Suppr超能文献

色素沉着皮肤附属器肿瘤的皮肤镜检查:作为一项扩展至深肤色的诊断挑战

Dermoscopy of Adnexal Tumors in Skin of Colour as a Diagnostic Challenge Extended to Dark Skin Tones.

作者信息

Karampinis Emmanouil, Enechukwu Nkechi Anne, Lazaridou Elizabeth, Behera Biswanath, Errichetti Enzo

机构信息

Dermatology, University of Larissa, Larissa, GRC.

Dermatology, Nnamdi Azikiwe University Teaching Hospital, Nnewi, NGA.

出版信息

Cureus. 2025 Jun 21;17(6):e86501. doi: 10.7759/cureus.86501. eCollection 2025 Jun.

Abstract

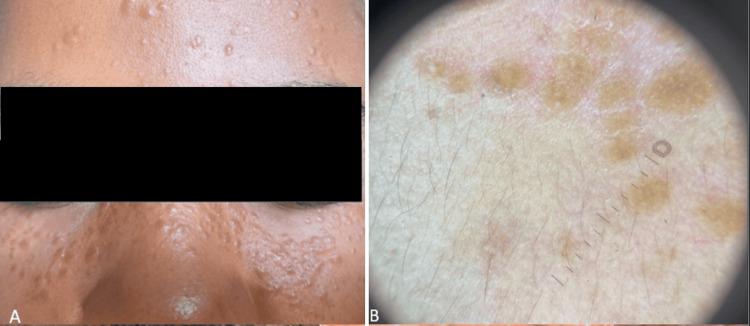
Skin adnexal tumors represent a wide spectrum of benign and malignant neoplasms, presenting morphological differentiation toward various adnexal structures. Skin of color variations in skin architecture and melanin production have been documented, possibly affecting the development and progression of those tumors, as well as their clinical and dermoscopy image. Therefore, we present a case series of clinical and dermoscopy presentations of adnexal neoplasms in skin of color individuals (Africans and Indians). We also compare these findings with 11 case reports and three case series that presented dermoscopy traits in adnexal tumors in dark-skinned patients found in medical literature. The most common pigmentation trait found was brown blotches or brown structureless areas, corresponding to the increased epidermal pigmentation. Arborizing vessels, a characteristic of basal cell carcinoma (BCC), are frequently seen in trichoepitheliomas, cylindromas, and apocrine hydrocystomas, raising diagnostic challenges. Differentiating adnexal tumors from nodular BCC in skin of color poses a challenge due to overlapping features. Additional studies on the clinical evaluations of adnexal tumors are warranted. Early detection and prompt diagnosis are crucial, especially when differentiating benign adnexal tumors from malignant skin cancers, as this differential diagnosis significantly influences management and treatment outcomes.

摘要

皮肤附属器肿瘤涵盖了广泛的良性和恶性肿瘤,呈现出向各种附属器结构的形态分化。已有文献记载了不同肤色人群皮肤结构和黑色素生成的差异,这可能会影响这些肿瘤的发生发展及其临床和皮肤镜表现。因此,我们展示了一组有色人种(非洲人和印度人)皮肤附属器肿瘤的临床和皮肤镜表现病例系列。我们还将这些发现与医学文献中报道的11例病例报告和3个病例系列进行了比较,这些病例系列展示了深色皮肤患者附属器肿瘤的皮肤镜特征。最常见的色素沉着特征是褐色斑点或褐色无结构区域,这与表皮色素沉着增加相对应。树枝状血管是基底细胞癌(BCC)的一个特征,在毛发上皮瘤、圆柱瘤和大汗腺囊瘤中经常可见,这增加了诊断的挑战性。由于特征重叠,在有色人种皮肤中区分附属器肿瘤与结节性BCC具有挑战性。有必要对附属器肿瘤的临床评估进行更多研究。早期发现和及时诊断至关重要,尤其是在区分良性附属器肿瘤与恶性皮肤癌时,因为这种鉴别诊断会显著影响管理和治疗结果。

https://cdn.ncbi.nlm.nih.gov/pmc/blobs/cd08/12279288/eb0c7d934530/cureus-0017-00000086501-i01.jpg

文献检索

告别复杂PubMed语法,用中文像聊天一样搜索,搜遍4000万医学文献。AI智能推荐,让科研检索更轻松。

立即免费搜索

文件翻译

保留排版,准确专业,支持PDF/Word/PPT等文件格式,支持 12+语言互译。

免费翻译文档

深度研究

AI帮你快速写综述,25分钟生成高质量综述,智能提取关键信息,辅助科研写作。

立即免费体验