• 文献检索
  • 文档翻译
  • 深度研究
  • 学术资讯
  • Suppr Zotero 插件Zotero 插件
  • 邀请有礼
  • 套餐&价格
  • 历史记录
应用&插件
Suppr Zotero 插件Zotero 插件浏览器插件Mac 客户端Windows 客户端微信小程序
定价
高级版会员购买积分包购买API积分包
服务
文献检索文档翻译深度研究API 文档MCP 服务
关于我们
关于 Suppr公司介绍联系我们用户协议隐私条款
关注我们

Suppr 超能文献

核心技术专利:CN118964589B侵权必究
粤ICP备2023148730 号-1Suppr @ 2026

文献检索

告别复杂PubMed语法,用中文像聊天一样搜索,搜遍4000万医学文献。AI智能推荐,让科研检索更轻松。

立即免费搜索

文件翻译

保留排版,准确专业,支持PDF/Word/PPT等文件格式,支持 12+语言互译。

免费翻译文档

深度研究

AI帮你快速写综述,25分钟生成高质量综述,智能提取关键信息,辅助科研写作。

立即免费体验

内镜Denker入路在IgG4相关性眼病诊断中应用的1例病例

A Case in Which the Endoscopic Denker's Approach Was Useful in the Diagnosis of IgG4-Related Ophthalmic Disease.

作者信息

Yamaguchi Yusei, Ohira Shinya, Yui Ryousuke, Sonobe Satoshi, Wada Kota

机构信息

Otolaryngology, Toho University, Tokyo, JPN.

Otolaryngology, The Jikei University School of Medicine, Tokyo, JPN.

出版信息

Cureus. 2025 Jun 26;17(6):e86809. doi: 10.7759/cureus.86809. eCollection 2025 Jun.

DOI:10.7759/cureus.86809
PMID:40718310
原文链接:https://pmc.ncbi.nlm.nih.gov/articles/PMC12296910/
Abstract

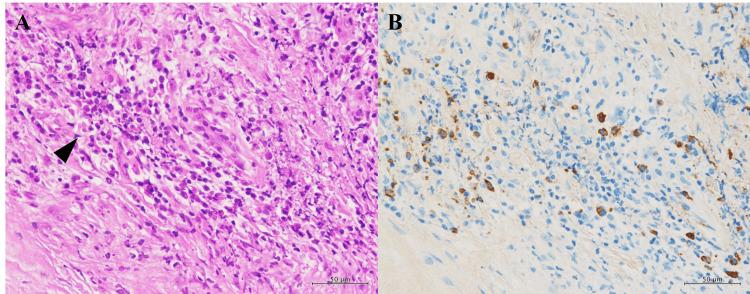
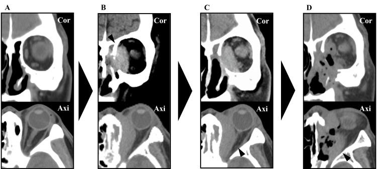
IgG4-related disease (IgG4-RD) is a chronic inflammatory condition characterized by elevated serum IgG4 levels, infiltration of IgG4-positive plasma cells, and fibrosis in various organs. We report the case of a 76-year-old man who presented with left-sided proptosis. Computed tomography revealed a mass lesion in the left orbit. An initial biopsy via a transnasal approach under local anesthesia was inconclusive. Although endoscopic sinus surgery was performed under general anesthesia, a definitive diagnosis could not be obtained. The lesion continued to enlarge, and subsequent ophthalmologic examinations revealed progressive optic nerve compression. Therefore, tumor resection was performed again under general anesthesia using the endoscopic Denker's approach. The tumor was successfully resected without complications. Histopathological findings led to a diagnosis of probable IgG4-related ophthalmic disease (IgG4-ROD). Following surgery, the residual lesion enlarged again; however, a three-day course of steroid pulse therapy resulted in reduction of the lesion and improvement of optic nerve compression. The patient has remained relapse-free. While 81% of IgG4-ROD cases involve the lacrimal gland, other orbital structures such as the pterygopalatine fossa, trigeminal nerve branches, extraocular muscles, orbital fat, eyelids, and nasolacrimal duct can also be affected. In cases without lacrimal gland involvement, the optimal approach for obtaining diagnostic biopsy specimens should be considered individually. Although there is no consensus on the required volume of tissue for diagnosis, we believe that aggressive resection of the central lesion is necessary for accurate diagnosis. The endoscopic Denker's approach facilitates wide exposure and resection of far lateral maxillary sinus lesions, enabling both decompression and definitive diagnosis, which can lead to appropriate subsequent treatment.

摘要

IgG4相关疾病(IgG4-RD)是一种慢性炎症性疾病,其特征为血清IgG4水平升高、IgG4阳性浆细胞浸润以及各器官纤维化。我们报告一例76岁男性患者,其表现为左侧眼球突出。计算机断层扫描显示左侧眼眶有一肿块病变。在局部麻醉下经鼻进行的初次活检结果不明确。尽管在全身麻醉下进行了内镜鼻窦手术,但仍无法获得明确诊断。病变持续增大,随后的眼科检查显示视神经受压逐渐加重。因此,再次在全身麻醉下采用内镜Denker入路进行肿瘤切除。肿瘤成功切除,无并发症发生。组织病理学检查结果提示可能为IgG4相关眼病(IgG4-ROD)。手术后,残留病变再次增大;然而,为期三天的类固醇脉冲疗法使病变缩小,视神经压迫症状改善。患者至今未复发。虽然81%的IgG4-ROD病例累及泪腺,但翼腭窝、三叉神经分支、眼外肌、眶脂肪、眼睑和鼻泪管等其他眼眶结构也可能受累。在不累及泪腺的病例中,应个体化考虑获取诊断性活检标本的最佳方法。尽管对于诊断所需的组织量尚无共识,但我们认为积极切除中央病变对于准确诊断是必要的。内镜Denker入路有助于广泛暴露和切除上颌窦外侧远部病变,既能实现减压又能进行明确诊断,从而为后续适当治疗提供依据。

https://cdn.ncbi.nlm.nih.gov/pmc/blobs/114d/12296910/88c12bd7a18e/cureus-0017-00000086809-i06.jpg
https://cdn.ncbi.nlm.nih.gov/pmc/blobs/114d/12296910/c62cf1fa1e19/cureus-0017-00000086809-i01.jpg
https://cdn.ncbi.nlm.nih.gov/pmc/blobs/114d/12296910/45fe72f0b898/cureus-0017-00000086809-i02.jpg
https://cdn.ncbi.nlm.nih.gov/pmc/blobs/114d/12296910/32a6e76de336/cureus-0017-00000086809-i03.jpg
https://cdn.ncbi.nlm.nih.gov/pmc/blobs/114d/12296910/c04c40783e1d/cureus-0017-00000086809-i04.jpg
https://cdn.ncbi.nlm.nih.gov/pmc/blobs/114d/12296910/52ddc3c25523/cureus-0017-00000086809-i05.jpg
https://cdn.ncbi.nlm.nih.gov/pmc/blobs/114d/12296910/88c12bd7a18e/cureus-0017-00000086809-i06.jpg
https://cdn.ncbi.nlm.nih.gov/pmc/blobs/114d/12296910/c62cf1fa1e19/cureus-0017-00000086809-i01.jpg
https://cdn.ncbi.nlm.nih.gov/pmc/blobs/114d/12296910/45fe72f0b898/cureus-0017-00000086809-i02.jpg
https://cdn.ncbi.nlm.nih.gov/pmc/blobs/114d/12296910/32a6e76de336/cureus-0017-00000086809-i03.jpg
https://cdn.ncbi.nlm.nih.gov/pmc/blobs/114d/12296910/c04c40783e1d/cureus-0017-00000086809-i04.jpg
https://cdn.ncbi.nlm.nih.gov/pmc/blobs/114d/12296910/52ddc3c25523/cureus-0017-00000086809-i05.jpg
https://cdn.ncbi.nlm.nih.gov/pmc/blobs/114d/12296910/88c12bd7a18e/cureus-0017-00000086809-i06.jpg

相似文献

1
A Case in Which the Endoscopic Denker's Approach Was Useful in the Diagnosis of IgG4-Related Ophthalmic Disease.内镜Denker入路在IgG4相关性眼病诊断中应用的1例病例
Cureus. 2025 Jun 26;17(6):e86809. doi: 10.7759/cureus.86809. eCollection 2025 Jun.
2
Surgical orbital decompression for thyroid eye disease.甲状腺眼病的眼眶减压手术
Cochrane Database Syst Rev. 2011 Dec 7(12):CD007630. doi: 10.1002/14651858.CD007630.pub2.
3
IgG4-related disease presenting as central skull base osteomyelitis with deep neck abscesses: A case report.表现为中央颅底骨髓炎伴深部颈部脓肿的IgG4相关性疾病:一例报告。
Medicine (Baltimore). 2025 Jul 18;104(29):e43351. doi: 10.1097/MD.0000000000043351.
4
[Volume and health outcomes: evidence from systematic reviews and from evaluation of Italian hospital data].[容量与健康结果:来自系统评价和意大利医院数据评估的证据]
Epidemiol Prev. 2013 Mar-Jun;37(2-3 Suppl 2):1-100.
5
Probing for congenital nasolacrimal duct obstruction.探查先天性鼻泪管阻塞
Cochrane Database Syst Rev. 2017 Jul 12;7(7):CD011109. doi: 10.1002/14651858.CD011109.pub2.
6
Management of urinary stones by experts in stone disease (ESD 2025).结石病专家对尿路结石的管理(2025年结石病专家共识)
Arch Ital Urol Androl. 2025 Jun 30;97(2):14085. doi: 10.4081/aiua.2025.14085.
7
Transient elastography for diagnosis of stages of hepatic fibrosis and cirrhosis in people with alcoholic liver disease.瞬时弹性成像技术用于诊断酒精性肝病患者的肝纤维化和肝硬化分期。
Cochrane Database Syst Rev. 2015 Jan 22;1(1):CD010542. doi: 10.1002/14651858.CD010542.pub2.
8
Severe Relapsing Hailey-Hailey Disease Displaying a Durable Complete Response to Hydroxyurea.严重复发性黑利-黑利病对羟基脲呈现持久完全缓解
Acta Dermatovenerol Croat. 2024 Nov;32(3):168-169.
9
Signs and symptoms to determine if a patient presenting in primary care or hospital outpatient settings has COVID-19.在基层医疗机构或医院门诊环境中,如果患者出现以下症状和体征,可判断其是否患有 COVID-19。
Cochrane Database Syst Rev. 2022 May 20;5(5):CD013665. doi: 10.1002/14651858.CD013665.pub3.
10
Comparison of Two Modern Survival Prediction Tools, SORG-MLA and METSSS, in Patients With Symptomatic Long-bone Metastases Who Underwent Local Treatment With Surgery Followed by Radiotherapy and With Radiotherapy Alone.两种现代生存预测工具 SORG-MLA 和 METSSS 在接受手术联合放疗和单纯放疗治疗有症状长骨转移患者中的比较。
Clin Orthop Relat Res. 2024 Dec 1;482(12):2193-2208. doi: 10.1097/CORR.0000000000003185. Epub 2024 Jul 23.

本文引用的文献

1
Postoperative outcomes of biopsy versus debulking surgery for immunoglobulin G4-related ophthalmic disease: a retrospective comparative study.免疫球蛋白G4相关性眼病活检与减瘤手术的术后结果:一项回顾性比较研究
Jpn J Ophthalmol. 2025 Mar;69(2):203-213. doi: 10.1007/s10384-024-01157-0. Epub 2025 Jan 20.
2
Clinicopathological features of lacrimal gland biopsy lesions in 582 Chinese patients.582 例中国患者泪腺活检病变的临床病理特征。
Sci Rep. 2024 Nov 3;14(1):26514. doi: 10.1038/s41598-024-77312-x.
3
Advances in understanding and management of IgG4-related ophthalmic disease.
IgG4 相关眼病的理解和管理进展。
Asia Pac J Ophthalmol (Phila). 2024 Sep-Oct;13(5):100101. doi: 10.1016/j.apjo.2024.100101. Epub 2024 Sep 24.
4
The 2023 revised diagnostic criteria for IgG4-related ophthalmic disease.2023 年 IgG4 相关眼病的修订诊断标准。
Jpn J Ophthalmol. 2024 Jul;68(4):293-301. doi: 10.1007/s10384-024-01072-4. Epub 2024 Jul 22.
5
A case of IgG4-related ophthalmic disease after SARS-CoV-2 vaccination: case report and literature review.接种 SARS-CoV-2 疫苗后发生 IgG4 相关眼病:病例报告及文献复习。
Front Immunol. 2024 Feb 22;15:1303589. doi: 10.3389/fimmu.2024.1303589. eCollection 2024.
6
New insights into chronic rhinosinusitis associated with IgG4-related disease.IgG4 相关疾病相关慢性鼻-鼻窦炎的新认识。
Auris Nasus Larynx. 2024 Apr;51(2):356-360. doi: 10.1016/j.anl.2023.10.006. Epub 2023 Nov 14.
7
IgG4-Related Disease Involving the Paranasal Sinus Orbit: A Case Report.IgG4相关性疾病累及鼻旁窦眼眶:一例报告。
Ear Nose Throat J. 2023 Aug 19:1455613231193559. doi: 10.1177/01455613231193559.
8
IgG4-Related Kidney Disease.IgG4相关性肾病
Clin J Am Soc Nephrol. 2023 Aug 1;18(8):994-996. doi: 10.2215/CJN.0000000000000235. Epub 2023 Jul 7.
9
Radiomics analysis of T1WI and T2WI magnetic resonance images to differentiate between IgG4-related ophthalmic disease and orbital MALT lymphoma.基于 T1WI 和 T2WI 磁共振图像的影像组学分析鉴别 IgG4 相关眼病与眼眶黏膜相关淋巴组织淋巴瘤。
BMC Ophthalmol. 2023 Jun 23;23(1):288. doi: 10.1186/s12886-023-03036-7.
10
IgG4-related ophthalmic disease masquerading as ciliary body tumors and scleritis in both eyes: a case report.双眼睫状体肿瘤和巩膜炎样 IgG4 相关眼病:一例报告。
BMC Ophthalmol. 2023 Mar 9;23(1):92. doi: 10.1186/s12886-023-02822-7.