• 文献检索
  • 文档翻译
  • 深度研究
  • 学术资讯
  • Suppr Zotero 插件Zotero 插件
  • 邀请有礼
  • 套餐&价格
  • 历史记录
应用&插件
Suppr Zotero 插件Zotero 插件浏览器插件Mac 客户端Windows 客户端微信小程序
定价
高级版会员购买积分包购买API积分包
服务
文献检索文档翻译深度研究API 文档MCP 服务
关于我们
关于 Suppr公司介绍联系我们用户协议隐私条款
关注我们

Suppr 超能文献

核心技术专利:CN118964589B侵权必究
粤ICP备2023148730 号-1Suppr @ 2026

文献检索

告别复杂PubMed语法,用中文像聊天一样搜索,搜遍4000万医学文献。AI智能推荐,让科研检索更轻松。

立即免费搜索

文件翻译

保留排版,准确专业,支持PDF/Word/PPT等文件格式,支持 12+语言互译。

免费翻译文档

深度研究

AI帮你快速写综述,25分钟生成高质量综述,智能提取关键信息,辅助科研写作。

立即免费体验

一名95岁未确诊类风湿关节炎女性患者的气管软化症和间质性肺炎:病例报告

Tracheomalacia and Interstitial Pneumonia in a 95-Year-Old Woman With Undiagnosed Rheumatoid Arthritis: A Case Report.

作者信息

Yamamoto Natsumi, Amano Shiho, Oka Kohei, Sano Chiaki, Ohta Ryuichi

机构信息

Community Care, Unnan City Hospital, Unnan, JPN.

Community Medicine Management, Shimane University Faculty of Medicine, Izumo, JPN.

出版信息

Cureus. 2025 Jul 2;17(7):e87205. doi: 10.7759/cureus.87205. eCollection 2025 Jul.

DOI:10.7759/cureus.87205
PMID:40755567
原文链接:https://pmc.ncbi.nlm.nih.gov/articles/PMC12317295/
Abstract

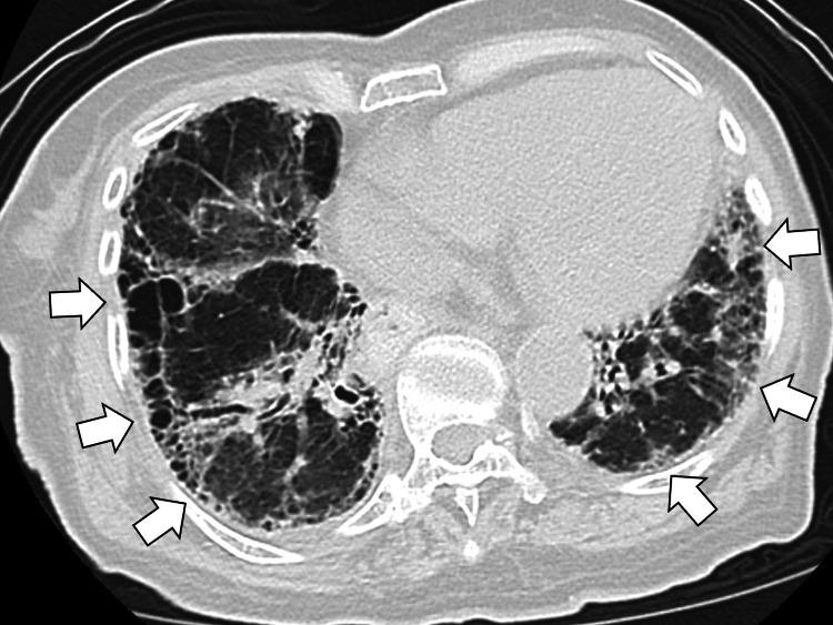
This case report describes a 95-year-old woman with a history of cardiovascular and gastrointestinal diseases who presented with fever and anorexia. She was diagnosed with influenza A and secondary bacterial pneumonia. Despite antiviral and antibiotic treatment, her respiratory condition worsened. Detailed examination revealed characteristic joint deformities, elevated rheumatoid factor, and anti-cyclic citrullinated peptide antibodies. Imaging showed interstitial pneumonia and paradoxical breathing with elevation of the membranous portion of the trachea, indicating tracheomalacia. The patient was diagnosed with previously unrecognized rheumatoid arthritis with associated interstitial pneumonia and tracheomalacia. Immunosuppressive therapy with prednisolone and azathioprine improved her condition. This case highlights the importance of thorough systemic evaluation in elderly patients with unexplained respiratory symptoms and the need to consider late-onset autoimmune diseases, including rheumatoid arthritis, in the differential diagnosis.

摘要

本病例报告描述了一位95岁的女性,有心血管和胃肠道疾病史,出现发热和厌食症状。她被诊断为甲型流感和继发性细菌性肺炎。尽管进行了抗病毒和抗生素治疗,但其呼吸状况仍恶化。详细检查发现特征性关节畸形、类风湿因子升高以及抗环瓜氨酸肽抗体。影像学显示间质性肺炎和气管膜部抬高导致的矛盾呼吸,提示气管软化。该患者被诊断为先前未被认识的类风湿关节炎合并间质性肺炎和气管软化。使用泼尼松龙和硫唑嘌呤进行免疫抑制治疗改善了她的病情。本病例强调了对有不明原因呼吸道症状的老年患者进行全面系统评估的重要性,以及在鉴别诊断中考虑包括类风湿关节炎在内的迟发性自身免疫性疾病的必要性。

https://cdn.ncbi.nlm.nih.gov/pmc/blobs/6b4b/12317295/c20a25adaaf1/cureus-0017-00000087205-i03.jpg
https://cdn.ncbi.nlm.nih.gov/pmc/blobs/6b4b/12317295/67a3301e5816/cureus-0017-00000087205-i01.jpg
https://cdn.ncbi.nlm.nih.gov/pmc/blobs/6b4b/12317295/9f092050ea4b/cureus-0017-00000087205-i02.jpg
https://cdn.ncbi.nlm.nih.gov/pmc/blobs/6b4b/12317295/c20a25adaaf1/cureus-0017-00000087205-i03.jpg
https://cdn.ncbi.nlm.nih.gov/pmc/blobs/6b4b/12317295/67a3301e5816/cureus-0017-00000087205-i01.jpg
https://cdn.ncbi.nlm.nih.gov/pmc/blobs/6b4b/12317295/9f092050ea4b/cureus-0017-00000087205-i02.jpg
https://cdn.ncbi.nlm.nih.gov/pmc/blobs/6b4b/12317295/c20a25adaaf1/cureus-0017-00000087205-i03.jpg

相似文献

1
Tracheomalacia and Interstitial Pneumonia in a 95-Year-Old Woman With Undiagnosed Rheumatoid Arthritis: A Case Report.一名95岁未确诊类风湿关节炎女性患者的气管软化症和间质性肺炎:病例报告
Cureus. 2025 Jul 2;17(7):e87205. doi: 10.7759/cureus.87205. eCollection 2025 Jul.
2
A Case Report of Rheumatoid Arthritis With a Migratory Pattern.一例呈游走性模式的类风湿关节炎病例报告。
Cureus. 2025 Jun 24;17(6):e86677. doi: 10.7759/cureus.86677. eCollection 2025 Jun.
3
A case of autoimmune pulmonary alveolar proteinosis during the course of treatment of rapidly progressive interstitial pneumonia associated with anti-MDA5 antibody-positive dermatomyositis.抗 MDA5 抗体阳性皮肌炎相关快速进展性间质性肺炎治疗过程中并发自身免疫性肺泡蛋白沉积症 1 例
BMC Pulm Med. 2024 Apr 8;24(1):170. doi: 10.1186/s12890-024-02989-9.
4
Long-term Exposure to Complementary and Alternative Medicine Leads to Neural Epidermal Growth Factor-like 1 Membranous Nephropathy.长期接触补充和替代医学导致神经表皮生长因子样1膜性肾病。
J Assoc Physicians India. 2025 May;73(5):81-82. doi: 10.59556/japi.73.0960.
5
Misdiagnosis of psoriatic arthritis in a patient with paronychia confirmed by dermatological examination: A case report.经皮肤科检查确诊的甲沟炎患者银屑病关节炎误诊:一例报告
World J Clin Cases. 2025 Jun 26;13(18):102194. doi: 10.12998/wjcc.v13.i18.102194.
6
Severe Relapsing Hailey-Hailey Disease Displaying a Durable Complete Response to Hydroxyurea.严重复发性黑利-黑利病对羟基脲呈现持久完全缓解
Acta Dermatovenerol Croat. 2024 Nov;32(3):168-169.
7
A Case of Rowell Syndrome: Excellent Response to Oral Cyclosporine.罗威尔综合征一例:口服环孢素疗效显著
Acta Dermatovenerol Croat. 2024 Nov;32(3):170-171.
8
Glucocorticoid use in rheumatoid arthritis patients and the onset of pneumonia: a systematic review and meta-analysis.类风湿关节炎患者糖皮质激素的使用与肺炎发病的关系:系统评价和荟萃分析。
J Osteopath Med. 2023 Jan 25;123(4):179-186. doi: 10.1515/jom-2022-0177. eCollection 2023 Apr 1.
9
Spinal Epidural Abscess: Raising the Index of Suspicion.脊柱硬膜外脓肿:提高警惕性
Cureus. 2025 Jun 6;17(6):e85465. doi: 10.7759/cureus.85465. eCollection 2025 Jun.
10
Mononeuritis Multiplex as an Initial Presentation of Rheumatoid Arthritis: A Rare Case Report from Bangladesh.多发性单神经炎作为类风湿关节炎的首发表现:来自孟加拉国的一例罕见病例报告
Mymensingh Med J. 2025 Jul;34(3):936-941.

本文引用的文献

1
High-Titer Rheumatoid Factor is Associated with Worse Clinical Outcomes and Higher Needs for Advanced Therapies in Rheumatoid Arthritis Under Real-Life Conditions.在现实生活条件下,高滴度类风湿因子与类风湿关节炎更差的临床结局及对先进治疗的更高需求相关。
Rheumatol Ther. 2025 Feb;12(1):123-136. doi: 10.1007/s40744-024-00730-w. Epub 2024 Dec 19.
2
Effectiveness of General Medicine in the Management of Rheumatoid Arthritis in Rural Settings: A Systematic Review and Meta-Ethnography.普通内科在农村地区类风湿关节炎管理中的有效性:一项系统评价和元民族志研究
Cureus. 2024 Nov 15;16(11):e73726. doi: 10.7759/cureus.73726. eCollection 2024 Nov.
3
COPD-Associated Expiratory Central Airway Collapse: Current Concepts and New Perspectives.
慢性阻塞性肺疾病相关的呼气期中央气道塌陷:当前概念与新视角
Chest. 2025 Apr;167(4):1024-1043. doi: 10.1016/j.chest.2024.11.015. Epub 2024 Nov 22.
4
Global RA treatment recommendations: An update from the various international societies.全球类风湿关节炎治疗建议:各国际学会的更新内容。
Best Pract Res Clin Rheumatol. 2025 Mar;39(1):102019. doi: 10.1016/j.berh.2024.102019. Epub 2024 Nov 3.
5
Factors affecting the duration of initial medical care seeking among older rural patients diagnosed with rheumatoid arthritis: a retrospective cohort study.影响农村老年类风湿关节炎患者首次就医时间的因素:一项回顾性队列研究。
BMC Rheumatol. 2024 Jun 6;8(1):23. doi: 10.1186/s41927-024-00392-9.
6
Integrating Clinical and Socio-Environmental Approaches in Managing Rheumatoid Arthritis With Social Determinants of Health: A Case Study of an Elderly Patient in Rural Japan.将临床与社会环境方法相结合以应对类风湿关节炎与健康的社会决定因素:以日本农村一名老年患者为例
Cureus. 2023 Dec 21;15(12):e50915. doi: 10.7759/cureus.50915. eCollection 2023 Dec.
7
Elderly-Onset Rheumatoid Arthritis: Characteristics and Treatment Options.老年发病型类风湿关节炎:特点与治疗选择。
Medicina (Kaunas). 2023 Oct 23;59(10):1878. doi: 10.3390/medicina59101878.
8
Differentiating between Seronegative Elderly-Onset Rheumatoid Arthritis and Polymyalgia Rheumatica: A Qualitative Synthesis of Narrative Reviews.老年发病型类风湿关节炎与巨细胞动脉炎的鉴别诊断:叙事性综述的定性综合。
Int J Environ Res Public Health. 2023 Jan 18;20(3):1789. doi: 10.3390/ijerph20031789.
9
Defining the Optimal Strategies for Achieving Drug-Free Remission in Rheumatoid Arthritis: A Narrative Review.确定类风湿关节炎实现无药缓解的最佳策略:一项叙述性综述
Healthcare (Basel). 2021 Dec 13;9(12):1726. doi: 10.3390/healthcare9121726.
10
Management of Rheumatoid Arthritis: An Overview.类风湿关节炎的治疗:概述。
Cells. 2021 Oct 23;10(11):2857. doi: 10.3390/cells10112857.