Suppr超能文献

颗粒细胞瘤的罕见恶性转化:一例复发性肛周病变伴肺和淋巴结转移病例

Rare Malignant Transformation of a Granular Cell Tumor: A Case of Recurrent Perianal Lesion With Pulmonary and Lymph Node Metastases.

作者信息

Yassin Kradi, Taibi Soufiane, Ouryemchi Mouad, Guellil Abdelali, Bouziane Mohammed

机构信息

Department of General Surgery, Faculty of Medicine and Pharmacy, Laboratory of Anatomy, Microsurgery and Surgery Experimental and Medical Simulation (LAMCESM), Mohammed 1st University, Oujda, MAR.

Department of Visceral Surgery and Digestive Oncology, Mohammed VI University Hospital, Oujda, MAR.

出版信息

Cureus. 2025 Jun 28;17(6):e86908. doi: 10.7759/cureus.86908. eCollection 2025 Jun.

Abstract

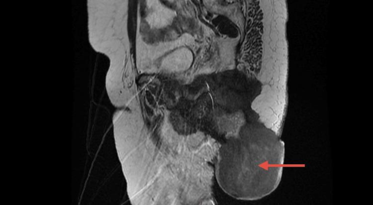
This report presents the case of a 52-year-old woman with a recurrent perianal mass, initially diagnosed as a benign GCT. Despite surgical resection, the tumor later metastasized to the lungs and lymph nodes, indicating malignant transformation. Imaging and histological analysis confirmed the malignancy, with cellular atypia and metastasis. The patient declined further treatment and passed away shortly thereafter. This case underscores the potential for malignant transformation in GCTs, particularly in recurrent cases. While surgical removal with clear margins remains the standard approach, malignant GCTs often present a poor prognosis due to high rates of recurrence and metastasis, with limited response to chemotherapy and radiation therapy.

摘要

本报告介绍了一名52岁女性复发性肛周肿块的病例,最初诊断为良性生殖细胞肿瘤(GCT)。尽管进行了手术切除,但肿瘤后来转移至肺部和淋巴结,提示发生了恶性转化。影像学和组织学分析证实了恶性肿瘤的存在,伴有细胞异型性和转移。患者拒绝进一步治疗,此后不久去世。该病例强调了GCTs发生恶性转化的可能性,尤其是在复发病例中。虽然切缘清晰的手术切除仍是标准治疗方法,但恶性GCTs由于复发和转移率高,对化疗和放疗反应有限,往往预后较差。

https://cdn.ncbi.nlm.nih.gov/pmc/blobs/8502/12302437/646dc1916962/cureus-0017-00000086908-i01.jpg

文献检索

告别复杂PubMed语法,用中文像聊天一样搜索,搜遍4000万医学文献。AI智能推荐,让科研检索更轻松。

立即免费搜索

文件翻译

保留排版,准确专业,支持PDF/Word/PPT等文件格式,支持 12+语言互译。

免费翻译文档

深度研究

AI帮你快速写综述,25分钟生成高质量综述,智能提取关键信息,辅助科研写作。

立即免费体验