Suppr超能文献

一项评估基于深度学习重建的三维回波平面成像定量磁化率图谱在多发性硬化症中的临床应用价值的试点研究。

A pilot study assessing the clinical utility of deep learning-reconstructed 3D-echo-planar-imaging-based quantitative susceptibility mapping in multiple sclerosis.

作者信息

Gkotsoulias Dimitrios G, Weigel Matthias, Cagol Alessandro, Siebenborn Nina de Oliveira Soares, Ruberte Esther, Pfeuffer Josef, Granziera Cristina

机构信息

Translational Imaging in Neurology (ThINk) Basel, Department of Medicine and Biomedical Engineering, University Hospital Basel and University of Basel, Basel, Switzerland.

Department of Neurology, University Hospital of Basel, Basel, Switzerland.

出版信息

Front Neurosci. 2025 Jul 16;19:1544376. doi: 10.3389/fnins.2025.1544376. eCollection 2025.

Abstract

BACKGROUND

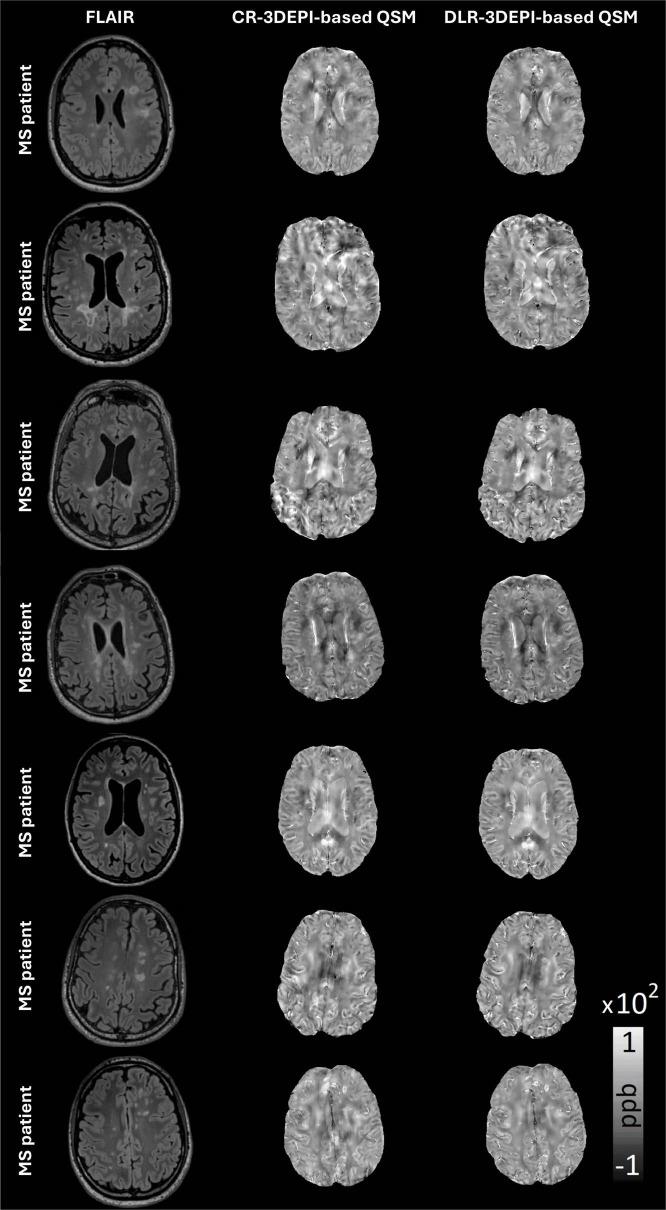
Quantitative susceptibility mapping (QSM) has emerged as a promising paraclinical tool in multiple sclerosis (MS). This retrospective pilot study aims to evaluate whether a recently proposed deep learning-assisted, k-space-operating reconstruction, denoising and super-resolution technique (DLR) applied on 3D-echo-planar-imaging (3DEPI) protocols, has the potential to improve the quality and clinical utility of QSM in MS, at 3T. Secondarily, we assess whether applying DLR vs. a conventional reconstruction (CR) can improve the quality of QSM based on noise-susceptible, fast 3DEPI protocols.

METHODS

3T MRI 3DEPI-data were acquired on seven MS patients and offline-reconstructed using CR and DLR. FLAIR segmentation. Two experts, independently and method-blinded, rated lesion-wise the CR- and DLR-3DEPI-derived QSM, assessing the confidence in identifying paramagnetic rim lesions (PRLs), central vein sign (CVS), QSM hyper/isointense lesions and image quality. Gradient-recalled-echo (GRE), 2- and 1-average 3DEPI (acquisition time: 7:02, 3:44, and 1:56 min, respectively) from a healthy individual were offline-reconstructed using CR and DLR. Derived QSM maps were compared visually and quantitatively.

RESULTS

Deep learning reconstruction-3DEPI-based QSM was rated significantly higher for the confidence in identification of the MS-specific biomarkers (hyper/isointense lesions: < 0.001, CVS: = 0.01) and overall image quality ( < 0.001), compared to CR-3DEPI-based. Inter-method agreement was high for both raters (Cohen's κ = 0.98/0.92), suggesting that DLR improves the quality without changing the rater's perception of the individual QSM-related clinical findings. Additionally, QSM derived from fast DLR-3DEPI with a fourfold acquisition-time reduction compared to GRE, exhibited excellent visual and quantitative consistency with GRE-based QSM.

CONCLUSION

Our results constitute a first demonstration of the enhanced quality and clinical utility of the DLR-3DEPI-based QSM in MS.

摘要

背景

定量磁化率图谱(QSM)已成为多发性硬化症(MS)中一种有前景的临床辅助工具。这项回顾性试点研究旨在评估最近提出的一种深度学习辅助的、在k空间操作的重建、去噪和超分辨率技术(DLR),应用于三维回波平面成像(3DEPI)协议时,是否有潜力在3T条件下提高MS中QSM的质量和临床实用性。其次,我们评估应用DLR与传统重建(CR)相比,是否能基于对噪声敏感的快速3DEPI协议提高QSM的质量。

方法

对7例MS患者采集3T MRI的3DEPI数据,并使用CR和DLR进行离线重建。进行液体衰减反转恢复(FLAIR)分割。两位专家在不知道方法的情况下独立地对基于CR和DLR的3DEPI得出的QSM进行逐病变评分,评估识别顺磁性边缘病变(PRL)、中心静脉征(CVS)、QSM高/等信号病变的可信度以及图像质量。对一名健康个体的梯度回波(GRE)、2倍和1倍平均3DEPI(采集时间分别为7:02、3:44和1:56分钟)进行离线重建,使用CR和DLR。对得出的QSM图进行视觉和定量比较。

结果

与基于CR-3DEPI的QSM相比,基于深度学习重建的3DEPI的QSM在识别MS特异性生物标志物(高/等信号病变:<0.001,CVS:=0.01)和整体图像质量(<0.001)方面的可信度评分显著更高。两位评分者的方法间一致性都很高(科恩κ系数=0.98/0.92),这表明DLR提高了质量,同时没有改变评分者对各个与QSM相关的临床发现的认知。此外,与GRE相比,采集时间减少四倍的快速DLR-3DEPI得出的QSM与基于GRE的QSM表现出极好的视觉和定量一致性。

结论

我们的结果首次证明了基于DLR-3DEPI的QSM在MS中的质量和临床实用性得到了提高。

https://cdn.ncbi.nlm.nih.gov/pmc/blobs/2df3/12307354/8ca0865913b6/fnins-19-1544376-g001.jpg

文献AI研究员

20分钟写一篇综述,助力文献阅读效率提升50倍。

立即体验

用中文搜PubMed

大模型驱动的PubMed中文搜索引擎

马上搜索

文档翻译

学术文献翻译模型,支持多种主流文档格式。

立即体验