Suppr超能文献

矢状位T2加权血流空洞MRI在诊断第三脑室造瘘术中的不可靠性:一例长期梗阻性脑积水病例。病例说明。

Unreliable sagittal T2-weighted flow void MRI in diagnosing third ventriculostomy: a case of long-standing obstructive hydrocephalus. Illustrative case.

作者信息

Neri Niccolò, Vignaroli Arianna, Palandri Giorgio, Yamada Shinya

机构信息

Department of Neurosurgery, University of Bologna, Italy.

Department of Neurosurgery, Institute of Neurological Sciences of Bologna IRCCS, Bellaria Hospital, Bologna, Italy.

出版信息

J Neurosurg Case Lessons. 2025 Jul 21;10(3). doi: 10.3171/CASE2531.

Abstract

BACKGROUND

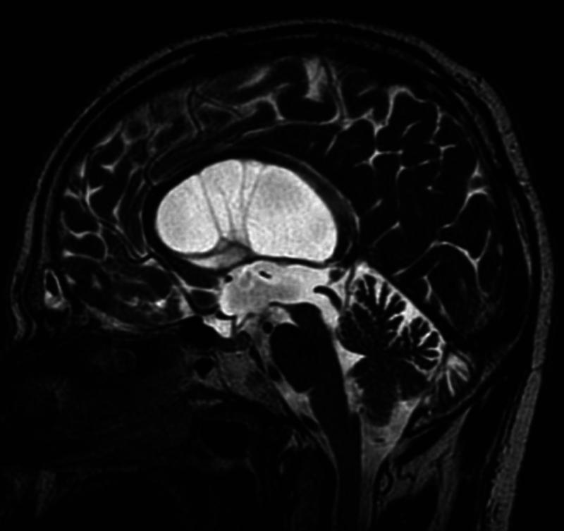
Aqueductal stenosis represents one of the most common causes of CSF intraventricular blockage and may lead to obstructive triventricular hydrocephalus. In rare cases, the spontaneous rupture of the third ventricular floor, known as spontaneous third ventriculostomy (STV), can occur.

OBSERVATIONS

The authors report an illustrative case of pseudo-STV in a 67-year-old man who presented with long-standing obstructive triventricular hydrocephalus. Despite the neuroimaging findings suggesting STV, endoscopic third ventriculostomy showed an intact floor of the third ventricle.

LESSONS

The authors demonstrate the potential for imaging to be misleading in the diagnosis of STV. A flow void artifact on sagittal T2-weighted sequences of the floor of the third ventricle may reflect the fast motion of a thin third ventricular floor or CSF passage through the foramen of Monro rather than flow void through a patent stoma. Endoscopic exploration remains the gold standard for confirming the presence of a ventriculostomy, but other noninvasive tools may help differentiate real CSF intraventricular motion. Dimensional phase-contrast velocity mapping like time-SLIP (arterial spin labeling) MRI could allow the differentiation of flow artifacts caused by the rapid motion of the pulsating floor of the third ventricle from a true ventriculostomy. https://thejns.org/doi/10.3171/CASE2531.

摘要

背景

导水管狭窄是脑脊液脑室系统阻塞最常见的原因之一,可导致梗阻性三脑室脑积水。在罕见情况下,第三脑室底部可发生自发性破裂,即自发性第三脑室造瘘术(STV)。

观察结果

作者报告了一例67岁男性的假性STV病例,该患者患有长期梗阻性三脑室脑积水。尽管神经影像学检查结果提示STV,但内镜下第三脑室造瘘术显示第三脑室底部完整。

经验教训

作者证明了影像学检查在STV诊断中可能产生误导。第三脑室底部矢状位T2加权序列上的流空伪影可能反映了薄的第三脑室底部的快速运动或脑脊液通过室间孔的流动,而不是通过开放造口的流空。内镜探查仍然是确认存在脑室造瘘术的金标准,但其他非侵入性工具可能有助于区分真正的脑脊液脑室内流动。像时间SLIP(动脉自旋标记)MRI这样的三维相位对比速度映射可以区分由第三脑室搏动底部的快速运动引起的流动伪影和真正的脑室造瘘术。https://thejns.org/doi/10.3171/CASE2531

https://cdn.ncbi.nlm.nih.gov/pmc/blobs/8c49/12278952/d39af20d6cd6/CASE2531_figure_1.jpg

文献检索

告别复杂PubMed语法,用中文像聊天一样搜索,搜遍4000万医学文献。AI智能推荐,让科研检索更轻松。

立即免费搜索

文件翻译

保留排版,准确专业,支持PDF/Word/PPT等文件格式,支持 12+语言互译。

免费翻译文档

深度研究

AI帮你快速写综述,25分钟生成高质量综述,智能提取关键信息,辅助科研写作。

立即免费体验