Suppr超能文献

一名1型糖尿病儿科患者的类固醇依赖型肾病综合征

Steroid-Dependent Nephrotic Syndrome in a Pediatric Patient With Type-1 Diabetes Mellitus.

作者信息

Singh Nisha S, Crabb Aubree, Yamaguchi Ikuyo

机构信息

Department of Pediatrics, School of Community Medicine, The University of Oklahoma-Tulsa, Tulsa, Oklahoma, USA.

Department of Pediatrics, Division of Pediatric Nephrology, The University of Oklahoma Health Sciences Center and Oklahoma Children's Hospital, OU Health, Oklahoma City, Oklahoma, USA.

出版信息

Case Rep Nephrol. 2025 Jul 10;2025:5532944. doi: 10.1155/crin/5532944. eCollection 2025.

Abstract

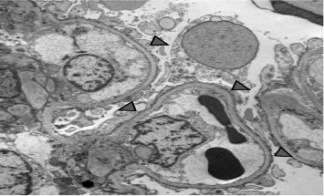
Proteinuria in a patient with long-standing Type 1 diabetes mellitus (T1DM) usually suggests diabetic kidney disease (DKD). However, DKD occurs late in the disease and is associated with hypertension and retinopathy. We report an adolescent with T1DM who, 1 year after initial diagnosis, developed nephrotic syndrome (NS). He was treated with steroids but developed frequent relapses and became steroid-dependent. A subsequent kidney biopsy revealed minimal change disease (MCD) and mild DKD. He was treated with mycophenolate mofetil (MMF) and remains in remission. Primary podocytopathy, such as MCD, is a rare cause of NS in a patient with T1DM. Indications for kidney biopsy and treatment options are similar to those of other children with a diagnosis of NS. This report highlights that, although rare, primary glomerulopathy can occur in pediatric diabetic patients and should be considered in the differential diagnosis of proteinuria, as early recognition and intervention can lead to favorable outcomes.

摘要

长期患有1型糖尿病(T1DM)的患者出现蛋白尿通常提示糖尿病肾病(DKD)。然而,DKD在疾病后期才会出现,且与高血压和视网膜病变有关。我们报告了一名患有T1DM的青少年,在初次诊断1年后出现了肾病综合征(NS)。他接受了类固醇治疗,但频繁复发并对类固醇产生了依赖。随后的肾脏活检显示为微小病变病(MCD)和轻度DKD。他接受了霉酚酸酯(MMF)治疗,目前仍处于缓解期。原发性足细胞病,如MCD,是T1DM患者发生NS的罕见原因。肾脏活检的指征和治疗选择与其他诊断为NS的儿童相似。本报告强调,虽然罕见,但原发性肾小球病可发生于儿童糖尿病患者中,在蛋白尿的鉴别诊断中应予以考虑,因为早期识别和干预可带来良好的预后。

https://cdn.ncbi.nlm.nih.gov/pmc/blobs/b2c5/12271715/27718b448d1d/CRIN2025-5532944.001.jpg

文献AI研究员

20分钟写一篇综述,助力文献阅读效率提升50倍。

立即体验

用中文搜PubMed

大模型驱动的PubMed中文搜索引擎

马上搜索

文档翻译

学术文献翻译模型,支持多种主流文档格式。

立即体验