Suppr超能文献

蛋白质精氨酸甲基化调节对衰老应激的抗炎编程。

Protein arginine methylation regulates anti-inflammatory programming in response to aging stress.

作者信息

Yuan Yao, Motomura Kaori, Kim Jun-Dal, Hengphasatporn Kowit, Kako Koichiro, Maruhashi Syunsuke, Kasai Fumiya, Mizukami Hayase, Toma-Fukai Sachiko, Muratani Masafumi, Shigeta Yasuteru, Daitoku Hiroaki, Fukamizu Akiyoshi

机构信息

Life Science Center for Survival Dynamics, Tsukuba Advanced Research Alliance (TARA), University of Tsukuba, Ibaraki 305-8575, Japan.

Human Biology, School of Integrative and Global Majors, University of Tsukuba, Tsukuba Ibaraki 305-8575, Japan.

出版信息

iScience. 2025 Jul 10;28(8):113095. doi: 10.1016/j.isci.2025.113095. eCollection 2025 Aug 15.

Abstract

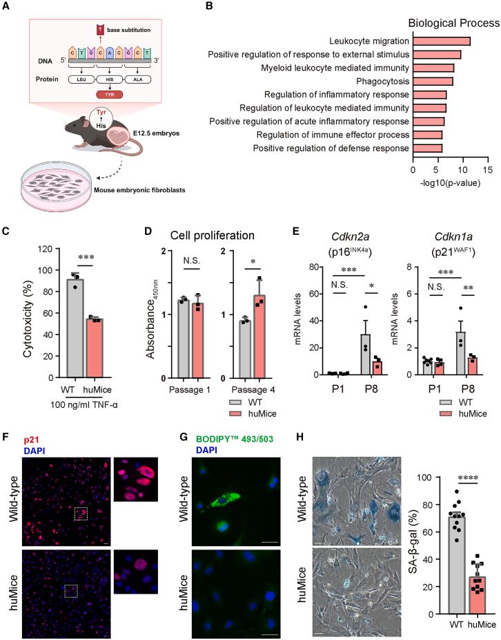
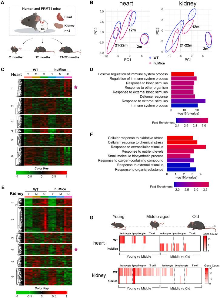
PRMT1 is a key enzyme responsible for protein arginine methylation, which regulates various cellular processes. However, its physiological significance at whole-body level remains unknown due to embryonic lethality of Prmt1-null mice. Despite only one amino acid difference at position 179, molecular dynamics simulations and biochemical assays showed that human PRMT1 exhibits enhanced methyltransferase activity compared to its mouse counterpart. Capitalizing on this finding, we generated humanized PRMT1 knock-in mice (huMice) carrying the H179Y substitution. Notably, huMice displayed distinct transcriptomic signatures associated with attenuated inflammatory responses compared to wild-type mice in an age-dependent manner. In particular, huMice exhibited reduced pro-inflammatory cytokines production following lipopolysaccharide (LPS) challenge at 12 months, revealing that heightened PRMT1 activity confers a physiological advantage in alleviating age-related inflammatory stress. Our findings underscore PRMT1's key role in the modulation of anti-inflammatory programming at the organismal level and open avenues for leveraging this knowledge in developing mitigation strategies against inflammaging.

摘要

PRMT1是一种负责蛋白质精氨酸甲基化的关键酶,它调节各种细胞过程。然而,由于Prmt1基因敲除小鼠的胚胎致死性,其在全身水平的生理意义仍然未知。尽管在第179位只有一个氨基酸差异,但分子动力学模拟和生化分析表明,与小鼠PRMT1相比,人类PRMT1表现出增强的甲基转移酶活性。基于这一发现,我们构建了携带H179Y替代的人源化PRMT1基因敲入小鼠(hu小鼠)。值得注意的是,与野生型小鼠相比,hu小鼠以年龄依赖的方式表现出与炎症反应减弱相关的独特转录组特征。特别是,12个月大的hu小鼠在脂多糖(LPS)刺激后促炎细胞因子的产生减少,这表明增强的PRMT1活性在减轻与年龄相关的炎症应激方面具有生理优势。我们的研究结果强调了PRMT1在机体水平调节抗炎程序中的关键作用,并为利用这一知识开发对抗炎症衰老的缓解策略开辟了道路。

https://cdn.ncbi.nlm.nih.gov/pmc/blobs/0065/12312054/948117dc21d8/fx1.jpg

文献检索

告别复杂PubMed语法,用中文像聊天一样搜索,搜遍4000万医学文献。AI智能推荐,让科研检索更轻松。

立即免费搜索

文件翻译

保留排版,准确专业,支持PDF/Word/PPT等文件格式,支持 12+语言互译。

免费翻译文档

深度研究

AI帮你快速写综述,25分钟生成高质量综述,智能提取关键信息,辅助科研写作。

立即免费体验