1080/13546805.2025.2490793. Epub 2025 May 4.
5
Phenotypes Associated with NOTCH3 Cysteine-Sparing Mutations in Patients with Clinical Suspicion of CADASIL: A Systematic Review.与临床疑似 CADASIL 患者的 NOTCH3 半胱氨酸节约突变相关的表型:系统评价。
Int J Mol Sci. 2024 Aug 13;25(16):8796. doi: 10.3390/ijms25168796.
6
Intravenous thrombolysis in CADASIL: report of two cases and a systematic review.颅内动脉粥样硬化性疾病(CADASIL)患者的静脉溶栓治疗:两例病例报告和系统评价。
Neurol Sci. 2023 Feb;44(2):491-498. doi: 10.1007/s10072-022-06449-2. Epub 2022 Oct 18.
7
Enlarged perivascular spaces are associated with white matter injury, cognition and inflammation in cerebral autosomal dominant arteriopathy with subcortical infarcts and leukoencephalopathy.在伴有皮质下梗死和白质脑病的脑常染色体显性动脉病中,血管周围间隙扩大与白质损伤、认知及炎症相关。
Brain Commun. 2024 Mar 8;6(2):fcae071. doi: 10.1093/braincomms/fcae071. eCollection 2024.
8
[Treatment-refractory chronic depression in a CADASIL patient with a symptom-free somatic course: a case report].[CADASIL患者出现无躯体症状病程的难治性慢性抑郁症:一例报告]
Fortschr Neurol Psychiatr. 2025 Jul;93(7-08):306-310. doi: 10.1055/a-2512-7605. Epub 2025 Feb 7.
9
Association Between Vascular NOTCH3 Aggregation and Disease Severity in a CADASIL Cohort - Implications for NOTCH3 Variant-Specific Disease Prediction.CADASIL队列中血管性NOTCH3聚集与疾病严重程度的关联——对NOTCH3特异性疾病预测的启示
Ann Neurol. 2025 Aug;98(2):273-285. doi: 10.1002/ana.27240. Epub 2025 Apr 23.
10
Cerebral small vessel disease associated with COL4A1 and COL4A2 duplication: clinical and MRI features resembling CADASIL.与COL4A1和COL4A2重复相关的脑小血管病:类似大脑常染色体显性动脉病伴皮质下梗死和白质脑病(CADASIL)的临床和磁共振成像特征
Neurol Sci. 2025 Apr 22. doi: 10.1007/s10072-025-08175-x.

本文引用的文献

1
Prevalence, clinical characteristics, and risk factors of intracerebral haemorrhage in CADASIL: a case series and systematic review.伴有皮质下梗死和白质脑病的常染色体显性遗传性脑动脉病(CADASIL)患者脑出血的患病率、临床特征及危险因素:病例系列研究与系统评价
J Neurol. 2024 May;271(5):2423-2433. doi: 10.1007/s00415-023-12177-0. Epub 2024 Jan 13.
2
Archetypal mutations frequent in public exome: implications for CADASIL.公共外显子组中常见的原型突变:对伴有皮质下梗死和白质脑病的常染色体显性遗传性脑动脉病的意义
Ann Clin Transl Neurol. 2016 Sep 28;3(11):844-853. doi: 10.1002/acn3.344. eCollection 2016 Nov.
3
The Cerebral Autosomal-Dominant Arteriopathy With Subcortical Infarcts and Leukoencephalopathy (CADASIL) Scale: a screening tool to select patients for NOTCH3 gene analysis.
脑常染色体显性动脉病伴皮质下梗死和白质脑病(CADASIL)量表:一种筛选工具,用于选择 NOTCH3 基因分析的患者。
Stroke. 2012 Nov;43(11):2871-6. doi: 10.1161/STROKEAHA.112.665927. Epub 2012 Sep 20.
4
The prevalence of cerebral autosomal dominant arteriopathy with subcortical infarcts and leucoencephalopathy (CADASIL) in the west of Scotland.苏格兰西部大脑常染色体显性遗传性动脉病伴皮质下梗死和白质脑病(CADASIL)的患病率
J Neurol Neurosurg Psychiatry. 2005 May;76(5):739-41. doi: 10.1136/jnnp.2004.051847.
5
Cerebral microbleeds are regionally associated with intracerebral hemorrhage.脑微出血与脑出血存在区域相关性。
Neurology. 2004 Jan 13;62(1):72-6. doi: 10.1212/01.wnl.0000101463.50798.0d.
6
Differential lesion patterns in CADASIL and sporadic subcortical arteriosclerotic encephalopathy: MR imaging study with statistical parametric group comparison.伴有皮质下梗死和白质脑病的常染色体显性遗传性脑动脉病(CADASIL)与散发性皮质下动脉硬化性脑病的不同病变模式:采用统计参数组比较的磁共振成像研究
Radiology. 2001 Feb;218(2):443-51. doi: 10.1148/radiology.218.2.r01fe24443.
7
CADASIL: a review with proposed diagnostic criteria.伴有皮质下梗死和白质脑病的常染色体显性遗传性脑动脉病(CADASIL):一项提出诊断标准的综述
Eur J Neurol. 1998 May;5(3):219-233. doi: 10.1046/j.1468-1331.1998.530219.x.
8
Summary of the proceedings of the First International Workshop on CADASIL. Paris, May 19-21, 1993.第一届CADASIL国际研讨会会议纪要。巴黎,1993年5月19日至21日。
Stroke. 1994 Mar;25(3):704-7. doi: 10.1161/01.str.25.3.704.
9
Clinical spectrum of CADASIL: a study of 7 families. Cerebral autosomal dominant arteriopathy with subcortical infarcts and leukoencephalopathy.伴有皮质下梗死和白质脑病的常染色体显性遗传性脑动脉病(CADASIL)的临床谱:7个家系的研究
Lancet. 1995 Oct 7;346(8980):934-9. doi: 10.1016/s0140-6736(95)91557-5.