• 文献检索
  • 文档翻译
  • 深度研究
  • 学术资讯
  • Suppr Zotero 插件Zotero 插件
  • 邀请有礼
  • 套餐&价格
  • 历史记录
应用&插件
Suppr Zotero 插件Zotero 插件浏览器插件Mac 客户端Windows 客户端微信小程序
定价
高级版会员购买积分包购买API积分包
服务
文献检索文档翻译深度研究API 文档MCP 服务
关于我们
关于 Suppr公司介绍联系我们用户协议隐私条款
关注我们

Suppr 超能文献

核心技术专利:CN118964589B侵权必究
粤ICP备2023148730 号-1Suppr @ 2026

文献检索

告别复杂PubMed语法,用中文像聊天一样搜索,搜遍4000万医学文献。AI智能推荐,让科研检索更轻松。

立即免费搜索

文件翻译

保留排版,准确专业,支持PDF/Word/PPT等文件格式,支持 12+语言互译。

免费翻译文档

深度研究

AI帮你快速写综述,25分钟生成高质量综述,智能提取关键信息,辅助科研写作。

立即免费体验

非骨水泥型全髋关节置换术治疗股骨头完全碎裂及塌陷的缺血性坏死:1例报告

Avascular Necrosis With Complete Fragmentation and Collapse of the Femoral Head Treated With Cementless Total Hip Arthroplasty: A Case Report.

作者信息

Roberts Tsamara, Penn Amanda, Hanson Logan

机构信息

College of Osteopathic Medicine, Lake Erie College of Osteopathic Medicine, Bradenton, USA.

Department of Orthopedic Surgery, Bond Clinic, Winter Haven, USA.

出版信息

Cureus. 2025 Jun 29;17(6):e86976. doi: 10.7759/cureus.86976. eCollection 2025 Jun.

DOI:10.7759/cureus.86976
PMID:40734863
原文链接:https://pmc.ncbi.nlm.nih.gov/articles/PMC12306698/
Abstract

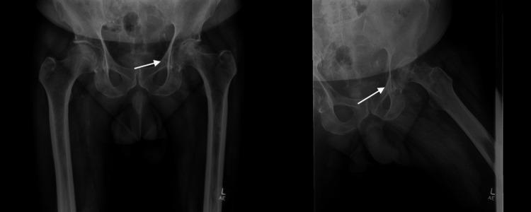
Avascular necrosis (AVN) of the femoral head results from disrupted blood flow that leads to bone tissue death. Nontraumatic risk factors include long-term corticosteroid use, excessive alcohol consumption, autoimmune diseases, and hematological disorders. Without an adequate blood supply, osteocytes die, causing microfractures that lead to structural collapse of the femoral head. Disruption of joint biomechanics causes hip or groin pain and limited range of motion (ROM). This case report presents a 56-year-old male patient with severe left hip pain and progressive functional decline over nine months. Imaging confirmed stage IV AVN with complete femoral head collapse. The patient failed initial conservative measures and underwent a cementless total hip arthroplasty (THA) augmented with peripheral screws in the acetabular cup. Post-operative recovery was unremarkable, with reported improvement of pain and increased hip motion at the six-week follow-up. This case highlights the importance of early diagnosis and treatment in advanced avascular necrosis of the femoral head. It also demonstrates the effectiveness of cementless total hip arthroplasty in providing good clinical outcomes.

摘要

股骨头缺血性坏死(AVN)是由血流中断导致骨组织死亡引起的。非创伤性危险因素包括长期使用皮质类固醇、过量饮酒、自身免疫性疾病和血液系统疾病。由于没有足够的血液供应,骨细胞死亡,导致微骨折,进而导致股骨头结构塌陷。关节生物力学的破坏会引起臀部或腹股沟疼痛以及活动范围(ROM)受限。本病例报告介绍了一名56岁男性患者,其左髋部剧痛,九个月来功能逐渐衰退。影像学检查确诊为IV期AVN,股骨头完全塌陷。患者最初的保守治疗失败,接受了在髋臼杯处用外周螺钉增强的非骨水泥全髋关节置换术(THA)。术后恢复情况良好,六周随访时报告疼痛有所改善,髋关节活动增加。本病例突出了股骨头晚期缺血性坏死早期诊断和治疗的重要性。它还证明了非骨水泥全髋关节置换术在提供良好临床效果方面的有效性。

https://cdn.ncbi.nlm.nih.gov/pmc/blobs/9baf/12306698/21d3b53c9f81/cureus-0017-00000086976-i05.jpg
https://cdn.ncbi.nlm.nih.gov/pmc/blobs/9baf/12306698/911a45373a59/cureus-0017-00000086976-i01.jpg
https://cdn.ncbi.nlm.nih.gov/pmc/blobs/9baf/12306698/23521a2679f2/cureus-0017-00000086976-i02.jpg
https://cdn.ncbi.nlm.nih.gov/pmc/blobs/9baf/12306698/a7dea1fd9c85/cureus-0017-00000086976-i03.jpg
https://cdn.ncbi.nlm.nih.gov/pmc/blobs/9baf/12306698/fa8b2330e6fe/cureus-0017-00000086976-i04.jpg
https://cdn.ncbi.nlm.nih.gov/pmc/blobs/9baf/12306698/21d3b53c9f81/cureus-0017-00000086976-i05.jpg
https://cdn.ncbi.nlm.nih.gov/pmc/blobs/9baf/12306698/911a45373a59/cureus-0017-00000086976-i01.jpg
https://cdn.ncbi.nlm.nih.gov/pmc/blobs/9baf/12306698/23521a2679f2/cureus-0017-00000086976-i02.jpg
https://cdn.ncbi.nlm.nih.gov/pmc/blobs/9baf/12306698/a7dea1fd9c85/cureus-0017-00000086976-i03.jpg
https://cdn.ncbi.nlm.nih.gov/pmc/blobs/9baf/12306698/fa8b2330e6fe/cureus-0017-00000086976-i04.jpg
https://cdn.ncbi.nlm.nih.gov/pmc/blobs/9baf/12306698/21d3b53c9f81/cureus-0017-00000086976-i05.jpg

相似文献

1
Avascular Necrosis With Complete Fragmentation and Collapse of the Femoral Head Treated With Cementless Total Hip Arthroplasty: A Case Report.非骨水泥型全髋关节置换术治疗股骨头完全碎裂及塌陷的缺血性坏死:1例报告
Cureus. 2025 Jun 29;17(6):e86976. doi: 10.7759/cureus.86976. eCollection 2025 Jun.
2
A Descriptive Study on the Role of Magnetic Resonance Imaging in Staging Avascular Necrosis of the Hip Joint: Current Trends and Insights.关于磁共振成像在髋关节缺血性坏死分期中作用的描述性研究:当前趋势与见解
Cureus. 2025 Jun 27;17(6):e86867. doi: 10.7759/cureus.86867. eCollection 2025 Jun.
3
What Are the Functional, Radiographic, and Survivorship Outcomes of a Modified Cup-cage Technique for Pelvic Discontinuity?改良杯笼技术治疗骨盆不连续性的功能、影像学和生存结果如何?
Clin Orthop Relat Res. 2024 Dec 1;482(12):2149-2160. doi: 10.1097/CORR.0000000000003186. Epub 2024 Jul 9.
4
Is Subcapital Realignment for Slipped Capital Femoral Epiphysis a Reproducible Technique? Midterm Results.股骨颈骨软骨下移位在股骨颈骨骺滑脱中的作用:一种可复制的技术?中期结果。
Clin Orthop Relat Res. 2024 Sep 1;482(9):1627-1638. doi: 10.1097/CORR.0000000000002948. Epub 2024 Jan 2.
5
Total hip replacement and surface replacement for the treatment of pain and disability resulting from end-stage arthritis of the hip (review of technology appraisal guidance 2 and 44): systematic review and economic evaluation.全髋关节置换术和表面置换术治疗终末期髋关节炎所致疼痛和残疾(技术评估指南2和44综述):系统评价与经济学评估
Health Technol Assess. 2015 Jan;19(10):1-668, vii-viii. doi: 10.3310/hta19100.
6
Assessing the latest advances in bone marrow stem cell therapy for Avascular Necrosis hip: A comprehensive systematic review, meta-analysis, and meta-regression of randomized controlled trial studies.评估用于治疗股骨头缺血性坏死的骨髓干细胞疗法的最新进展:一项对随机对照试验研究的全面系统评价、荟萃分析和荟萃回归分析
PLoS One. 2025 Jun 24;20(6):e0297319. doi: 10.1371/journal.pone.0297319. eCollection 2025.
7
How Is Variability in Femoral and Acetabular Version Associated With Presentation Among Young Adults With Hip Pain?年轻人髋关节疼痛时股骨和髋臼版本的变化与表现有何关联?
Clin Orthop Relat Res. 2024 Sep 1;482(9):1565-1579. doi: 10.1097/CORR.0000000000003076. Epub 2024 May 7.
8
Surgical Hip Dislocation in the Era of Hip Arthroscopy Demonstrates High Survivorship and Improvements in Patient-reported Outcomes for Complex Femoroacetabular Impingement.关节镜时代的髋关节脱位手术具有高存活率,并改善了复杂型股骨髋臼撞击症患者的报告结局。
Clin Orthop Relat Res. 2024 Sep 1;482(9):1671-1682. doi: 10.1097/CORR.0000000000003032. Epub 2024 Mar 21.
9
Does Flexion Varus Osteotomy Improve Radiographic Findings Compared With Patients Treated in a Brace for Late-onset Legg-Calvé-Perthes Disease?与支具治疗的迟发性 Legg-Calvé-Perthes 病患者相比,内翻-旋转移位截骨术是否能改善影像学发现?
Clin Orthop Relat Res. 2023 Apr 1;481(4):808-819. doi: 10.1097/CORR.0000000000002450. Epub 2022 Nov 6.
10
The Association of Jumbo Femoral Heads and Acetabular Cup Position on Patient Outcomes After Modern Posterior Approach Total Hip Arthroplasty.现代后入路全髋关节置换术后股骨头大小与髋臼杯位置对患者预后的影响
J Arthroplasty. 2025 Aug;40(8):2066-2072. doi: 10.1016/j.arth.2025.01.020. Epub 2025 Jan 19.

本文引用的文献

1
Non-municipal water sources as a potential for surgical site infections in plastic surgery.非市政水源作为整形手术中手术部位感染的一个潜在因素。
J Plast Reconstr Aesthet Surg. 2024 Dec;99:395-396. doi: 10.1016/j.bjps.2024.10.029. Epub 2024 Oct 18.
2
Poly(methyl methacrylate) in Orthopedics: Strategies, Challenges, and Prospects in Bone Tissue Engineering.聚甲基丙烯酸甲酯在骨科中的应用:骨组织工程的策略、挑战与前景
Polymers (Basel). 2024 Jan 29;16(3):367. doi: 10.3390/polym16030367.
3
A Comprehensive Review of Treatment Strategies for Early Avascular Necrosis.
早期缺血性坏死治疗策略的全面综述
Cureus. 2023 Dec 14;15(12):e50510. doi: 10.7759/cureus.50510. eCollection 2023 Dec.
4
Cemented versus Cementless Femoral Fixation for Elective Primary Total Hip Arthroplasty: A Nationwide Analysis of Short-Term Complication and Readmission Rates.择期初次全髋关节置换术中骨水泥型与非骨水泥型股骨固定:一项关于短期并发症和再入院率的全国性分析。
J Clin Med. 2023 Jun 9;12(12):3945. doi: 10.3390/jcm12123945.
5
Delay of total joint replacement is associated with a higher 90-day revision rate and increased postoperative complications.关节置换手术的延迟与更高的 90 天翻修率和术后并发症增加相关。
Arch Orthop Trauma Surg. 2023 Jul;143(7):3957-3964. doi: 10.1007/s00402-022-04670-4. Epub 2022 Nov 4.
6
Avascular Necrosis of Femoral Head-Overview and Current State of the Art.股骨头缺血性坏死概述及现状。
Int J Environ Res Public Health. 2022 Jun 15;19(12):7348. doi: 10.3390/ijerph19127348.
7
Dual Mobility in Total Hip Arthroplasty: Biomechanics, Indications and Complications-Current Concepts.全髋关节置换术中的双动技术:生物力学、适应证及并发症——当前概念
Indian J Orthop. 2021 Oct 13;55(5):1202-1207. doi: 10.1007/s43465-021-00471-w. eCollection 2021 Oct.
8
Long-Term Survivorship of Total Hip Arthroplasty with Highly Cross-Linked Polyethylene for Osteonecrosis.骨坏死患者行超交联聚乙烯全髋关节置换的长期生存情况。
J Bone Joint Surg Am. 2019 Sep 4;101(17):1563-1568. doi: 10.2106/JBJS.18.01218.
9
Osteonecrosis of the Femoral Head.股骨头坏死
Orthop Clin North Am. 2019 Apr;50(2):139-149. doi: 10.1016/j.ocl.2018.10.001. Epub 2019 Feb 12.
10
Management of femoral head osteonecrosis: Current concepts.股骨头坏死的治疗:当前概念
Indian J Orthop. 2015 Jan-Feb;49(1):28-45. doi: 10.4103/0019-5413.143911.