• 文献检索
  • 文档翻译
  • 深度研究
  • 学术资讯
  • Suppr Zotero 插件Zotero 插件
  • 邀请有礼
  • 套餐&价格
  • 历史记录
应用&插件
Suppr Zotero 插件Zotero 插件浏览器插件Mac 客户端Windows 客户端微信小程序
定价
高级版会员购买积分包购买API积分包
服务
文献检索文档翻译深度研究API 文档MCP 服务
关于我们
关于 Suppr公司介绍联系我们用户协议隐私条款
关注我们

Suppr 超能文献

核心技术专利:CN118964589B侵权必究
粤ICP备2023148730 号-1Suppr @ 2026

文献检索

告别复杂PubMed语法,用中文像聊天一样搜索,搜遍4000万医学文献。AI智能推荐,让科研检索更轻松。

立即免费搜索

文件翻译

保留排版,准确专业,支持PDF/Word/PPT等文件格式,支持 12+语言互译。

免费翻译文档

深度研究

AI帮你快速写综述,25分钟生成高质量综述,智能提取关键信息,辅助科研写作。

立即免费体验

霍奇金淋巴瘤幸存者患继发性乳腺癌,化疗引发血栓性微血管病的罕见并发症:一例报告

A rare complication of thrombotic microangiopathy induced by chemotherapy for second breast cancer in a Hodgkin lymphoma survivor: a case report.

作者信息

Wang Song, Liu Huan, Wei Wei, Zhang Yu-Lu, Huang Lei

机构信息

Department of Heart Center, the Third Central Hospital of Tianjin, Tianjin, China.

Tianjin Key Laboratory of Extracorporeal Life Support for Critical Diseases, Tianjin, China.

出版信息

AME Case Rep. 2025 Jul 15;9:94. doi: 10.21037/acr-24-247. eCollection 2025.

DOI:10.21037/acr-24-247
PMID:40761194
原文链接:https://pmc.ncbi.nlm.nih.gov/articles/PMC12319590/
Abstract

BACKGROUND

Thrombotic microangiopathy (TMA) is a rare, life-threatening syndrome characterized by microvascular thrombosis, hemolytic anemia, thrombocytopenia, and organ dysfunction. While it can be induced by infections, drugs, malignancies, autoimmune disorders, or genetic defects, TMA is particularly uncommon in second breast cancer (SBC) patients with a history of Hodgkin lymphoma (HL).

CASE DESCRIPTION

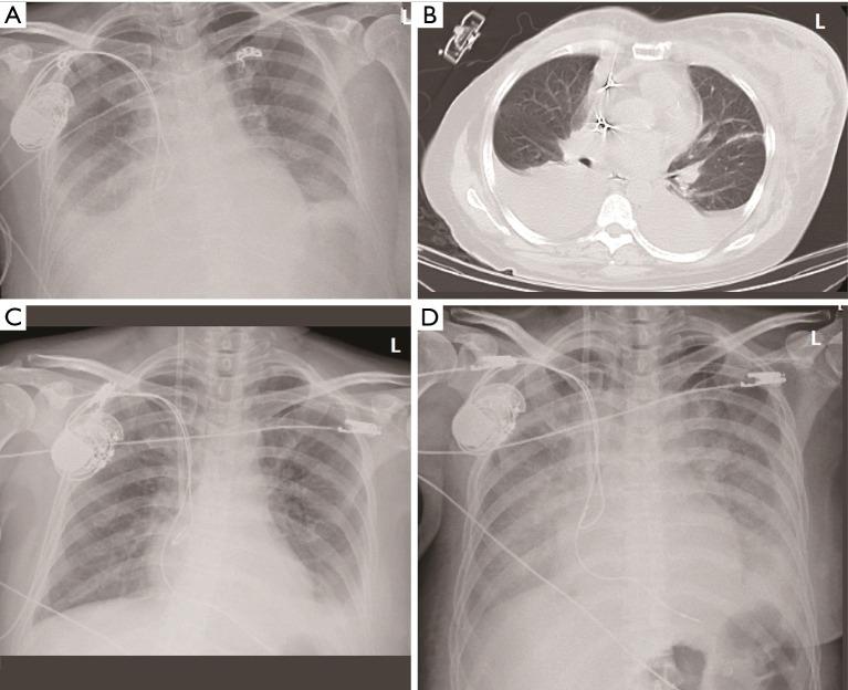
We describe a 45-year-old female who developed metastatic SBC 18 years after curative HL treatment. The diagnosis of TMA was established on the basis of thrombocytopenia, hemolytic anemia (elevated lactate dehydrogenase, low haptoglobin, and a reticulocyte count of 5.72%), and multi-organ dysfunction, following the exclusion of thrombotic thrombocytopenic purpura and Shiga toxin-producing (STEC)-hemolytic uremic syndrome. In this case, the multifactorial etiology-stemming from both paraneoplastic endothelial injury and chemotherapy-induced toxicity-complicated the clinical picture. Despite aggressive supportive measures, including plasma exchange and antibiotics, the patient's condition rapidly deteriorated, culminating in fatal cerebral hemorrhage.

CONCLUSIONS

This case highlights the diagnostic and therapeutic challenges of TMA in patients with complex oncologic histories, as exemplified by its rare occurrence in a patient with SBC post-HL. Although supportive care remains paramount, our findings suggest that complement inhibition with eculizumab may offer benefits in select cases, such as chemotherapy-induced and paraneoplastic TMA. Early detection and targeted intervention are crucial, warranting further research into eculizumab's potential role in high-risk settings.

摘要

背景

血栓性微血管病(TMA)是一种罕见的、危及生命的综合征,其特征为微血管血栓形成、溶血性贫血、血小板减少和器官功能障碍。虽然它可由感染、药物、恶性肿瘤、自身免疫性疾病或遗传缺陷诱发,但TMA在有霍奇金淋巴瘤(HL)病史的继发性乳腺癌(SBC)患者中尤为罕见。

病例描述

我们描述了一名45岁女性,在接受HL根治性治疗18年后发生转移性SBC。在排除血栓性血小板减少性紫癜和产志贺毒素(STEC)溶血性尿毒症综合征后,根据血小板减少、溶血性贫血(乳酸脱氢酶升高、触珠蛋白降低以及网织红细胞计数为5.72%)和多器官功能障碍确诊为TMA。在该病例中,源于副肿瘤性内皮损伤和化疗诱导毒性的多因素病因使临床情况复杂化。尽管采取了积极的支持措施,包括血浆置换和使用抗生素,但患者病情迅速恶化,最终死于脑出血。

结论

本病例突出了TMA在有复杂肿瘤病史患者中的诊断和治疗挑战,例如在HL后发生SBC的患者中罕见发生。尽管支持治疗仍然至关重要,但我们的研究结果表明,在某些情况下,如化疗诱导和副肿瘤性TMA,使用依库珠单抗抑制补体可能有益。早期检测和靶向干预至关重要,有必要进一步研究依库珠单抗在高危情况下的潜在作用。

https://cdn.ncbi.nlm.nih.gov/pmc/blobs/a440/12319590/08e67ba9600e/acr-09-24-247-f1.jpg
https://cdn.ncbi.nlm.nih.gov/pmc/blobs/a440/12319590/08e67ba9600e/acr-09-24-247-f1.jpg
https://cdn.ncbi.nlm.nih.gov/pmc/blobs/a440/12319590/08e67ba9600e/acr-09-24-247-f1.jpg

相似文献

1
A rare complication of thrombotic microangiopathy induced by chemotherapy for second breast cancer in a Hodgkin lymphoma survivor: a case report.霍奇金淋巴瘤幸存者患继发性乳腺癌,化疗引发血栓性微血管病的罕见并发症:一例报告
AME Case Rep. 2025 Jul 15;9:94. doi: 10.21037/acr-24-247. eCollection 2025.
2
Genetic Atypical Hemolytic-Uremic Syndrome遗传性非典型溶血性尿毒症综合征
3
Adult Hemolytic Uremic Syndrome as a Diagnostic Challenge.成人溶血性尿毒症综合征:一项诊断挑战
Cureus. 2025 Jul 7;17(7):e87406. doi: 10.7759/cureus.87406. eCollection 2025 Jul.
4
Microangiopathic Hemolytic Anemia and Thrombocytopenia in Patients With Cancer.癌症患者的微血管病性溶血性贫血和血小板减少症
J Oncol Pract. 2016 Jun;12(6):523-30. doi: 10.1200/JOP.2016.012096.
5
Systemic Inflammatory Response Syndrome全身炎症反应综合征
6
Complement Inhibitors in the Management of Complement-Mediated Hemolytic Uremic Syndrome and Paroxysmal Nocturnal Hemoglobinuria.补体抑制剂在补体介导的溶血性尿毒症综合征和阵发性夜间血红蛋白尿治疗中的应用
Am J Ther. 2023 May 1;30(3):e209-e219. doi: 10.1097/MJT.0000000000001609.
7
Transplant-Associated Thrombotic Microangiopathy After Autologous Hematopoietic Stem Cell Transplantation Treated With Eculizumab.用依库珠单抗治疗自体造血干细胞移植后与移植相关的血栓性微血管病
Cureus. 2025 Jul 25;17(7):e88785. doi: 10.7759/cureus.88785. eCollection 2025 Jul.
8
Post-transplant Thrombotic Microangiopathy.移植后血栓性微血管病
J Am Soc Nephrol. 2025 May 1;36(5):940-951. doi: 10.1681/ASN.0000000645. Epub 2025 Jan 31.
9
Systemic treatments for metastatic cutaneous melanoma.转移性皮肤黑色素瘤的全身治疗
Cochrane Database Syst Rev. 2018 Feb 6;2(2):CD011123. doi: 10.1002/14651858.CD011123.pub2.
10
Positron emission tomography-adapted therapy for first-line treatment in individuals with Hodgkin lymphoma.正电子发射断层扫描适配疗法用于霍奇金淋巴瘤患者的一线治疗
Cochrane Database Syst Rev. 2015 Jan 9;1(1):CD010533. doi: 10.1002/14651858.CD010533.pub2.

本文引用的文献

1
THROMBOTIC MICROANGIOPATHY: DIAGNOSTIC CHALLENGES IN THE PRIMARY MULTIPLE NEOPLASM INVOLVEMENT WITH PREVALENT METASTASIS WITH GRANULOMATOSIS INFLAMMATORY FOCUSES.血栓性微血管病:原发性多发性肿瘤合并普遍转移与肉芽肿性炎症病灶中的诊断挑战。
Wiad Lek. 2023;76(9):2121-2126. doi: 10.36740/WLek202309131.
2
Clinical Evaluation and Management of Thrombotic Microangiopathy.血栓性微血管病的临床评估与管理。
Arthritis Rheumatol. 2024 Feb;76(2):153-165. doi: 10.1002/art.42681. Epub 2023 Nov 30.
3
Thrombotic microangiopathy (TMA) in adult patients with solid tumors: a challenging complication in the era of emerging anticancer therapies.
成人实体瘤患者的血栓性微血管病:新兴抗癌治疗时代的棘手并发症。
Support Care Cancer. 2022 Oct;30(10):8599-8609. doi: 10.1007/s00520-022-06935-5. Epub 2022 May 12.
4
Eculizumab precision-dosing algorithm for thrombotic microangiopathy in children and young adults undergoing HSCT.儿童和青年 HSCT 后血栓性微血管病的依库珠单抗精准剂量算法。
Blood Adv. 2022 Mar 8;6(5):1454-1463. doi: 10.1182/bloodadvances.2021006523.
5
Clinicopathologic features of breast cancers diagnosed in women treated with prior radiation therapy for Hodgkin lymphoma: Results from a population-based cohort.接受过霍奇金淋巴瘤放疗的女性所患乳腺癌的临床病理特征:一项基于人群队列的研究结果
Cancer. 2022 Apr 1;128(7):1365-1372. doi: 10.1002/cncr.34065. Epub 2021 Dec 17.
6
Eculizumab in gemcitabine-induced thrombotic microangiopathy: experience of the French thrombotic microangiopathies reference centre.依库珠单抗治疗吉西他滨诱导的血栓性微血管病:法国血栓性微血管病参考中心的经验。
BMC Nephrol. 2021 Jul 21;22(1):267. doi: 10.1186/s12882-021-02470-3.
7
Making the Correct Diagnosis in Thrombotic Microangiopathy: A Narrative Review.血栓性微血管病的正确诊断:一篇叙述性综述
Can J Kidney Health Dis. 2021 Apr 22;8:20543581211008707. doi: 10.1177/20543581211008707. eCollection 2021.
8
Bevacizumab-associated thrombotic microangiopathy treated with eculizumab: A case series and systematic review of the literature.贝伐珠单抗相关血栓性微血管病用依库珠单抗治疗:病例系列和文献系统评价。
Clin Nephrol. 2021 Jul;96(1):51-59. doi: 10.5414/CN110443.
9
Current overview and special considerations for second breast cancer in Hodgkin lymphoma survivors.霍奇金淋巴瘤幸存者中第二乳腺癌的现状概述和特殊考虑因素。
Crit Rev Oncol Hematol. 2021 Jan;157:103175. doi: 10.1016/j.critrevonc.2020.103175. Epub 2020 Nov 17.
10
An Update in Drug-Induced Thrombotic Microangiopathy.药物性血栓性微血管病的最新进展
Front Med (Lausanne). 2020 May 22;7:212. doi: 10.3389/fmed.2020.00212. eCollection 2020.