• 文献检索
  • 文档翻译
  • 深度研究
  • 学术资讯
  • Suppr Zotero 插件Zotero 插件
  • 邀请有礼
  • 套餐&价格
  • 历史记录
应用&插件
Suppr Zotero 插件Zotero 插件浏览器插件Mac 客户端Windows 客户端微信小程序
定价
高级版会员购买积分包购买API积分包
服务
文献检索文档翻译深度研究API 文档MCP 服务
关于我们
关于 Suppr公司介绍联系我们用户协议隐私条款
关注我们

Suppr 超能文献

核心技术专利:CN118964589B侵权必究
粤ICP备2023148730 号-1Suppr @ 2026

文献检索

告别复杂PubMed语法,用中文像聊天一样搜索,搜遍4000万医学文献。AI智能推荐,让科研检索更轻松。

立即免费搜索

文件翻译

保留排版,准确专业,支持PDF/Word/PPT等文件格式,支持 12+语言互译。

免费翻译文档

深度研究

AI帮你快速写综述,25分钟生成高质量综述,智能提取关键信息,辅助科研写作。

立即免费体验

AsS介导ROS/P38 MAPK信号通路诱导骨髓增生异常综合征细胞凋亡和S期阻滞。

AsS Mediates the ROS/P38 MAPK Signaling Pathway to Induce Apoptosis and S-Phase Arrest in Myelodysplastic Syndrome Cells.

作者信息

Chen Pengjie, Yu Li, Yang Rui, Zeng Wen, Chen Yanxi, Wang Fengmei, Xu Yonggang, Yang Xiupeng

机构信息

Department of Hematology, Xiyuan Hospital, China Academy of Chinese Medical Sciences, Beijing 100091, China.

出版信息

Curr Issues Mol Biol. 2025 Apr 7;47(4):253. doi: 10.3390/cimb47040253.

DOI:10.3390/cimb47040253
PMID:40699652
原文链接:https://pmc.ncbi.nlm.nih.gov/articles/PMC12025865/
Abstract

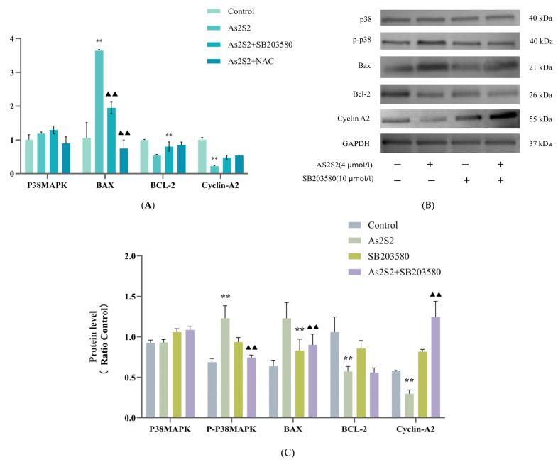
Myelodysplastic syndrome (MDS) is a heterogeneous myeloid clonal disorder that represents a significant threat to human health. AsS, a natural compound, has been shown to exert therapeutic effects on various malignant tumors, including acute myeloid leukemia (AML), breast cancer, and osteosarcoma, based on extensive clinical experience. In this study, we investigated the mechanism by which AsS inhibits the proliferation of the myelodysplastic syndrome (MDS) SKM-1 cell line. Our findings revealed that AsS inhibited the proliferation of SKM-1 cells in a time- and dose-dependent manner. Flow cytometry, protein immunoblotting, and real-time fluorescence quantitative PCR analyses demonstrated that AsS promotes the phosphorylation of P38 MAPK, thereby activating the MAPK signaling pathway. Additionally, it promotes apoptosis by increasing the BAX/Bcl-2 ratio and induces S-phase arrest through the downregulation of the cell cycle-related protein cyclin A2. Further studies demonstrated that AsS-treated cells exhibited ROS accumulation under fluorescence microscopy, along with activation of the P38 MAPK signaling pathway, increased apoptosis, and S-phase arrest in the cell cycle. This process could be partially reversed by the ROS inhibitor N-acetylcysteine. Therefore, the results of the present study suggest that AsS induces ROS accumulation in SKM-1 cells, which contributes to the activation of the P38 MAPK signaling pathway, promoting apoptosis and S-phase arrest in the cell cycle. Additionally, AsS may serve as a potent therapeutic agent for the treatment of myelodysplastic syndromes, with ROS acting as one of the key therapeutic targets.

摘要

骨髓增生异常综合征(MDS)是一种异质性髓系克隆性疾病,对人类健康构成重大威胁。基于广泛的临床经验,天然化合物AsS已被证明对包括急性髓系白血病(AML)、乳腺癌和骨肉瘤在内的多种恶性肿瘤具有治疗作用。在本研究中,我们探究了AsS抑制骨髓增生异常综合征(MDS)SKM-1细胞系增殖的机制。我们的研究结果显示,AsS以时间和剂量依赖性方式抑制SKM-1细胞的增殖。流式细胞术、蛋白质免疫印迹和实时荧光定量PCR分析表明,AsS促进P38丝裂原活化蛋白激酶(P38 MAPK)的磷酸化,从而激活丝裂原活化蛋白激酶(MAPK)信号通路。此外,它通过增加BAX/Bcl-2比值促进细胞凋亡,并通过下调细胞周期相关蛋白细胞周期蛋白A2诱导S期阻滞。进一步的研究表明,在荧光显微镜下,经AsS处理的细胞表现出活性氧(ROS)积累,同时伴有P38 MAPK信号通路的激活、细胞凋亡增加和细胞周期S期阻滞。该过程可被ROS抑制剂N-乙酰半胱氨酸部分逆转。因此,本研究结果表明,AsS诱导SKM-1细胞中ROS积累,这有助于激活P38 MAPK信号通路,促进细胞凋亡和细胞周期S期阻滞。此外,AsS可能作为治疗骨髓增生异常综合征的有效治疗药物,其中ROS作为关键治疗靶点之一。

https://cdn.ncbi.nlm.nih.gov/pmc/blobs/dffc/12025865/7b8961f0cbfa/cimb-47-00253-g004a.jpg
https://cdn.ncbi.nlm.nih.gov/pmc/blobs/dffc/12025865/e54a33fb2ba3/cimb-47-00253-g001.jpg
https://cdn.ncbi.nlm.nih.gov/pmc/blobs/dffc/12025865/230b3aa35e2c/cimb-47-00253-g002.jpg
https://cdn.ncbi.nlm.nih.gov/pmc/blobs/dffc/12025865/64fb0736e34d/cimb-47-00253-g003.jpg
https://cdn.ncbi.nlm.nih.gov/pmc/blobs/dffc/12025865/7b8961f0cbfa/cimb-47-00253-g004a.jpg
https://cdn.ncbi.nlm.nih.gov/pmc/blobs/dffc/12025865/e54a33fb2ba3/cimb-47-00253-g001.jpg
https://cdn.ncbi.nlm.nih.gov/pmc/blobs/dffc/12025865/230b3aa35e2c/cimb-47-00253-g002.jpg
https://cdn.ncbi.nlm.nih.gov/pmc/blobs/dffc/12025865/64fb0736e34d/cimb-47-00253-g003.jpg
https://cdn.ncbi.nlm.nih.gov/pmc/blobs/dffc/12025865/7b8961f0cbfa/cimb-47-00253-g004a.jpg

相似文献

1
AsS Mediates the ROS/P38 MAPK Signaling Pathway to Induce Apoptosis and S-Phase Arrest in Myelodysplastic Syndrome Cells.AsS介导ROS/P38 MAPK信号通路诱导骨髓增生异常综合征细胞凋亡和S期阻滞。
Curr Issues Mol Biol. 2025 Apr 7;47(4):253. doi: 10.3390/cimb47040253.
2
Thrombopoietin mimetics for patients with myelodysplastic syndromes.用于骨髓增生异常综合征患者的血小板生成素模拟物。
Cochrane Database Syst Rev. 2017 Sep 30;9(9):CD009883. doi: 10.1002/14651858.CD009883.pub2.
3
M1 Macrophage-Derived TNF-α Promotes Pancreatic Cancer Ferroptosis Via p38 MAPK-ACSL4 Pathway.M1型巨噬细胞衍生的肿瘤坏死因子-α通过p38丝裂原活化蛋白激酶-长链脂酰辅酶A合成酶4途径促进胰腺癌铁死亡。
Curr Mol Med. 2025 Jul 10. doi: 10.2174/0115665240374551250630075409.
4
Ellipticine targets FGFR3 to mediate the RAS/MAPK-P38 signalling pathway to induce apoptosis in hepatocellular carcinoma cells.椭圆玫瑰树碱靶向成纤维细胞生长因子受体3(FGFR3),介导RAS/丝裂原活化蛋白激酶(MAPK)-P38信号通路,诱导肝癌细胞凋亡。
3 Biotech. 2025 May;15(5):111. doi: 10.1007/s13205-025-04269-7. Epub 2025 Apr 3.
5
Cinobufagin induces autophagy-mediated cell death in human osteosarcoma U2OS cells through the ROS/JNK/p38 signaling pathway.华蟾酥毒基通过ROS/JNK/p38信号通路诱导人骨肉瘤U2OS细胞发生自噬介导的细胞死亡。
Oncol Rep. 2016 Jul;36(1):90-8. doi: 10.3892/or.2016.4782. Epub 2016 Apr 28.
6
TP-0903 Suppresses Aurora A-PLK1 Signaling to Inhibit Proliferation of a Myelodysplastic Syndrome-Derived Cell Line.TP-0903抑制极光激酶A- polo样激酶1信号传导以抑制骨髓增生异常综合征衍生细胞系的增殖。
Cancer Sci. 2025 Jul 28. doi: 10.1111/cas.70151.
7
p38 MAPK signaling in chronic obstructive pulmonary disease pathogenesis and inhibitor therapeutics.p38 MAPK 信号通路在慢性阻塞性肺疾病发病机制及抑制剂治疗中的作用
Cell Commun Signal. 2023 Nov 2;21(1):314. doi: 10.1186/s12964-023-01337-4.
8
Hesperetin Inhibits Bladder Cancer Cell Proliferation and Promotes Apoptosis and Cycle Arrest by PI3K/AKT/FoxO3a and ER Stress-mitochondria Pathways.橙皮素通过PI3K/AKT/FoxO3a和内质网应激-线粒体途径抑制膀胱癌细胞增殖并促进凋亡和细胞周期阻滞。
Curr Med Chem. 2024 Feb 13. doi: 10.2174/0109298673283888231217174702.
9
[Volume and health outcomes: evidence from systematic reviews and from evaluation of Italian hospital data].[容量与健康结果:来自系统评价和意大利医院数据评估的证据]
Epidemiol Prev. 2013 Mar-Jun;37(2-3 Suppl 2):1-100.
10
TIS21 (/BTG2/PC3) as a link between ageing and cancer: cell cycle regulator and endogenous cell death molecule.TIS21(/BTG2/PC3)作为衰老与癌症之间的联系:细胞周期调节因子和内源性细胞死亡分子。
J Cancer Res Clin Oncol. 2006 Jul;132(7):417-26. doi: 10.1007/s00432-006-0080-1. Epub 2006 Feb 3.

本文引用的文献

1
The role of mitochondrial dysfunction in the cytotoxic synergistic effect of gemcitabine and arsenic on breast cancer.线粒体功能障碍在吉西他滨和砷对乳腺癌的细胞毒性协同作用中的作用。
PLoS One. 2025 Jan 7;20(1):e0312424. doi: 10.1371/journal.pone.0312424. eCollection 2025.
2
Peroxiredoxin 6 maintains mitochondrial homeostasis and promotes tumor progression through ROS/JNK/p38 MAPK signaling pathway in multiple myeloma.过氧化物酶体增殖物激活受体6通过ROS/JNK/p38丝裂原活化蛋白激酶信号通路维持线粒体稳态并促进多发性骨髓瘤的肿瘤进展。
Sci Rep. 2025 Jan 2;15(1):70. doi: 10.1038/s41598-024-84021-y.
3
Combination of triciribine and p38 MAPK inhibitor PD169316 enhances the differentiation effect on myeloid leukemia cells.
曲西立滨与p38丝裂原活化蛋白激酶抑制剂PD169316联合使用可增强对髓系白血病细胞的分化作用。
PLoS One. 2024 Dec 31;19(12):e0312406. doi: 10.1371/journal.pone.0312406. eCollection 2024.
4
L-Cysteine mitigates ROS-induced apoptosis and neurocognitive deficits by protecting against endoplasmic reticulum stress and mitochondrial dysfunction in mouse neuronal cells.L-半胱氨酸通过防止内质网应激和线粒体功能障碍减轻 ROS 诱导的神经元细胞凋亡和神经认知缺陷。
Biomed Pharmacother. 2024 Nov;180:117538. doi: 10.1016/j.biopha.2024.117538. Epub 2024 Oct 10.
5
Exploring the therapeutic potential of rabdoternin E in lung cancer treatment: Targeting the ROS/p38 MAPK/JNK signaling pathway.探究拉波替尼在肺癌治疗中的治疗潜力:靶向 ROS/p38 MAPK/JNK 信号通路。
Mol Med Rep. 2024 Nov;30(5). doi: 10.3892/mmr.2024.13330. Epub 2024 Sep 20.
6
Molecular mechanisms of extracellular-ATP-mediated colorectal cancer progression: Implication of purinergic receptors-mediated nucleocytoplasmic shuttling of HuR.细胞外 ATP 介导电泳大肠癌进展的分子机制:嘌呤能受体介导 HuR 的核质穿梭的意义。
Purinergic Signal. 2024 Dec;20(6):669-680. doi: 10.1007/s11302-024-10021-2. Epub 2024 May 27.
7
Role of reactive oxygen species in myelodysplastic syndromes.活性氧在骨髓增生异常综合征中的作用。
Cell Mol Biol Lett. 2024 Apr 14;29(1):53. doi: 10.1186/s11658-024-00570-0.
8
Jaceosidin induces apoptosis and inhibits migration in AGS gastric cancer cells by regulating ROS-mediated signaling pathways.橙皮苷通过调节 ROS 介导的信号通路诱导 AGS 胃癌细胞凋亡并抑制迁移。
Redox Rep. 2024 Dec;29(1):2313366. doi: 10.1080/13510002.2024.2313366. Epub 2024 Feb 6.
9
Diagnosis and Treatment of Myelodysplastic Syndromes: A Review.骨髓增生异常综合征的诊断与治疗:综述
JAMA. 2022 Sep 6;328(9):872-880. doi: 10.1001/jama.2022.14578.
10
[Effects of Arsenic Disulfide Combined with Itraconazole on Proli- feration and Apoptosis and Hedgehog Pathway of Diffuse Large B-Cell Lymphoma Cells].二硫化砷联合伊曲康唑对弥漫性大B细胞淋巴瘤细胞增殖、凋亡及Hedgehog信号通路的影响
Zhongguo Shi Yan Xue Ye Xue Za Zhi. 2021 Oct;29(5):1504-1509. doi: 10.19746/j.cnki.issn.1009-2137.2021.05.020.