Suppr超能文献

DNA损伤反应通路在氧化应激反应中调节Nrf2。

DNA damage response pathway regulates Nrf2 in response to oxidative stress.

作者信息

Jiang Xiao-You, Guo Qi-Qiang, Wang Shan-Shan, Guo Ran, Zou Yu, Liu Jing-Wei, Feng Yan-Ling, Guo Yang, Li Yu-Han, Liu Xi-Yan, Zhang Xin-Yue, Hao Shuang, Wu Xiao-Xu, Li Meng-Han, Liu Ao, Li Chun-Lu, Guo Wen-Dong, Xu Hong-De, Song Xiao-Yu, Finkel Toren, Cao Liu

机构信息

The College of Basic Medical Science, Health Sciences Institute, China Medical University, Shenyang, Liaoning Province 110122, China.

Key Laboratory of Cell Biology of Ministry of Public Health, Key Laboratory of Medical Cell Biology of Ministry of Education, Key Laboratory of Precision Diagnosis and Treatment of Gastrointestinal Tumors of Ministry of Education, Liaoning Province Collaborative Innovation Center of Aging Related Disease Diagnosis and Treatment and Prevention, China Medical University, Shenyang, Liaoning Province 110122, China.

出版信息

Sci Adv. 2025 Jul 25;11(30):eadu9555. doi: 10.1126/sciadv.adu9555.

Abstract

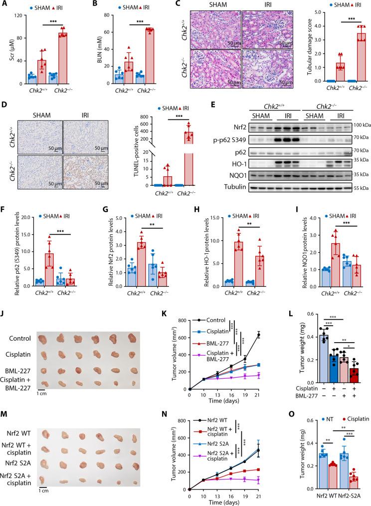
Nrf2 acts as a transcriptional master regulator to orchestrate antioxidant responses and maintain redox balance. However, the cellular pathway for translating oxidative stress signals into Nrf2-dependent antioxidant responses remain incompletely understood. Here, we show that reactive oxygen species (ROS) function as signaling molecules in modulating Nrf2's stability and transcriptional activity by activating the DNA damage response (DDR) signaling pathway. When activated, CHK2 phosphorylates the autophagy adaptor protein p62 at serine-349, promoting its interaction with Keap1 and disrupting the Keap1-Nrf2 interaction, thereby inhibiting Nrf2 ubiquitination-dependent degradation. In addition, CHK2 directly phosphorylates Nrf2 at serine-566/serine-577, enhancing its transcriptional activity and antioxidant capacity. Consistent with these effects, mice show impaired expression of Nrf2 and its downstream antioxidant target genes, along with more severe renal tissue damage in an ROS-dependent model of renal ischemia/reperfusion injury. Our study reveals a direct mechanism linking the DDR signaling pathway to ROS-triggered Nrf2-dependent antioxidant responses, providing critical insight into cellular protection against oxidative stress-induced damage.

摘要

Nrf2作为转录主调节因子,协调抗氧化反应并维持氧化还原平衡。然而,将氧化应激信号转化为Nrf2依赖性抗氧化反应的细胞途径仍未完全清楚。在此,我们表明活性氧(ROS)通过激活DNA损伤反应(DDR)信号通路,作为调节Nrf2稳定性和转录活性的信号分子。激活后,CHK2在丝氨酸349处磷酸化自噬衔接蛋白p62,促进其与Keap1的相互作用并破坏Keap1-Nrf2相互作用,从而抑制Nrf2泛素化依赖性降解。此外,CHK2直接在丝氨酸566/丝氨酸577处磷酸化Nrf2,增强其转录活性和抗氧化能力。与这些作用一致,在ROS依赖性肾缺血/再灌注损伤模型中,小鼠显示Nrf2及其下游抗氧化靶基因的表达受损,同时伴有更严重的肾组织损伤。我们的研究揭示了一种将DDR信号通路与ROS触发的Nrf2依赖性抗氧化反应联系起来的直接机制,为细胞对抗氧化应激诱导损伤的保护提供了关键见解。

https://cdn.ncbi.nlm.nih.gov/pmc/blobs/522b/12293114/cbaf7571f2ee/sciadv.adu9555-f1.jpg

文献AI研究员

20分钟写一篇综述,助力文献阅读效率提升50倍。

立即体验

用中文搜PubMed

大模型驱动的PubMed中文搜索引擎

马上搜索

文档翻译

学术文献翻译模型,支持多种主流文档格式。

立即体验