• 文献检索
  • 文档翻译
  • 深度研究
  • 学术资讯
  • Suppr Zotero 插件Zotero 插件
  • 邀请有礼
  • 套餐&价格
  • 历史记录
应用&插件
Suppr Zotero 插件Zotero 插件浏览器插件Mac 客户端Windows 客户端微信小程序
定价
高级版会员购买积分包购买API积分包
服务
文献检索文档翻译深度研究API 文档MCP 服务
关于我们
关于 Suppr公司介绍联系我们用户协议隐私条款
关注我们

Suppr 超能文献

核心技术专利:CN118964589B侵权必究
粤ICP备2023148730 号-1Suppr @ 2026

文献检索

告别复杂PubMed语法,用中文像聊天一样搜索,搜遍4000万医学文献。AI智能推荐,让科研检索更轻松。

立即免费搜索

文件翻译

保留排版,准确专业,支持PDF/Word/PPT等文件格式,支持 12+语言互译。

免费翻译文档

深度研究

AI帮你快速写综述,25分钟生成高质量综述,智能提取关键信息,辅助科研写作。

立即免费体验

病例报告:一名成年女性子宫胚胎性横纹肌肉瘤病例——诊断过程的复杂性探索

Case Report: A case of uterine embryonal rhabdomyosarcoma in adult female-navigating the complexities of the diagnostic journey.

作者信息

Li Sijing, Zhou Dongni, Zu Qiao, Jia Ying

机构信息

Department of Obstetrics and Gynecology, Women and Children's Hospital of Chongqing Medical University, Chongqing, China.

Department of Obstetrics and Gynecology, Chongqing Health Center for Women and Children, Chongqing, China.

出版信息

Front Oncol. 2025 Jul 9;15:1535933. doi: 10.3389/fonc.2025.1535933. eCollection 2025.

DOI:10.3389/fonc.2025.1535933
PMID:40703554
原文链接:https://pmc.ncbi.nlm.nih.gov/articles/PMC12284824/
Abstract

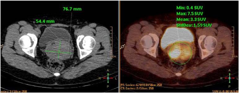
Rhabdomyosarcoma (RMS) is a soft tissue sarcoma originating from primitive mesenchymal cells that exhibit varying degrees of skeletal muscle differentiation. Although RMS predominantly affects children and adolescents-representing one of the most common pediatric solid malignancies-it is exceptionally rare in adults, constituting less than 1% of adult cancers. Due to its embryonic mesenchymal origin, RMS can develop in virtually any organ. In adults, the most common sites are the trunk (27%) and limbs (26%), with the reproductive tract accounting for 17%. Current understanding of adult embryonal RMS primarily relies on case reports, as it is often misdiagnosed as other benign or malignant solid tumors. Here, we report a case of botryoid RMS of the uterine cervix in an adult woman. The diagnostic process was prolonged; after five visits and four biopsies, the diagnosis of rhabdomyosarcoma was finally confirmed. Based on pathological findings and imaging examinations, the clinical stage was determined to be T1N0M0 and Intergroup Rhabdomyosarcoma Study (IRS) IA. The patient was initially scheduled for surgery following neoadjuvant chemotherapy. However, after one cycle of chemotherapy, she experienced massive vaginal bleeding and prolapse of the cervical polypoid mass. Due to significant psychological distress, the patient declined further chemotherapy and insisted on proceeding with surgery. Subsequently, she underwent a robot-assisted laparoscopic radical hysterectomy, bilateral salpingo-oophorectomy, and pelvic lymph node dissection. A total of six cycles of the VA chemotherapy regimen were administered both pre- and postoperatively. Unfortunately, the 8-month postoperative follow-up results were unfavorable. Less than a year after surgery, contrast-enhanced pelvic MRI revealed enlarged pelvic lymph nodes, suggesting a possible recurrence. The purpose of this study was to report a case of embryonal rhabdomyosarcoma (ERMS) of the uterine cervix in an adult woman and to highlight the diagnostic and therapeutic challenges associated with this condition.

摘要

横纹肌肉瘤(RMS)是一种起源于原始间充质细胞的软组织肉瘤,这些细胞表现出不同程度的骨骼肌分化。尽管RMS主要影响儿童和青少年——是最常见的儿科实体恶性肿瘤之一——但在成年人中极为罕见,占成人癌症的比例不到1%。由于其胚胎间充质起源,RMS几乎可以在任何器官中发生。在成年人中,最常见的部位是躯干(27%)和四肢(26%),生殖道占17%。目前对成人胚胎性RMS的认识主要依赖于病例报告,因为它常常被误诊为其他良性或恶性实体肿瘤。在此,我们报告一例成年女性宫颈葡萄状RMS病例。诊断过程漫长;经过五次就诊和四次活检,最终确诊为横纹肌肉瘤。根据病理结果和影像学检查,临床分期确定为T1N0M0和国际横纹肌肉瘤研究组(IRS)IA期。患者最初计划在新辅助化疗后进行手术。然而,在一个化疗周期后,她出现大量阴道出血和宫颈息肉样肿物脱垂。由于严重的心理困扰,患者拒绝进一步化疗并坚持进行手术。随后,她接受了机器人辅助腹腔镜根治性子宫切除术、双侧输卵管卵巢切除术和盆腔淋巴结清扫术。术前和术后共进行了六个周期的VA化疗方案。不幸的是,术后8个月的随访结果不佳。手术后不到一年,盆腔增强MRI显示盆腔淋巴结肿大,提示可能复发。本研究的目的是报告一例成年女性宫颈胚胎性横纹肌肉瘤(ERMS)病例,并强调与该疾病相关的诊断和治疗挑战。

https://cdn.ncbi.nlm.nih.gov/pmc/blobs/0524/12284824/d5dbf28184de/fonc-15-1535933-g006.jpg
https://cdn.ncbi.nlm.nih.gov/pmc/blobs/0524/12284824/b7a6f2dc7346/fonc-15-1535933-g001.jpg
https://cdn.ncbi.nlm.nih.gov/pmc/blobs/0524/12284824/8f3e420b54af/fonc-15-1535933-g002.jpg
https://cdn.ncbi.nlm.nih.gov/pmc/blobs/0524/12284824/e4991553339d/fonc-15-1535933-g003.jpg
https://cdn.ncbi.nlm.nih.gov/pmc/blobs/0524/12284824/a8865de09d49/fonc-15-1535933-g004.jpg
https://cdn.ncbi.nlm.nih.gov/pmc/blobs/0524/12284824/97f4bb0c3d22/fonc-15-1535933-g005.jpg
https://cdn.ncbi.nlm.nih.gov/pmc/blobs/0524/12284824/d5dbf28184de/fonc-15-1535933-g006.jpg
https://cdn.ncbi.nlm.nih.gov/pmc/blobs/0524/12284824/b7a6f2dc7346/fonc-15-1535933-g001.jpg
https://cdn.ncbi.nlm.nih.gov/pmc/blobs/0524/12284824/8f3e420b54af/fonc-15-1535933-g002.jpg
https://cdn.ncbi.nlm.nih.gov/pmc/blobs/0524/12284824/e4991553339d/fonc-15-1535933-g003.jpg
https://cdn.ncbi.nlm.nih.gov/pmc/blobs/0524/12284824/a8865de09d49/fonc-15-1535933-g004.jpg
https://cdn.ncbi.nlm.nih.gov/pmc/blobs/0524/12284824/97f4bb0c3d22/fonc-15-1535933-g005.jpg
https://cdn.ncbi.nlm.nih.gov/pmc/blobs/0524/12284824/d5dbf28184de/fonc-15-1535933-g006.jpg

相似文献

1
Case Report: A case of uterine embryonal rhabdomyosarcoma in adult female-navigating the complexities of the diagnostic journey.病例报告:一名成年女性子宫胚胎性横纹肌肉瘤病例——诊断过程的复杂性探索
Front Oncol. 2025 Jul 9;15:1535933. doi: 10.3389/fonc.2025.1535933. eCollection 2025.
2
Prescription of Controlled Substances: Benefits and Risks管制药品的处方:益处与风险
3
A Rare Case of Uterine Embryonal Rhabdomyosarcoma.子宫胚胎性横纹肌肉瘤1例罕见病例
CRSLS. 2025 Aug 7;12(3). doi: 10.4293/CRSLS.2025.00033. eCollection 2025 Jul-Sep.
4
Hysterectomy with radiotherapy or chemotherapy or both for women with locally advanced cervical cancer.对局部晚期宫颈癌女性患者进行子宫切除术并辅以放疗或化疗或两者联合治疗。
Cochrane Database Syst Rev. 2015 Apr 7(4):CD010260. doi: 10.1002/14651858.CD010260.pub2.
5
Ovarian Rhabdomyosarcoma in Children.儿童卵巢横纹肌肉瘤
Cureus. 2025 Jun 8;17(6):e85570. doi: 10.7759/cureus.85570. eCollection 2025 Jun.
6
Sexual Harassment and Prevention Training性骚扰与预防培训
7
Uterine artery embolization for symptomatic uterine fibroids.子宫动脉栓塞术治疗有症状的子宫肌瘤。
Cochrane Database Syst Rev. 2014 Dec 26;2014(12):CD005073. doi: 10.1002/14651858.CD005073.pub4.
8
123I-MIBG scintigraphy and 18F-FDG-PET imaging for diagnosing neuroblastoma.用于诊断神经母细胞瘤的123I-间碘苄胍闪烁扫描术和18F-氟代脱氧葡萄糖正电子发射断层显像
Cochrane Database Syst Rev. 2015 Sep 29;2015(9):CD009263. doi: 10.1002/14651858.CD009263.pub2.
9
Does Augmenting Irradiated Autografts With Free Vascularized Fibula Graft in Patients With Bone Loss From a Malignant Tumor Achieve Union, Function, and Complication Rate Comparably to Patients Without Bone Loss and Augmentation When Reconstructing Intercalary Resections in the Lower Extremity?对于因恶性肿瘤导致骨缺损的患者,在重建下肢节段性切除时,采用带血管游离腓骨移植来增强照射后的自体骨移植,其骨愈合、功能及并发症发生率与无骨缺损且未进行增强的患者相比是否相当?
Clin Orthop Relat Res. 2025 Jun 26. doi: 10.1097/CORR.0000000000003599.
10
Elbow Fractures Overview肘部骨折概述

本文引用的文献

1
Uterine embryonal rhabdomyosarcoma in adult women: a case report on the challenging diagnosis and treatment.成年女性子宫胚胎型横纹肌肉瘤:一例诊断和治疗极具挑战性病例报告。
Rom J Morphol Embryol. 2023 Jan-Mar;64(1):83-88. doi: 10.47162/RJME.64.1.10.
2
Embryonal rhabdomyosarcoma of the uterine cervix in an adult female.成年女性子宫颈胚胎性横纹肌肉瘤
Autops Case Rep. 2023 Jan 30;13:e2023419. doi: 10.4322/acr.2023.419. eCollection 2023.
3
Evolving classification of rhabdomyosarcoma.横纹肌肉瘤的分类演变。
Histopathology. 2022 Jan;80(1):98-108. doi: 10.1111/his.14449.
4
Relapsed Rhabdomyosarcoma.复发性横纹肌肉瘤
J Clin Med. 2021 Feb 17;10(4):804. doi: 10.3390/jcm10040804.
5
[Rhabdomyosarcomas: structural distribution and analysis of an immunohistochemical profile].[横纹肌肉瘤:结构分布及免疫组织化学特征分析]
Arkh Patol. 2020;82(5):33-41. doi: 10.17116/patol20208205133.
6
Rhabdomyosarcoma in children - current pathologic and molecular classification.儿童横纹肌肉瘤——当前的病理和分子分类
Pol J Pathol. 2018;69(1):20-32. doi: 10.5114/pjp.2018.75333.
7
Round Cell Tumors: Classification and Immunohistochemistry.圆形细胞肿瘤:分类与免疫组织化学
Indian J Med Paediatr Oncol. 2017 Jul-Sep;38(3):349-353. doi: 10.4103/ijmpo.ijmpo_84_16.
8
Clinical characteristics and prognosis of childhood rhabdomyosarcoma: a ten-year retrospective multicenter study.儿童横纹肌肉瘤的临床特征与预后:一项十年回顾性多中心研究
Int J Clin Exp Med. 2015 Oct 15;8(10):17196-205. eCollection 2015.
9
Shorter-duration therapy using vincristine, dactinomycin, and lower-dose cyclophosphamide with or without radiotherapy for patients with newly diagnosed low-risk rhabdomyosarcoma: a report from the Soft Tissue Sarcoma Committee of the Children's Oncology Group.儿童肿瘤学组软组织肉瘤委员会的报告:对于新诊断的低危横纹肌肉瘤患者,采用长春新碱、放线菌素D和低剂量环磷酰胺进行短疗程治疗,联合或不联合放疗。
J Clin Oncol. 2014 Nov 1;32(31):3547-52. doi: 10.1200/JCO.2014.55.6787. Epub 2014 Sep 29.
10
Embryonal rhabdomyosarcoma (botryoid type) of the uterine corpus and cervix in adult women: report of a case series and review of the literature.成人女性子宫体和宫颈的胚胎性横纹肌肉瘤(葡萄状型):病例系列报告及文献复习。
Am J Surg Pathol. 2013 Mar;37(3):344-55. doi: 10.1097/PAS.0b013e31826e0271.