• 文献检索
  • 文档翻译
  • 深度研究
  • 学术资讯
  • Suppr Zotero 插件Zotero 插件
  • 邀请有礼
  • 套餐&价格
  • 历史记录
应用&插件
Suppr Zotero 插件Zotero 插件浏览器插件Mac 客户端Windows 客户端微信小程序
定价
高级版会员购买积分包购买API积分包
服务
文献检索文档翻译深度研究API 文档MCP 服务
关于我们
关于 Suppr公司介绍联系我们用户协议隐私条款
关注我们

Suppr 超能文献

核心技术专利:CN118964589B侵权必究
粤ICP备2023148730 号-1Suppr @ 2026

文献检索

告别复杂PubMed语法,用中文像聊天一样搜索,搜遍4000万医学文献。AI智能推荐,让科研检索更轻松。

立即免费搜索

文件翻译

保留排版,准确专业,支持PDF/Word/PPT等文件格式,支持 12+语言互译。

免费翻译文档

深度研究

AI帮你快速写综述,25分钟生成高质量综述,智能提取关键信息,辅助科研写作。

立即免费体验

胸腔内肱骨头骨折:一例报告

Intrathoracic Humeral Head Fracture: A Case Report.

作者信息

Zee Kalvin, Patel Shiv, Losh Joseph

机构信息

General Surgery, MercyOne Medical Center, Des Moines, USA.

Acute Care Surgery, MercyOne Medical Center, Des Moines, USA.

出版信息

Cureus. 2025 Jun 22;17(6):e86554. doi: 10.7759/cureus.86554. eCollection 2025 Jun.

DOI:10.7759/cureus.86554
PMID:40698214
原文链接:https://pmc.ncbi.nlm.nih.gov/articles/PMC12283120/
Abstract

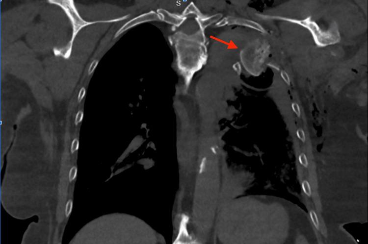
An intrathoracic humeral head fracture is a rare injury usually caused by a high-energy force to the shoulder, resulting in medial displacement of the humeral head. This injury can be severe and life-threatening due to the proximity of the dislocated and fractured bone to the critical structures within the intrathoracic cavity. There are no current official guidelines for the treatment of such injuries. We report the successful treatment of a patient with an intrathoracic humeral head fracture that lacerated the thoracic aorta.

摘要

胸腔内肱骨头骨折是一种罕见的损伤,通常由肩部的高能暴力所致,导致肱骨头向内侧移位。由于脱位和骨折的骨头靠近胸腔内的关键结构,这种损伤可能很严重甚至危及生命。目前尚无针对此类损伤治疗的官方指南。我们报告了一例成功治疗的胸腔内肱骨头骨折患者,该患者的骨折撕裂了胸主动脉。

https://cdn.ncbi.nlm.nih.gov/pmc/blobs/23d1/12283120/2d870f304fc3/cureus-0017-00000086554-i02.jpg
https://cdn.ncbi.nlm.nih.gov/pmc/blobs/23d1/12283120/0d93d0c47b1a/cureus-0017-00000086554-i01.jpg
https://cdn.ncbi.nlm.nih.gov/pmc/blobs/23d1/12283120/2d870f304fc3/cureus-0017-00000086554-i02.jpg
https://cdn.ncbi.nlm.nih.gov/pmc/blobs/23d1/12283120/0d93d0c47b1a/cureus-0017-00000086554-i01.jpg
https://cdn.ncbi.nlm.nih.gov/pmc/blobs/23d1/12283120/2d870f304fc3/cureus-0017-00000086554-i02.jpg

相似文献

1
Intrathoracic Humeral Head Fracture: A Case Report.胸腔内肱骨头骨折:一例报告
Cureus. 2025 Jun 22;17(6):e86554. doi: 10.7759/cureus.86554. eCollection 2025 Jun.
2
Interventions for treating proximal humeral fractures in adults.成人肱骨近端骨折的治疗干预措施。
Cochrane Database Syst Rev. 2022 Jun 21;6(6):CD000434. doi: 10.1002/14651858.CD000434.pub5.
3
Interventions for treating proximal humeral fractures in adults.成人肱骨近端骨折的治疗干预措施。
Cochrane Database Syst Rev. 2015 Nov 11(11):CD000434. doi: 10.1002/14651858.CD000434.pub4.
4
The Subscapularis-Sparing Windowed Anterior Technique (SWAT) for Anatomic Total Shoulder Arthroplasty.用于解剖型全肩关节置换术的保留肩胛下肌的开窗前入路技术(SWAT)
JBJS Essent Surg Tech. 2025 Jul 17;15(3). doi: 10.2106/JBJS.ST.24.00007. eCollection 2025 Jul-Sep.
5
Elbow Fractures Overview肘部骨折概述
6
Multidisciplinary rehabilitation for older people with hip fractures.老年人髋部骨折的多学科康复。
Cochrane Database Syst Rev. 2021 Nov 12;11(11):CD007125. doi: 10.1002/14651858.CD007125.pub3.
7
-Related Marfan Syndrome-相关马凡综合征
8
Interventions for treating proximal humeral fractures in adults.成人肱骨近端骨折的治疗干预措施。
Cochrane Database Syst Rev. 2012 Dec 12;12:CD000434. doi: 10.1002/14651858.CD000434.pub3.
9
Rehabilitation for ankle fractures in adults.成人踝关节骨折康复。
Cochrane Database Syst Rev. 2024 Sep 23;9(9):CD005595. doi: 10.1002/14651858.CD005595.pub4.
10
Pediatric Abusive Head Trauma小儿虐待性头部创伤

本文引用的文献

1
Fracture dislocation of the humerus with intrathoracic humeral head fragment - A case report and review of the literature.伴有胸腔内肱骨头碎片的肱骨骨折脱位——病例报告及文献综述
Trauma Case Rep. 2021 Dec 23;37:100592. doi: 10.1016/j.tcr.2021.100592. eCollection 2022 Feb.
2
Intrathoracic fracture-Dislocation of the shoulder.胸内肩骨折脱位
J Clin Orthop Trauma. 2018 Jun;9(Suppl 2):S54-S57. doi: 10.1016/j.jcot.2018.04.001. Epub 2018 Apr 9.
3
Fixation of 4-part fractures of the proximal humerus: Can we identify radiological criteria that support locking plates or IM nailing? Comparative, retrospective study of 107 cases.
肱骨近端四部分骨折的固定:我们能否确定支持锁定钢板或髓内钉固定的影像学标准?107例病例的比较性回顾研究。
Orthop Traumatol Surg Res. 2016 Dec;102(8):963-970. doi: 10.1016/j.otsr.2016.09.015. Epub 2016 Nov 3.
4
Intrathoracic dislocation of the humeral head accompanied by polytrauma: How to treat it?
Ulus Travma Acil Cerrahi Derg. 2015 Mar;21(2):149-51. doi: 10.5505/tjtes.2015.72566.
5
Intrathoracic displacement of the humeral head in a trauma patient.创伤患者肱骨头的胸腔内移位。
Indian J Orthop. 2012 Sep;46(5):596-8. doi: 10.4103/0019-5413.101050.
6
Fracture-dislocation of humeral head with intrathoracic displacement.肱骨头骨折脱位伴胸腔内移位。
Asian Cardiovasc Thorac Ann. 2012 Apr;20(2):196-8. doi: 10.1177/0218492311421450.
7
Intrathoracic fracture-dislocation of the proximal humerus treated with reverse total shoulder arthroplasty.采用反式全肩关节置换术治疗胸内肱骨近端骨折脱位。
Orthopedics. 2009 Dec;32(12):924. doi: 10.3928/01477447-20091020-21.
8
Intrathoracic dislocation of the humerus.
J Bone Joint Surg Br. 1949 Feb;31B(1):61.
9
Contralateral intrathoracic displacement of the humeral head. A case report.
J Bone Joint Surg Am. 2000 Jan;82(1):105-8. doi: 10.2106/00004623-200001000-00013.
10
Intrathoracic displacement of the humeral head with fracture of the surgical neck.
Injury. 1981 Jan;12(4):313-5. doi: 10.1016/0020-1383(81)90208-4.