Suppr超能文献

内镜活检阴性且无外周嗜酸性粒细胞增多的嗜酸性粒细胞性胃肠炎:一例报告

Eosinophilic gastroenteritis with negative endoscopic biopsy and no peripheral eosinophilia: A case report.

作者信息

Chen Yukai, Sun Keke, Chen Linbo, Lu Dewen, Shi Chihong, Lin Qi

机构信息

Department of Gastroenterology, The Affiliated People's Hospital of Ningbo University, Ningbo, Zhejiang Province, China.

出版信息

Medicine (Baltimore). 2025 Jul 18;104(29):e43289. doi: 10.1097/MD.0000000000043289.

Abstract

RATIONALE

Eosinophilic gastroenteritis (EoGE) is a rare inflammatory disease that can affect the entire gastrointestinal tract. Klein et al classified EoGE into 3 distinct subtypes according to the depth of eosinophilic infiltration: mucosal, muscular, and serosal.

PATIENT CONCERNS

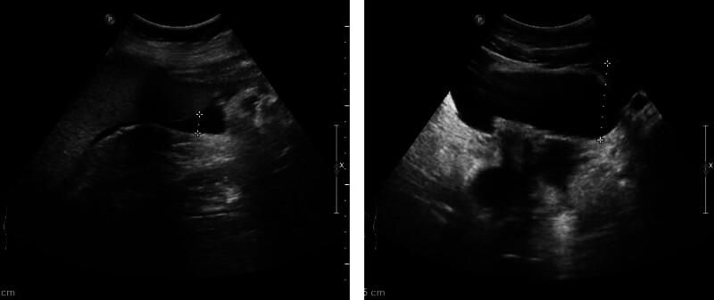
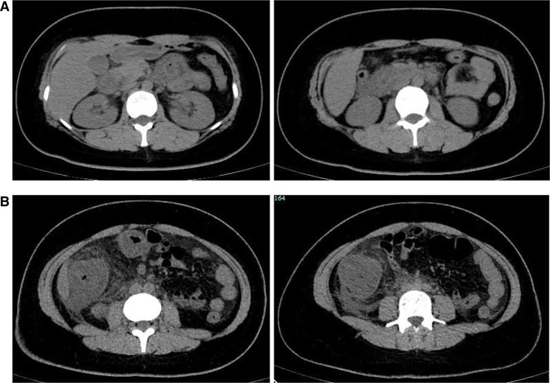
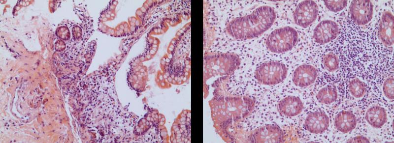
We herein report a case of a 29-year-old woman who presented with abdominal pain, nausea, and vomiting, with no history of adverse reactions to any allergens. Laboratory test results revealed a normal count of peripheral blood eosinophils. Ultrasound and computed tomography revealed thickened intestinal walls and ascites in both the abdominal cavity and the pelvic cavity. Multiple endoscopic biopsies targeting several swelling segments of the intestinal wall revealed no increase in the number of eosinophils.

DIAGNOSES

The constellation of clinical, laboratory, radiological findings, histopathological data, and the excellent response to corticosteroids led to a diagnosis of EoGE for the patient.

INTERVENTIONS

The patient was treated with corticosteroids.

OUTCOMES

Symptoms improved rapidly, and the thickened intestinal walls returned to a typical level.

LESSONS

EoGE should be considered scrupulously, even if the count of eosinophils is in the normal range and the endoscopic biopsy is negative. Obtaining pathology of ascites as much as possible and taking a multisite biopsy sample, including both targeted and random biopsies, may improve the diagnostic rate.

摘要

理论依据

嗜酸性粒细胞性胃肠炎(EoGE)是一种罕见的炎症性疾病,可累及整个胃肠道。Klein等人根据嗜酸性粒细胞浸润的深度将EoGE分为3种不同的亚型:黏膜型、肌层型和浆膜型。

患者情况

我们在此报告一例29岁女性患者,她出现腹痛、恶心和呕吐症状,既往无任何过敏原不良反应史。实验室检查结果显示外周血嗜酸性粒细胞计数正常。超声和计算机断层扫描显示肠壁增厚,腹腔和盆腔均有腹水。针对肠壁多个肿胀节段进行的多次内镜活检显示嗜酸性粒细胞数量未增加。

诊断

临床、实验室、影像学检查结果、组织病理学数据以及对皮质类固醇的良好反应共同导致该患者被诊断为EoGE。

干预措施

该患者接受了皮质类固醇治疗。

结果

症状迅速改善,增厚的肠壁恢复到正常水平。

经验教训

即使嗜酸性粒细胞计数在正常范围内且内镜活检为阴性,也应谨慎考虑EoGE。尽可能获取腹水病理,并进行多部位活检取样,包括靶向活检和随机活检,可能会提高诊断率。

https://cdn.ncbi.nlm.nih.gov/pmc/blobs/2623/12282817/892ee3fe8527/medi-104-e43289-g001.jpg

文献检索

告别复杂PubMed语法,用中文像聊天一样搜索,搜遍4000万医学文献。AI智能推荐,让科研检索更轻松。

立即免费搜索

文件翻译

保留排版,准确专业,支持PDF/Word/PPT等文件格式,支持 12+语言互译。

免费翻译文档

深度研究

AI帮你快速写综述,25分钟生成高质量综述,智能提取关键信息,辅助科研写作。

立即免费体验