Suppr超能文献

脂肪酸结合蛋白4调节树突状细胞的抗原呈递功能,导致链脲佐菌素诱导的1型糖尿病小鼠发生T细胞致敏。

Fatty Acid Binding Protein 4 Regulates the Antigen-Presenting Function of Dendritic Cells Resulting in T Cell Priming in Streptozotocin-Induced Type 1 Diabetes Mice.

作者信息

Zou Hailan, Xie Lingxiang, Hu Jingyi, Zhang Rong, Wang Yanfei, Xu Aimin, Zhou Zhiguang, Xiao Xiaoyu, Xiao Yang

机构信息

National Clinical Research Centre for Metabolic Diseases, Key Laboratory of Diabetes Immunology, Ministry of Education, and Department of Metabolism and Endocrinology, The Second Xiangya Hospital of Central South University, Changsha, Hunan, China.

The First People's Hospital of Foshan, Department of Endocrinology, Sun Yat-Sen University, Foshan, Guangzhou, China.

出版信息

J Diabetes. 2025 Jul;17(7):e70123. doi: 10.1111/1753-0407.70123.

Abstract

BACKGROUND

Type 1 diabetes is an autoimmune disease with progressive destruction of insulin-producing β cells in islets of Langerhans of the pancreas. However, the early pathogenic factors triggering the recruitment and activation of innate immune cells remain unclear. A study reported that FABP4 accelerates the onset of type 1 diabetes in NOD mice by inducing the polarization of proinflammatory macrophages and their infiltration into pancreatic islets. Nonetheless, the role of FABP4 in mediating crosstalk between innate immunity and adaptive immunity in T1D is unclear.

METHODS

Intraperitoneal injections of streptozotocin were used to establish a type 1 diabetes mouse model. Blood glucose was monitored, and intraperitoneal glucose tolerance test (IPGTT) was conducted to compare glucose homeostasis. The peripheral immune cells were detected using flow cytometry. Mixed lymphocyte reactions were applied to examine the function of FABP4 on antigen-presenting in dendritic cells.

RESULTS

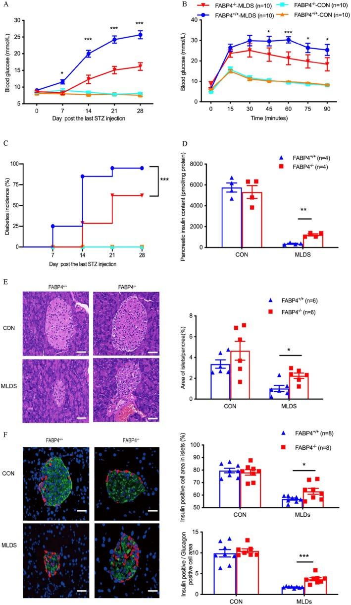
We found that genetic ablation of FABP4 in mice alleviated STZ-induced diabetic damage by reducing diabetogenic T lymphocytes and their production of inflammatory cytokines. In vitro studies, FABP4 deficiency dendritic cells expressed lower properties of CD86 and CD80, showing impaired antigen-presenting functions.

CONCLUSIONS

Genetic ablation of FABP4 in mice alleviated STZ-induced diabetic damage by impairing the antigen-presenting function of dendritic cells through downregulating the phosphorylation levels of the ERK and JNK pathways.

摘要

背景

1型糖尿病是一种自身免疫性疾病,胰腺胰岛中产生胰岛素的β细胞会进行性破坏。然而,触发先天免疫细胞募集和激活的早期致病因素仍不清楚。一项研究报道,脂肪酸结合蛋白4(FABP4)通过诱导促炎巨噬细胞极化及其浸润到胰腺胰岛中,加速非肥胖糖尿病(NOD)小鼠1型糖尿病的发病。尽管如此,FABP4在介导1型糖尿病先天免疫和适应性免疫之间的串扰中的作用尚不清楚。

方法

采用腹腔注射链脲佐菌素建立1型糖尿病小鼠模型。监测血糖,并进行腹腔葡萄糖耐量试验(IPGTT)以比较葡萄糖稳态。使用流式细胞术检测外周免疫细胞。应用混合淋巴细胞反应来检查FABP4在树突状细胞抗原呈递中的功能。

结果

我们发现,小鼠中FABP4的基因敲除通过减少致糖尿病T淋巴细胞及其炎性细胞因子的产生,减轻了链脲佐菌素诱导的糖尿病损伤。在体外研究中,FABP4缺陷的树突状细胞表达较低的CD86和CD80特性,显示出抗原呈递功能受损。

结论

小鼠中FABP4的基因敲除通过下调ERK和JNK途径的磷酸化水平,损害树突状细胞的抗原呈递功能,从而减轻链脲佐菌素诱导的糖尿病损伤。

https://cdn.ncbi.nlm.nih.gov/pmc/blobs/9210/12304523/711c39141ed8/JDB-17-e70123-g004.jpg

文献检索

告别复杂PubMed语法,用中文像聊天一样搜索,搜遍4000万医学文献。AI智能推荐,让科研检索更轻松。

立即免费搜索

文件翻译

保留排版,准确专业,支持PDF/Word/PPT等文件格式,支持 12+语言互译。

免费翻译文档

深度研究

AI帮你快速写综述,25分钟生成高质量综述,智能提取关键信息,辅助科研写作。

立即免费体验