• 文献检索
  • 文档翻译
  • 深度研究
  • 学术资讯
  • Suppr Zotero 插件Zotero 插件
  • 邀请有礼
  • 套餐&价格
  • 历史记录
应用&插件
Suppr Zotero 插件Zotero 插件浏览器插件Mac 客户端Windows 客户端微信小程序
定价
高级版会员购买积分包购买API积分包
服务
文献检索文档翻译深度研究API 文档MCP 服务
关于我们
关于 Suppr公司介绍联系我们用户协议隐私条款
关注我们

Suppr 超能文献

核心技术专利:CN118964589B侵权必究
粤ICP备2023148730 号-1Suppr @ 2026

文献检索

告别复杂PubMed语法,用中文像聊天一样搜索,搜遍4000万医学文献。AI智能推荐,让科研检索更轻松。

立即免费搜索

文件翻译

保留排版,准确专业,支持PDF/Word/PPT等文件格式,支持 12+语言互译。

免费翻译文档

深度研究

AI帮你快速写综述,25分钟生成高质量综述,智能提取关键信息,辅助科研写作。

立即免费体验

罕见的双重并发症:一名绝经后患者因巨大卵巢浆液性囊腺瘤继发肠梗阻和肾积水

Unusual Dual Complications: Bowel Obstruction and Hydronephrosis Secondary to a Large Ovarian Serous Cystadenoma in a Postmenopausal Patient.

作者信息

Jacobson Amber R, Mallick Hamdan, Rebner Lynnsey M, Poremba Megan, Goparaju Anirudha

机构信息

General Surgery, Bayhealth Medical Center, Dover, USA.

Medicine, Bayhealth Medical Center, Dover, USA.

出版信息

Cureus. 2025 Jun 30;17(6):e87081. doi: 10.7759/cureus.87081. eCollection 2025 Jun.

DOI:10.7759/cureus.87081
PMID:40746789
原文链接:https://pmc.ncbi.nlm.nih.gov/articles/PMC12311399/
Abstract

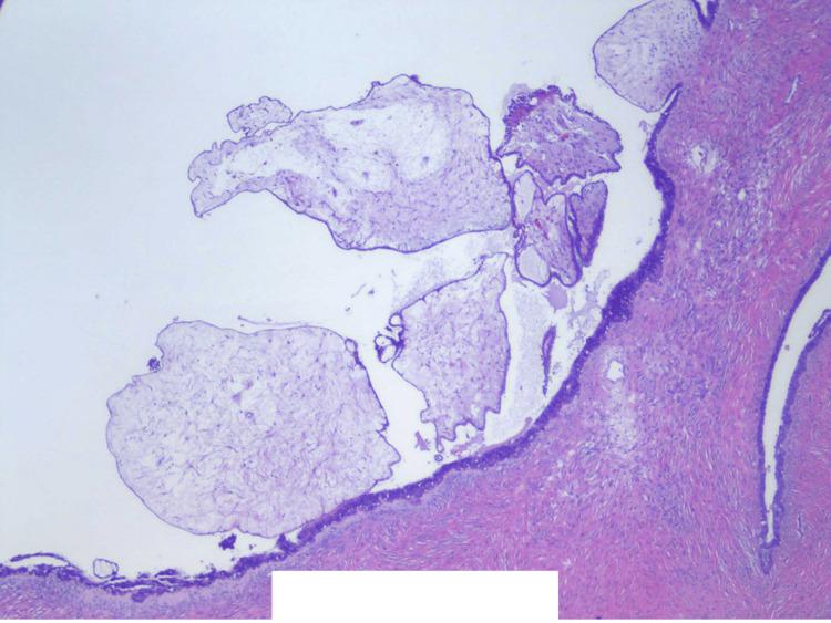
Ovarian cystadenomas are common benign tumors that are typically detected early; however, some patients develop large, symptomatic masses. We report the case of a 72-year-old postmenopausal woman who presented with a two-week history of abdominal pain, nausea, vomiting, and right lower quadrant abdominal fullness. The patient had previously undergone hysterectomy and bilateral oophorectomy. CT imaging revealed a large, multi-loculated pelvic mass (19.3 × 17.4 cm) causing small bowel obstruction and right hydroureteronephrosis. An exploratory laparotomy was performed, and histopathological examination confirmed an ovarian serous cystadenoma. This case highlights that even benign ovarian lesions can lead to significant complications, underscoring the need for a multidisciplinary approach with the support of comprehensive imaging and meticulous surgical planning.

摘要

卵巢囊腺瘤是常见的良性肿瘤,通常能早期发现;然而,一些患者会出现较大的、有症状的肿块。我们报告一例72岁绝经后女性病例,该患者有两周的腹痛、恶心、呕吐及右下腹腹胀病史。患者既往接受过子宫切除术和双侧卵巢切除术。CT成像显示一个巨大的、多房性盆腔肿块(19.3×17.4厘米),导致小肠梗阻和右侧肾盂积水。进行了剖腹探查术,组织病理学检查证实为卵巢浆液性囊腺瘤。该病例强调,即使是良性卵巢病变也可能导致严重并发症,突显了在综合影像学支持和精心手术规划下采取多学科方法的必要性。

https://cdn.ncbi.nlm.nih.gov/pmc/blobs/d94e/12311399/50411456af29/cureus-0017-00000087081-i07.jpg
https://cdn.ncbi.nlm.nih.gov/pmc/blobs/d94e/12311399/a499e64794e4/cureus-0017-00000087081-i01.jpg
https://cdn.ncbi.nlm.nih.gov/pmc/blobs/d94e/12311399/60ba2267910f/cureus-0017-00000087081-i02.jpg
https://cdn.ncbi.nlm.nih.gov/pmc/blobs/d94e/12311399/ea1c0f3b2bef/cureus-0017-00000087081-i03.jpg
https://cdn.ncbi.nlm.nih.gov/pmc/blobs/d94e/12311399/ae490120bc3e/cureus-0017-00000087081-i04.jpg
https://cdn.ncbi.nlm.nih.gov/pmc/blobs/d94e/12311399/7a5a3a2cf341/cureus-0017-00000087081-i05.jpg
https://cdn.ncbi.nlm.nih.gov/pmc/blobs/d94e/12311399/3d4f9697296c/cureus-0017-00000087081-i06.jpg
https://cdn.ncbi.nlm.nih.gov/pmc/blobs/d94e/12311399/50411456af29/cureus-0017-00000087081-i07.jpg
https://cdn.ncbi.nlm.nih.gov/pmc/blobs/d94e/12311399/a499e64794e4/cureus-0017-00000087081-i01.jpg
https://cdn.ncbi.nlm.nih.gov/pmc/blobs/d94e/12311399/60ba2267910f/cureus-0017-00000087081-i02.jpg
https://cdn.ncbi.nlm.nih.gov/pmc/blobs/d94e/12311399/ea1c0f3b2bef/cureus-0017-00000087081-i03.jpg
https://cdn.ncbi.nlm.nih.gov/pmc/blobs/d94e/12311399/ae490120bc3e/cureus-0017-00000087081-i04.jpg
https://cdn.ncbi.nlm.nih.gov/pmc/blobs/d94e/12311399/7a5a3a2cf341/cureus-0017-00000087081-i05.jpg
https://cdn.ncbi.nlm.nih.gov/pmc/blobs/d94e/12311399/3d4f9697296c/cureus-0017-00000087081-i06.jpg
https://cdn.ncbi.nlm.nih.gov/pmc/blobs/d94e/12311399/50411456af29/cureus-0017-00000087081-i07.jpg

相似文献

1
Unusual Dual Complications: Bowel Obstruction and Hydronephrosis Secondary to a Large Ovarian Serous Cystadenoma in a Postmenopausal Patient.罕见的双重并发症:一名绝经后患者因巨大卵巢浆液性囊腺瘤继发肠梗阻和肾积水
Cureus. 2025 Jun 30;17(6):e87081. doi: 10.7759/cureus.87081. eCollection 2025 Jun.
2
Imaging in gynecological disease (28): clinical and ultrasound characteristics of serous and mucinous cystadenomas in the adnexa.妇科疾病影像学(28):附件浆液性和黏液性囊腺瘤的临床及超声特征
Ultrasound Obstet Gynecol. 2025 Aug;66(2):233-241. doi: 10.1002/uog.29248. Epub 2025 May 26.
3
Laparoscopic resection of a giant post-mesenteric ovarian seromucinous cystadenoma: a case report and review.腹腔镜下切除巨大肠系膜后卵巢浆液性黏液性囊腺瘤:病例报告及文献复习
Front Oncol. 2025 Jun 12;15:1576522. doi: 10.3389/fonc.2025.1576522. eCollection 2025.
4
Coexistence of giant serous cystadenoma and hemorrhagic corpus luteal cyst in a 12-year-old: diagnostic and fertility-sparing surgical approach.一名12岁女童巨大浆液性囊腺瘤与出血性黄体囊肿并存:诊断及保留生育功能的手术方法
BMC Pediatr. 2025 Jul 19;25(1):559. doi: 10.1186/s12887-025-05932-x.
5
Case Report: Serous borderline ovarian tumor and extensive abdominopelvic endometriosis mimicking advanced epithelial ovarian cancer in a postmenopausal patient.病例报告:一名绝经后患者的浆液性交界性卵巢肿瘤及广泛的盆腔腹部子宫内膜异位症酷似晚期上皮性卵巢癌。
Front Med (Lausanne). 2025 Jun 17;12:1581241. doi: 10.3389/fmed.2025.1581241. eCollection 2025.
6
Intraoperative frozen section analysis for the diagnosis of early stage ovarian cancer in suspicious pelvic masses.术中冰冻切片分析用于诊断可疑盆腔肿块中的早期卵巢癌。
Cochrane Database Syst Rev. 2016 Mar 1;3(3):CD010360. doi: 10.1002/14651858.CD010360.pub2.
7
Early versus delayed oral feeding after major gynaecologic surgery.妇科大手术后早期与延迟经口进食的比较。
Cochrane Database Syst Rev. 2024 Aug 12;8(8):CD004508. doi: 10.1002/14651858.CD004508.pub5.
8
Recurrent Rapunzel syndrome in a young woman: Diagnostic pitfalls and surgical strategy.一名年轻女性的复发性长发公主综合征:诊断陷阱与手术策略
Int J Surg Case Rep. 2025 Sep;134:111672. doi: 10.1016/j.ijscr.2025.111672. Epub 2025 Jul 10.
9
Gastrointestinal stromal tumors with atypical features and presentations: A case series.具有非典型特征和表现的胃肠道间质瘤:病例系列
Int J Surg Case Rep. 2025 Jun 26;133:111569. doi: 10.1016/j.ijscr.2025.111569.
10
Cervical giant Nabothian cysts in a woman with primary infertility: a case report.一名原发性不孕女性的宫颈巨大纳氏囊肿:病例报告
J Med Case Rep. 2025 Jul 9;19(1):332. doi: 10.1186/s13256-025-05393-x.

本文引用的文献

1
Ovarian Cystadenofibroma: An Innocent Tumor Causing Early Postoperative Small Bowel Obstruction and Perforation Peritonitis.卵巢囊腺纤维瘤:一种导致术后早期小肠梗阻和穿孔性腹膜炎的良性肿瘤。
J Midlife Health. 2024 Jan-Mar;15(1):43-47. doi: 10.4103/jmh.jmh_5_24. Epub 2024 Apr 4.
2
Endometrial Cyst Presenting as a Vague Abdominal Lump in a Postmenopausal Woman.绝经后女性出现以腹部肿块为表现的子宫内膜囊肿,肿块情况不明确 。
Cureus. 2022 Oct 1;14(10):e29807. doi: 10.7759/cureus.29807. eCollection 2022 Oct.
3
A case report of partial bowel obstruction as the first symptom of a sizeable adnexal mucinous cystadenoma.
一例以部分性肠梗阻为首发症状的巨大附件黏液性囊腺瘤病例报告。
Innov Surg Sci. 2022 Jun 30;7(2):71-75. doi: 10.1515/iss-2022-0003. eCollection 2022 Jun.
4
Extraovarian primary seromucinous cystadenoma masquerading as mesenteric cyst.伪装成肠系膜囊肿的卵巢外原发性浆液性黏液性囊腺瘤
BMJ Case Rep. 2021 May 25;14(5):e240414. doi: 10.1136/bcr-2020-240414.
5
Dilemma of the giant abdominal cyst.巨大腹部囊肿的困境
BMJ Case Rep. 2019 Jan 10;12(1):bcr-2018-227255. doi: 10.1136/bcr-2018-227255.
6
A Postmenopausal Woman with Giant Ovarian Serous Cyst Adenoma: A Case Report with Brief Literature Review.一名患有巨大卵巢浆液性囊腺瘤的绝经后女性:病例报告及简要文献综述
Case Rep Obstet Gynecol. 2018 Apr 4;2018:5478328. doi: 10.1155/2018/5478328. eCollection 2018.
7
Hydronephrosis caused by a giant ovarian cyst.巨大卵巢囊肿所致肾积水
Int Braz J Urol. 2016 Jul-Aug;42(4):848-9. doi: 10.1590/S1677-5538.IBJU.2015.0354.
8
An Unusual Case of Small Bowel Volvulus.一例罕见的小肠扭转病例。
J Clin Diagn Res. 2015 Nov;9(11):PD08-10. doi: 10.7860/JCDR/2015/16252.6799. Epub 2015 Nov 1.
9
Abdominal compartment syndrome due to a giant multilobulated ovarian serous cystadenoma. Case report and review of the literature.巨大分叶状卵巢浆液性囊腺瘤所致腹腔间隔室综合征。病例报告及文献复习。
Ann Ital Chir. 2012 Nov-Dec;83(6):563-6.
10
Giant ovarian serous cystadenoma in a postmenopausal woman: a case report.一名绝经后女性的巨大卵巢浆液性囊腺瘤:病例报告
Cases J. 2009 Jul 23;2:7875. doi: 10.4076/1757-1626-2-7875.