• 文献检索
  • 文档翻译
  • 深度研究
  • 学术资讯
  • Suppr Zotero 插件Zotero 插件
  • 邀请有礼
  • 套餐&价格
  • 历史记录
应用&插件
Suppr Zotero 插件Zotero 插件浏览器插件Mac 客户端Windows 客户端微信小程序
定价
高级版会员购买积分包购买API积分包
服务
文献检索文档翻译深度研究API 文档MCP 服务
关于我们
关于 Suppr公司介绍联系我们用户协议隐私条款
关注我们

Suppr 超能文献

核心技术专利:CN118964589B侵权必究
粤ICP备2023148730 号-1Suppr @ 2026

文献检索

告别复杂PubMed语法,用中文像聊天一样搜索,搜遍4000万医学文献。AI智能推荐,让科研检索更轻松。

立即免费搜索

文件翻译

保留排版,准确专业,支持PDF/Word/PPT等文件格式,支持 12+语言互译。

免费翻译文档

深度研究

AI帮你快速写综述,25分钟生成高质量综述,智能提取关键信息,辅助科研写作。

立即免费体验

miR-301b-3p通过PIK3CB调控嗜酸性粒细胞性慢性鼻-鼻窦炎中PI3K-AKT信号通路的作用及治疗潜力

Role and Therapeutic Potential of miR-301b-3p in Regulating the PI3K-AKT Pathway via PIK3CB in Eosinophilic Chronic Rhinosinusitis.

作者信息

Shu Fu, Wang Yaping, Jiang Yiheng, Li Linglong, Mu Zengyi, Shi Lei, Gong Xiaobao, Zhang Baoshun, Zhang Feng, Mao Dehong

机构信息

College of Traditional Chinese Medicine, Chongqing Medical University, Chongqing, 400000, People's Republic of China.

College of Pharmaceutical Sciences, Southwest University, Chongqing, 400000, People's Republic of China.

出版信息

J Inflamm Res. 2025 Jul 30;18:10235-10251. doi: 10.2147/JIR.S521536. eCollection 2025.

DOI:10.2147/JIR.S521536
PMID:40756418
原文链接:https://pmc.ncbi.nlm.nih.gov/articles/PMC12318531/
Abstract

PURPOSE

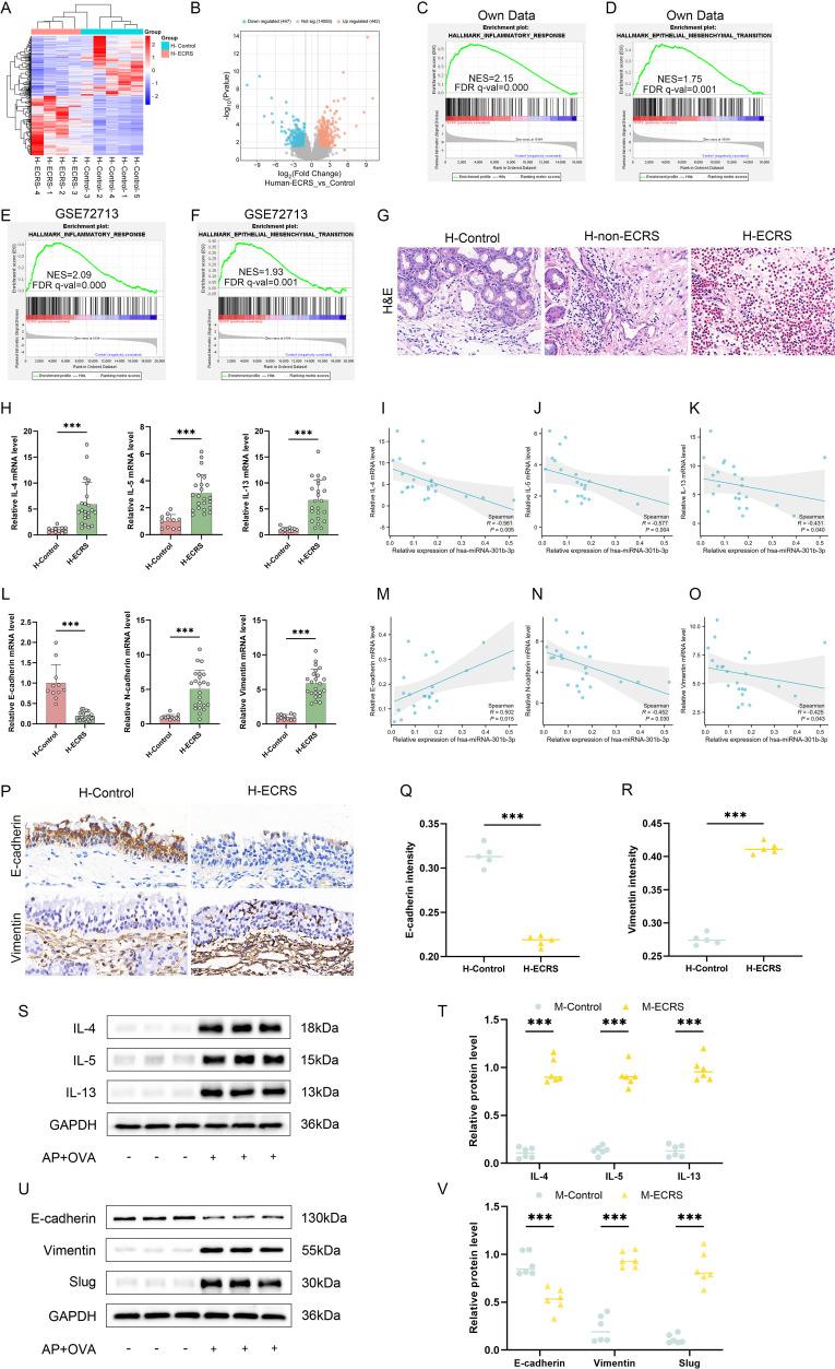
Type 2 inflammation and epithelial-mesenchymal transition (EMT) are critical components in the pathogenesis of eosinophilic chronic rhinosinusitis (ECRS), yet their upstream regulatory mechanisms remain poorly understood. This study aimed to explore the regulatory role of miR-301b-3p in these mechanisms and evaluate its therapeutic potential.

METHODS

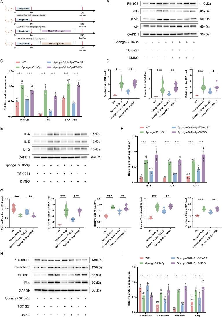
High-throughput miRNA sequencing of human and mouse nasal mucosa tissues identified miR-301b-3p as a key candidate molecule. Mendelian randomization (MR) analysis confirmed its causal relationship with chronic rhinosinusitis (CRS). The role of miR-301b-3p and its target gene PIK3CB in ECRS was further investigated using bioinformatics analysis, dual-luciferase reporter assays, adeno-associated virus (AAV)-mediated modulation of miR-301b-3p expression, histological staining, and a range of molecular biology techniques to elucidate the underlying mechanisms. The role of PIK3CB was assessed using the PIK3CB inhibitor TGX-221.

RESULTS

hsa-miR-301b-3p was significantly downregulated in ECRS patient nasal mucosa (log2FC = -1.636, P = 0.010), and its expression level negatively correlated with disease severity; simultaneously, mmu-miR-301b-3p was significantly downregulated in the ECRS mouse model (log2FC = -2.256, P = 0.041). MR analysis demonstrated a causal relationship between reduced miR-301b levels and increased CRS risk (OR = 0.956; 95% CI, 0.918-0.996; P = 0.033). In vivo experiments revealed that miR-301b-3p knockdown led to PIK3CB upregulation and activation of the PI3K-AKT pathway, triggering type 2 inflammation and EMT. Conversely, overexpression of miR-301b-3p suppressed PIK3CB expression and mitigated these pathological changes. Notably, the PIK3CB inhibitor TGX-221 reversed PI3K-AKT hyperactivation induced by miR-301b-3p knockdown, alleviating type 2 inflammation and EMT.

CONCLUSION

miR-301b-3p regulates type 2 inflammation and EMT in ECRS by targeting PIK3CB and modulating the PI3K-AKT pathway, suggesting both miR-301b-3p and PIK3CB as promising therapeutic targets. Given the limited sample size of this study, we plan to expand our cohort and implement a longitudinal follow-up design to monitor dynamic changes in miR-301b-3p expression and their relationship to disease progression.

摘要

目的

2型炎症和上皮-间质转化(EMT)是嗜酸性粒细胞性慢性鼻-鼻窦炎(ECRS)发病机制的关键组成部分,但其上游调控机制仍知之甚少。本研究旨在探讨miR-301b-3p在这些机制中的调控作用,并评估其治疗潜力。

方法

对人和小鼠鼻黏膜组织进行高通量miRNA测序,确定miR-301b-3p为关键候选分子。孟德尔随机化(MR)分析证实了其与慢性鼻-鼻窦炎(CRS)的因果关系。使用生物信息学分析、双荧光素酶报告基因检测、腺相关病毒(AAV)介导的miR-301b-3p表达调控、组织学染色以及一系列分子生物学技术,进一步研究miR-301b-3p及其靶基因PIK3CB在ECRS中的作用,以阐明潜在机制。使用PIK3CB抑制剂TGX-221评估PIK3CB的作用。

结果

hsa-miR-301b-3p在ECRS患者鼻黏膜中显著下调(log2FC = -1.636,P = 0.010),其表达水平与疾病严重程度呈负相关;同时,mmu-miR-301b-3p在ECRS小鼠模型中显著下调(log2FC = -2.256,P = 0.041)。MR分析表明miR-301b水平降低与CRS风险增加之间存在因果关系(OR = 0.956;95% CI,0.918 - 0.996;P = 0.033)。体内实验表明,miR-301b-3p敲低导致PIK3CB上调和PI3K-AKT通路激活,引发2型炎症和EMT。相反,miR-301b-3p过表达抑制PIK3CB表达并减轻这些病理变化。值得注意的是,PIK3CB抑制剂TGX-221逆转了miR-301b-3p敲低诱导的PI3K-AKT过度激活,减轻了2型炎症和EMT。

结论

miR-301b-3p通过靶向PIK3CB并调节PI3K-AKT通路来调控ECRS中的2型炎症和EMT,提示miR-301b-3p和PIK3CB均为有前景的治疗靶点。鉴于本研究样本量有限,我们计划扩大队列并实施纵向随访设计,以监测miR-301b-3p表达的动态变化及其与疾病进展的关系。

https://cdn.ncbi.nlm.nih.gov/pmc/blobs/dc48/12318531/bffb58ace046/JIR-18-10235-g0006.jpg
https://cdn.ncbi.nlm.nih.gov/pmc/blobs/dc48/12318531/d52966631a2b/JIR-18-10235-g0001.jpg
https://cdn.ncbi.nlm.nih.gov/pmc/blobs/dc48/12318531/4a3cfd7bbb6a/JIR-18-10235-g0002.jpg
https://cdn.ncbi.nlm.nih.gov/pmc/blobs/dc48/12318531/7e4388545030/JIR-18-10235-g0003.jpg
https://cdn.ncbi.nlm.nih.gov/pmc/blobs/dc48/12318531/4a37c8485538/JIR-18-10235-g0004.jpg
https://cdn.ncbi.nlm.nih.gov/pmc/blobs/dc48/12318531/37d70ae1d385/JIR-18-10235-g0005.jpg
https://cdn.ncbi.nlm.nih.gov/pmc/blobs/dc48/12318531/bffb58ace046/JIR-18-10235-g0006.jpg
https://cdn.ncbi.nlm.nih.gov/pmc/blobs/dc48/12318531/d52966631a2b/JIR-18-10235-g0001.jpg
https://cdn.ncbi.nlm.nih.gov/pmc/blobs/dc48/12318531/4a3cfd7bbb6a/JIR-18-10235-g0002.jpg
https://cdn.ncbi.nlm.nih.gov/pmc/blobs/dc48/12318531/7e4388545030/JIR-18-10235-g0003.jpg
https://cdn.ncbi.nlm.nih.gov/pmc/blobs/dc48/12318531/4a37c8485538/JIR-18-10235-g0004.jpg
https://cdn.ncbi.nlm.nih.gov/pmc/blobs/dc48/12318531/37d70ae1d385/JIR-18-10235-g0005.jpg
https://cdn.ncbi.nlm.nih.gov/pmc/blobs/dc48/12318531/bffb58ace046/JIR-18-10235-g0006.jpg

相似文献

1
Role and Therapeutic Potential of miR-301b-3p in Regulating the PI3K-AKT Pathway via PIK3CB in Eosinophilic Chronic Rhinosinusitis.miR-301b-3p通过PIK3CB调控嗜酸性粒细胞性慢性鼻-鼻窦炎中PI3K-AKT信号通路的作用及治疗潜力
J Inflamm Res. 2025 Jul 30;18:10235-10251. doi: 10.2147/JIR.S521536. eCollection 2025.
2
LncRNA NEAT1 promotes epithelial-mesenchymal transition in nasal polyp cells via the miR-199-3p/PAK4 axis.长链非编码RNA NEAT1通过miR-199-3p/PAK4轴促进鼻息肉细胞的上皮-间质转化。
Front Immunol. 2025 Jun 30;16:1613179. doi: 10.3389/fimmu.2025.1613179. eCollection 2025.
3
Shenling Tongqiao powder targets TGF-β1/Smad-Wnt/β-catenin axis to suppress epithelial-mesenchymal transition in chronic rhinosinusitis.参苓通窍散靶向转化生长因子-β1/ Smad- Wnt/β-连环蛋白轴以抑制慢性鼻窦炎中的上皮-间质转化。
Phytomedicine. 2025 Sep;145:157065. doi: 10.1016/j.phymed.2025.157065. Epub 2025 Jul 11.
4
Mechanism underlying the role of the circRNA OMA1/miR-654-3p/RAF1 axis in children with inflammatory bowel disease.环状RNA OMA1/miR-654-3p/RAF1轴在儿童炎症性肠病中作用的潜在机制。
Cytotechnology. 2025 Apr;77(2):42. doi: 10.1007/s10616-025-00703-z. Epub 2025 Jan 25.
5
MicroRNA-361-3p Regulates Autophagy and Apoptotic Processes by Regulating PI3K/Akt Signaling in Parkinson's Disease.微小RNA-361-3p通过调控帕金森病中的PI3K/Akt信号通路来调节自噬和凋亡过程。
Neurochem Res. 2025 Jun 30;50(4):221. doi: 10.1007/s11064-025-04435-6.
6
Pharmacological effects and mechanism of Maxing Shigan Decoction in the treatment of influenza A viral pneumonia.麻杏石甘汤治疗甲型流感病毒性肺炎的药理作用及机制
J Ethnopharmacol. 2025 Jul 12:120275. doi: 10.1016/j.jep.2025.120275.
7
Hsa_circ_0002238 promotes the malignant behavior of colorectal cancer.人源环状RNA hsa_circ_0002238促进结直肠癌的恶性行为。
Front Pharmacol. 2025 Jun 13;16:1541820. doi: 10.3389/fphar.2025.1541820. eCollection 2025.
8
Dual functions of the ΔNp63-miR-141-3p-YAP1 regulatory axis in cervical cancer progression are dependent on histological subtype.ΔNp63-miR-141-3p-YAP1调控轴在宫颈癌进展中的双重功能取决于组织学亚型。
Sci Rep. 2025 Jul 2;15(1):23155. doi: 10.1038/s41598-025-07237-6.
9
LncRNA H19 acts as a ceRNA to promote glioblastoma malignancy by sponging miR-19b-3p and upregulating SERPINE1.长链非编码RNA H19作为一种竞争性内源RNA,通过吸附miR-19b-3p并上调丝氨酸蛋白酶抑制剂E1(SERPINE1)来促进胶质母细胞瘤的恶性进展。
Cancer Cell Int. 2025 Jun 19;25(1):217. doi: 10.1186/s12935-025-03868-x.
10
miR-144-3p targeting FLRT3 in osteogenic differentiation of mandibular bone marrow mesenchymal stem cells.miR-144-3p靶向FLRT3在下颌骨骨髓间充质干细胞成骨分化中的作用
Hum Genomics. 2025 Jul 13;19(1):79. doi: 10.1186/s40246-025-00788-9.

本文引用的文献

1
Hypoxia-inducible factor 2α promotes pathogenic polarization of stem-like Th2 cells via modulation of phospholipid metabolism.缺氧诱导因子2α通过调节磷脂代谢促进类干细胞样Th2细胞的致病性极化。
Immunity. 2024 Dec 10;57(12):2808-2826.e8. doi: 10.1016/j.immuni.2024.11.001. Epub 2024 Nov 27.
2
Activation of the PGE-EP2 pathway as a potential drug target for treating eosinophilic rhinosinusitis.激活PGE-EP2途径作为治疗嗜酸性粒细胞性鼻-鼻窦炎的潜在药物靶点。
Front Immunol. 2024 Jul 1;15:1409458. doi: 10.3389/fimmu.2024.1409458. eCollection 2024.
3
Systematic genome-wide Mendelian randomization reveals the causal links between miRNAs and Parkinson's disease.
全基因组范围内的系统孟德尔随机化研究揭示了微小RNA与帕金森病之间的因果关系。
Front Neurosci. 2024 May 3;18:1385675. doi: 10.3389/fnins.2024.1385675. eCollection 2024.
4
Diosmetin ameliorates psoriasis-associated inflammation and keratinocyte hyperproliferation by modulation of PGC-1α / YAP signaling pathway.地奥司明通过调节 PGC-1α / YAP 信号通路改善银屑病相关炎症和角质形成细胞过度增殖。
Int Immunopharmacol. 2024 Jun 15;134:112248. doi: 10.1016/j.intimp.2024.112248. Epub 2024 May 14.
5
miR-21-5p Modulates Airway Inflammation and Epithelial-Mesenchymal Transition Processes in a Mouse Model of Combined Allergic Rhinitis and Asthma Syndrome.miR-21-5p 调控变应性鼻炎哮喘综合征小鼠模型气道炎症及上皮-间质转化过程。
Int Arch Allergy Immunol. 2024;185(8):775-785. doi: 10.1159/000538252. Epub 2024 Apr 8.
6
Functional 2D Nanoplatforms Alleviate Eosinophilic Chronic Rhinosinusitis by Modulating Eosinophil Extracellular Trap Formation.功能二维纳米平台通过调节嗜酸性粒细胞细胞外陷阱的形成来缓解嗜酸性慢性鼻-鼻窦炎。
Adv Sci (Weinh). 2024 May;11(19):e2307800. doi: 10.1002/advs.202307800. Epub 2024 Mar 13.
7
Optimal delivery of RNA interference by viral vectors for cancer therapy.病毒载体介导的 RNA 干扰在癌症治疗中的最佳传递。
Mol Ther. 2023 Nov 1;31(11):3127-3145. doi: 10.1016/j.ymthe.2023.09.012. Epub 2023 Sep 20.
8
Exosome miR-223-3p in the bone marrow-derived mesenchymal stem cells alleviates the inflammation and airway remodeling through NLRP3-induced ASC/Caspase-1/GSDMD signaling pathway.骨髓间充质干细胞来源的外泌体 miR-223-3p 通过 NLRP3 诱导的 ASC/Caspase-1/GSDMD 信号通路缓解炎症和气道重塑。
Int Immunopharmacol. 2023 Oct;123:110746. doi: 10.1016/j.intimp.2023.110746. Epub 2023 Aug 5.
9
MicroRNA-335-5p suppresses voltage-gated sodium channel expression and may be a target for seizure control.微小 RNA-335-5p 抑制电压门控钠离子通道表达,可能是控制癫痫发作的靶点。
Proc Natl Acad Sci U S A. 2023 Jul 25;120(30):e2216658120. doi: 10.1073/pnas.2216658120. Epub 2023 Jul 18.
10
miR-200a-3p regulates epithelial-mesenchymal transition and inflammation in chronic rhinosinusitis with nasal polyps by targeting ZEB1 via ERK/p38 pathway.miR-200a-3p 通过 ERK/p38 通路靶向 ZEB1 调节慢性鼻息肉鼻窦炎中的上皮-间充质转化和炎症。
Int Forum Allergy Rhinol. 2024 Jan;14(1):41-56. doi: 10.1002/alr.23215. Epub 2023 Jul 20.