Suppr超能文献

以假性贲门失弛缓症为首发表现的弥漫浸润性食管鳞状细胞癌:一例报告

Pseudoachalasia as first manifestation of a diffusely infiltrative esophageal squamous cell carcinoma: A case report.

作者信息

He You-Sheng, Lee Chi-Yu, Shieh Tze-Yu

机构信息

Department of Internal Medicine, MacKay Memorial Hospital, Taipei 104, Taiwan.

Division of Gastroenterology and Hepatology, Department of Internal Medicine, MacKay Memorial Hospital, Taipei 104, Taiwan.

出版信息

World J Gastrointest Oncol. 2025 Jul 15;17(7):108162. doi: 10.4251/wjgo.v17.i7.108162.

Abstract

BACKGROUND

Pseudoachalasia closely mimics the clinical symptoms of idiopathic achalasia in both clinical symptoms and diagnostic findings, including those from high-resolution manometry and barium esophagography. The similarities often lead to misdiagnosis and the delay of appropriate treatment management. Although most malignancy-associated pseudoachalasia cases are attributed to adenocarcinoma at the gastroesophageal junction, pseudoachalasia due to esophageal squamous cell carcinoma (ESCC) should also be considered. However, the diffuse infiltrative growth patterns that can occur with ESCC can make diagnosis challenging.

CASE SUMMARY

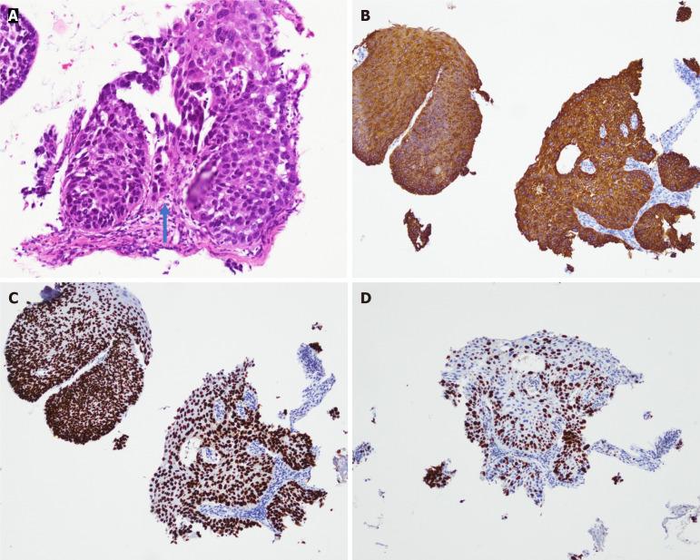
We report the case of a 60-year-old man who presented with progressive dysphagia, weight loss, and nocturnal cough. Esophagogastroduodenoscopy, timed barium esophagogram, and high-resolution manometry were conducted. The results of these investigations supported a diagnosis of type II idiopathic achalasia. However, preoperative computed tomography revealed atypical findings, which prompted further evaluation. Repeat endoscopy with magnifying narrow-band imaging identified abnormal mucosal and vascular patterns, and endoscopic ultrasound demonstrated hypoechoic submucosal lesions with involvement of the muscularis propria. Targeted biopsies confirmed moderately differentiated ESCC. Positron emission tomography revealed extensive metastatic disease; therefore, the patient was diagnosed with stage IVB ESCC. Peroral endoscopic myotomy was aborted, and the patient was referred for palliative chemoradiotherapy.

CONCLUSION

Atypical malignant features should be critically examined. Multimodal tools such as magnifying narrow-band imaging and endoscopic ultrasound are essential for diagnosing pseudoachalasia.

摘要

背景

假性贲门失弛缓症在临床症状和诊断结果上与特发性贲门失弛缓症极为相似,包括高分辨率测压法和食管钡餐造影的结果。这些相似之处常常导致误诊以及适当治疗管理的延误。尽管大多数与恶性肿瘤相关的假性贲门失弛缓症病例归因于胃食管交界处的腺癌,但也应考虑食管鳞状细胞癌(ESCC)导致的假性贲门失弛缓症。然而,ESCC可能出现的弥漫性浸润性生长模式会使诊断具有挑战性。

病例摘要

我们报告了一名60岁男性的病例,该患者表现为进行性吞咽困难、体重减轻和夜间咳嗽。进行了食管胃十二指肠镜检查、定时食管钡餐造影和高分辨率测压法。这些检查结果支持II型特发性贲门失弛缓症的诊断。然而,术前计算机断层扫描显示出非典型表现,这促使进一步评估。重复内镜检查并使用放大窄带成像识别出异常的黏膜和血管模式,内镜超声显示低回声黏膜下病变累及固有肌层。靶向活检确诊为中分化ESCC。正电子发射断层扫描显示广泛转移;因此,该患者被诊断为IVB期ESCC。经口内镜下肌切开术中止,患者被转诊接受姑息性放化疗。

结论

应严格检查非典型恶性特征。诸如放大窄带成像和内镜超声等多模式工具对于诊断假性贲门失弛缓症至关重要。

https://cdn.ncbi.nlm.nih.gov/pmc/blobs/e088/12278238/e26010a20af3/wjgo-17-7-108162-g001.jpg

文献检索

告别复杂PubMed语法,用中文像聊天一样搜索,搜遍4000万医学文献。AI智能推荐,让科研检索更轻松。

立即免费搜索

文件翻译

保留排版,准确专业,支持PDF/Word/PPT等文件格式,支持 12+语言互译。

免费翻译文档

深度研究

AI帮你快速写综述,25分钟生成高质量综述,智能提取关键信息,辅助科研写作。

立即免费体验