• 文献检索
  • 文档翻译
  • 深度研究
  • 学术资讯
  • Suppr Zotero 插件Zotero 插件
  • 邀请有礼
  • 套餐&价格
  • 历史记录
应用&插件
Suppr Zotero 插件Zotero 插件浏览器插件Mac 客户端Windows 客户端微信小程序
定价
高级版会员购买积分包购买API积分包
服务
文献检索文档翻译深度研究API 文档MCP 服务
关于我们
关于 Suppr公司介绍联系我们用户协议隐私条款
关注我们

Suppr 超能文献

核心技术专利:CN118964589B侵权必究
粤ICP备2023148730 号-1Suppr @ 2026

文献检索

告别复杂PubMed语法,用中文像聊天一样搜索,搜遍4000万医学文献。AI智能推荐,让科研检索更轻松。

立即免费搜索

文件翻译

保留排版,准确专业,支持PDF/Word/PPT等文件格式,支持 12+语言互译。

免费翻译文档

深度研究

AI帮你快速写综述,25分钟生成高质量综述,智能提取关键信息,辅助科研写作。

立即免费体验

支持胸神经参与乳腺癌向臂丛神经的神经周围扩散的放射学证据。

Radiologic evidence supporting pectoral nerve involvement in perineural spread of breast cancer to the brachial plexus.

作者信息

Maldonado Andres A, Broski Stephen M, Marek Tomas, Cristóbal Lara, Spinner Robert J

机构信息

Department of Neurologic Surgery, Mayo Clinic, Gonda 8-214, Rochester, MN, 55905, USA.

Department of Plastic and Reconstructive Surgery, Hospital Universitario de Getafe, Madrid, Spain.

出版信息

Acta Neurochir (Wien). 2025 Jul 29;167(1):207. doi: 10.1007/s00701-025-06615-3.

DOI:10.1007/s00701-025-06615-3
PMID:40728544
原文链接:https://pmc.ncbi.nlm.nih.gov/articles/PMC12307539/
Abstract

OBJECTIVE

Perineural spread (PNS) of breast carcinoma to the brachial plexus is rare. This study investigates the radiologic features supporting the medial and lateral pectoral nerves (MPN and LPN, respectively) as pathways for PNS of breast cancer to the brachial plexus.

METHODS

We reviewed 19 patients with biopsy-proven PNS of breast carcinoma to the brachial plexus. All available MRI and F-FDG PET/CT studies were re-evaluated by a musculoskeletal radiologist with expertise in PNS. Imaging features of interest included pectoralis major and minor muscle MRI signal abnormality, abnormal FDG activity, and atrophy; FDG avidity within or along the course of the pectoral nerves; and extent of brachial plexus involvement on MRI and F-FDG PET/CT. Demographic and clinical data were also collected.

RESULTS

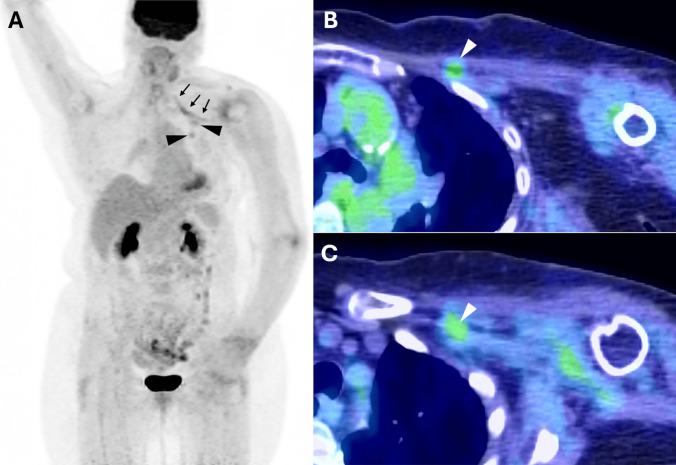
All 19 patients had MRI and F-FDG PET/CT scans. Six patients showed clear radiologic evidence of PNS via the pectoral nerves. All six patients demonstrated abnormal MRI signal or enhancement in both the pectoralis major and minor muscles and increased FDG uptake was present in the pectoralis major in 4/6 patients and pectoralis minor in 5/6 patients. Five patients demonstrated atrophy of both the pectoralis major and minor muscles. Increased FDG uptake was noted along the LPN in five patients and the MPN in four. All exhibited brachial plexus enhancement on MRI and increased FDG uptake on PET/CT, supporting contiguous spread from the pectoral nerves.

CONCLUSION

This study provides radiologic support for the MPN and LPN as a potential pathway for PNS of breast cancer to the brachial plexus. Pectoralis major/minor muscle atrophy, abnormal MRI signal or enhancement, and increased FDG activity within the pectoral muscles and/or along the pectoral nerves may serve as early, non-invasive imaging markers of this process, with potential implications for diagnosis and management.

摘要

目的

乳腺癌向臂丛神经的神经周围扩散(PNS)较为罕见。本研究调查支持胸内侧神经和胸外侧神经(分别为MPN和LPN)作为乳腺癌向臂丛神经PNS途径的放射学特征。

方法

我们回顾了19例经活检证实乳腺癌向臂丛神经发生PNS的患者。所有可用的MRI和F-FDG PET/CT研究均由一位在PNS方面有专长的肌肉骨骼放射科医生重新评估。感兴趣的影像特征包括胸大肌和胸小肌的MRI信号异常、FDG活性异常和萎缩;胸神经内或沿胸神经走行的FDG摄取;以及MRI和F-FDG PET/CT上臂丛神经受累的范围。还收集了人口统计学和临床数据。

结果

所有19例患者均进行了MRI和F-FDG PET/CT扫描。6例患者显示出通过胸神经发生PNS的明确放射学证据。所有6例患者胸大肌和胸小肌均表现出异常的MRI信号或强化,4/6例患者胸大肌FDG摄取增加,5/6例患者胸小肌FDG摄取增加。5例患者胸大肌和胸小肌均出现萎缩。5例患者LPN沿线FDG摄取增加,4例患者MPN沿线FDG摄取增加。所有患者MRI上均显示臂丛神经强化,PET/CT上FDG摄取增加,支持从胸神经的连续性扩散。

结论

本研究为MPN和LPN作为乳腺癌向臂丛神经PNS的潜在途径提供了放射学支持。胸大肌/胸小肌萎缩、MRI信号异常或强化以及胸肌内和/或胸神经沿线FDG活性增加可能作为这一过程的早期非侵入性影像标志物,对诊断和管理具有潜在意义。

https://cdn.ncbi.nlm.nih.gov/pmc/blobs/c78f/12307539/e180b34863a4/701_2025_6615_Fig6_HTML.jpg
https://cdn.ncbi.nlm.nih.gov/pmc/blobs/c78f/12307539/2fc8fe5ff867/701_2025_6615_Fig1_HTML.jpg
https://cdn.ncbi.nlm.nih.gov/pmc/blobs/c78f/12307539/64d1d8c7afb6/701_2025_6615_Fig2_HTML.jpg
https://cdn.ncbi.nlm.nih.gov/pmc/blobs/c78f/12307539/4191a7dd25d3/701_2025_6615_Fig3_HTML.jpg
https://cdn.ncbi.nlm.nih.gov/pmc/blobs/c78f/12307539/75e686e6936a/701_2025_6615_Fig4_HTML.jpg
https://cdn.ncbi.nlm.nih.gov/pmc/blobs/c78f/12307539/496f1c5fde32/701_2025_6615_Fig5_HTML.jpg
https://cdn.ncbi.nlm.nih.gov/pmc/blobs/c78f/12307539/e180b34863a4/701_2025_6615_Fig6_HTML.jpg
https://cdn.ncbi.nlm.nih.gov/pmc/blobs/c78f/12307539/2fc8fe5ff867/701_2025_6615_Fig1_HTML.jpg
https://cdn.ncbi.nlm.nih.gov/pmc/blobs/c78f/12307539/64d1d8c7afb6/701_2025_6615_Fig2_HTML.jpg
https://cdn.ncbi.nlm.nih.gov/pmc/blobs/c78f/12307539/4191a7dd25d3/701_2025_6615_Fig3_HTML.jpg
https://cdn.ncbi.nlm.nih.gov/pmc/blobs/c78f/12307539/75e686e6936a/701_2025_6615_Fig4_HTML.jpg
https://cdn.ncbi.nlm.nih.gov/pmc/blobs/c78f/12307539/496f1c5fde32/701_2025_6615_Fig5_HTML.jpg
https://cdn.ncbi.nlm.nih.gov/pmc/blobs/c78f/12307539/e180b34863a4/701_2025_6615_Fig6_HTML.jpg

相似文献

1
Radiologic evidence supporting pectoral nerve involvement in perineural spread of breast cancer to the brachial plexus.支持胸神经参与乳腺癌向臂丛神经的神经周围扩散的放射学证据。
Acta Neurochir (Wien). 2025 Jul 29;167(1):207. doi: 10.1007/s00701-025-06615-3.
2
Brachial plexopathy due to perineural tumor spread: a retrospective single-center experience of clinical manifestations, diagnosis, treatments, and outcomes.神经周围肿瘤扩散所致臂丛神经病变:关于临床表现、诊断、治疗及预后的单中心回顾性研究
Acta Neurochir (Wien). 2024 Dec 2;166(1):490. doi: 10.1007/s00701-024-06381-8.
3
123I-MIBG scintigraphy and 18F-FDG-PET imaging for diagnosing neuroblastoma.用于诊断神经母细胞瘤的123I-间碘苄胍闪烁扫描术和18F-氟代脱氧葡萄糖正电子发射断层显像
Cochrane Database Syst Rev. 2015 Sep 29;2015(9):CD009263. doi: 10.1002/14651858.CD009263.pub2.
4
The value of FDG positron emission tomography/computerised tomography (PET/CT) in pre-operative staging of colorectal cancer: a systematic review and economic evaluation.18F-氟脱氧葡萄糖正电子发射断层扫描/计算机断层扫描(FDG-PET/CT)在结直肠癌术前分期中的价值:系统评价和经济评估。
Health Technol Assess. 2011 Sep;15(35):1-192, iii-iv. doi: 10.3310/hta15350.
5
PET-CT for assessing mediastinal lymph node involvement in patients with suspected resectable non-small cell lung cancer.正电子发射断层显像-计算机断层扫描用于评估疑似可切除非小细胞肺癌患者的纵隔淋巴结受累情况。
Cochrane Database Syst Rev. 2014 Nov 13;2014(11):CD009519. doi: 10.1002/14651858.CD009519.pub2.
6
¹⁸F-FDG PET/CT: a review of diagnostic and prognostic features in multiple myeloma and related disorders.¹⁸F-FDG PET/CT:多发性骨髓瘤及相关疾病的诊断和预后特征综述
Clin Exp Med. 2015 Feb;15(1):1-18. doi: 10.1007/s10238-014-0308-3. Epub 2014 Sep 14.
7
Fluorine-18-fluorodeoxyglucose (FDG) positron emission tomography (PET) computed tomography (CT) for the detection of bone, lung, and lymph node metastases in rhabdomyosarcoma.氟-18-氟代脱氧葡萄糖(FDG)正电子发射断层扫描(PET)计算机断层扫描(CT)用于检测横纹肌肉瘤中的骨、肺和淋巴结转移。
Cochrane Database Syst Rev. 2021 Nov 9;11(11):CD012325. doi: 10.1002/14651858.CD012325.pub2.
8
Diagnosing Bone Metastases in Breast Cancer: A Systematic Review and Network Meta-Analysis on Diagnostic Test Accuracy Studies of 2-[F]FDG-PET/CT, F-NaF-PET/CT, MRI, Contrast-Enhanced CT, and Bone Scintigraphy.乳腺癌骨转移的诊断:关于2-[F]FDG-PET/CT、F-NaF-PET/CT、MRI、增强CT和骨闪烁显像诊断试验准确性研究的系统评价与网状Meta分析
Semin Nucl Med. 2025 Jan;55(1):137-151. doi: 10.1053/j.semnuclmed.2024.10.008. Epub 2024 Nov 14.
9
Insights into the Medial Pectoral Nerve Transfer for Shoulder Abduction in Brachial Plexus Injuries: A Retrospective Case Series Analysis.臂丛神经损伤中胸内侧神经移位用于肩部外展的研究:一项回顾性病例系列分析
World Neurosurg. 2024 Dec;192:e179-e186. doi: 10.1016/j.wneu.2024.09.063. Epub 2024 Sep 14.
10
Positron emission tomography (PET) and magnetic resonance imaging (MRI) for the assessment of axillary lymph node metastases in early breast cancer: systematic review and economic evaluation.正电子发射断层扫描(PET)和磁共振成像(MRI)在早期乳腺癌腋窝淋巴结转移评估中的应用:系统评价和经济评估。
Health Technol Assess. 2011 Jan;15(4):iii-iv, 1-134. doi: 10.3310/hta15040.

本文引用的文献

1
Updates in Surgical Management of the Axilla.腋窝手术管理的进展
Oncology (Williston Park). 2025 Mar 3;39(2):70-75. doi: 10.46883/2025.25921035.
2
Brachial plexopathy due to perineural tumor spread: a retrospective single-center experience of clinical manifestations, diagnosis, treatments, and outcomes.神经周围肿瘤扩散所致臂丛神经病变:关于临床表现、诊断、治疗及预后的单中心回顾性研究
Acta Neurochir (Wien). 2024 Dec 2;166(1):490. doi: 10.1007/s00701-024-06381-8.
3
Non-traumatic brachial plexopathy identification from routine MRIs: Retrospective studies with deep learning networks.
从常规磁共振成像中识别非创伤性臂丛神经病变:使用深度学习网络的回顾性研究。
Eur J Radiol. 2024 Dec;181:111744. doi: 10.1016/j.ejrad.2024.111744. Epub 2024 Sep 18.
4
Peripheral nervous system lymphatic vessels: A simple delivery route to promote nerve regeneration.周围神经系统淋巴管:促进神经再生的简单输送途径。
Exp Neurol. 2024 Jul;377:114783. doi: 10.1016/j.expneurol.2024.114783. Epub 2024 Apr 28.
5
Annual report to the nation on the status of cancer, part 1: National cancer statistics.国家癌症报告:癌症统计数据 1. 全国癌症统计数据概览
Cancer. 2022 Dec 15;128(24):4251-4284. doi: 10.1002/cncr.34479. Epub 2022 Oct 27.
6
The spectrum of brachial plexopathy from perineural spread of breast cancer.乳腺癌经神经周围扩散所致臂丛神经病变的谱系
J Neurosurg. 2022 Feb 25;137(5):1368-1377. doi: 10.3171/2021.12.JNS211882. Print 2022 Nov 1.
7
Perineural invasion as a risk factor for locoregional recurrence of invasive breast cancer.神经周围侵犯是浸润性乳腺癌局部区域复发的一个危险因素。
Sci Rep. 2021 Jun 17;11(1):12781. doi: 10.1038/s41598-021-92343-4.
8
Radiation-Induced Brachial Plexopathy in Patients With Breast Cancer Treated With Comprehensive Adjuvant Radiation Therapy.接受综合辅助放疗的乳腺癌患者的放射性臂丛神经病变
Adv Radiat Oncol. 2020 Oct 27;6(1):100602. doi: 10.1016/j.adro.2020.10.015. eCollection 2021 Jan-Feb.
9
Breast cancer abutting the pectoralis major muscle on breast MRI: what are the clinical implications?乳腺 MRI 显示乳腺癌紧邻胸大肌:这有哪些临床意义?
Br J Radiol. 2021 Mar 1;94(1119):20201202. doi: 10.1259/bjr.20201202. Epub 2021 Jan 5.
10
Characteristics of metastatic brachial plexopathy in patients with breast cancer.乳腺癌患者转移性臂丛神经病的特征。
Support Care Cancer. 2020 Apr;28(4):1913-1918. doi: 10.1007/s00520-019-04997-6. Epub 2019 Jul 30.