Suppr超能文献

病因不明的髋内翻:一例独特病例报告

Coxa Vara of Unknown Etiology: A Unique Case Report.

作者信息

Velavan M Vignesh, Harshavardhan J K Giriraj

机构信息

Department of Orthopaedic Surgery, Sri Ramachandra Institute of Higher Education and Research, Chennai, Tamil Nadu, India.

出版信息

J Orthop Case Rep. 2025 Aug;15(8):201-206. doi: 10.13107/jocr.2025.v15.i08.5940.

Abstract

INTRODUCTION

Coxa vara is a rare pediatric hip disorder characterized by a reduced femoral neck shaft angle (NSA) (<120°), resulting in limb length discrepancy, gait abnormalities, and hip dysfunction. While developmental coxa vara has characteristic radiological features, atypical presentations with unknown etiologies are infrequently reported.

CASE REPORT

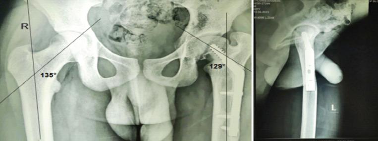
A 7-year-old boy with left hip pain presented without any history of trauma or systemic illness. Radiographs and computed tomography imaging revealed coxa vara with a transcervical femoral neck fracture with a mixed predominantly sclerotic lesion in the femoral neck. A closed-wedge valgus osteotomy was performed with internal fixation using a locking plate and screws placed proximal to the physis. Intraoperative biopsy ruled out tumor or infection. Although initial outcomes were favorable, recurrence of coxa vara and femoral neck fracture occurred after 1 year and 9 months. Revision surgery involved medial open-wedge osteotomy with bone grafting and fixation using a pediatric dynamic hip screw, with the lag screw crossing the physis for stability. At the 8th-year follow-up, the patient was pain-free, with minimal limb shortening and good functional mobility. X-rays showed solid radiographic union, disappearance of the previously noted sclerotic lesion in the left femoral neck, and maintenance of the NSA.

DISCUSSION

This case involves coxa vara with atypical radiographic features, complicating its classification as developmental or acquired. Initial fixation that preserved the physis resulted in recurrence. Subsequent fixation crossing the physis, along with correction of the Hilgenreiner epiphyseal (HE) angle, effectively prevented recurrence. At 8-year follow-up, the patient demonstrated a good clinical and radiological outcome.

CONCLUSION

The HE angle is a critical prognostic factor in predicting the recurrence of coxa vara. Surgical stability should take precedence over physeal preservation.

摘要

引言

髋内翻是一种罕见的儿童髋关节疾病,其特征为股骨颈干角(NSA)减小(<120°),导致肢体长度不等、步态异常和髋关节功能障碍。虽然发育性髋内翻具有典型的放射学特征,但病因不明的非典型表现却鲜有报道。

病例报告

一名7岁男孩因左髋疼痛就诊,无任何外伤或全身疾病史。X线片和计算机断层扫描成像显示髋内翻合并经颈股骨颈骨折,股骨颈有一个以硬化为主的混合性病变。采用闭合楔形外翻截骨术,使用锁定钢板和螺钉在骨骺近端进行内固定。术中活检排除肿瘤或感染。尽管初始结果良好,但1年9个月后髋内翻和股骨颈骨折复发。翻修手术采用内侧开放楔形截骨术并植骨,并使用儿童动力髋螺钉固定,拉力螺钉穿过骨骺以确保稳定。在第8年随访时,患者无疼痛,肢体缩短最小,功能活动良好。X线片显示骨折牢固愈合,左侧股骨颈先前 noted的硬化病变消失,NSA维持正常。

讨论

本病例涉及具有非典型放射学特征的髋内翻,使其难以分类为发育性或后天性。最初保留骨骺的固定导致复发。随后穿过骨骺的固定,以及对希尔根赖纳骨骺(HE)角的矫正,有效防止了复发。在8年随访时,患者显示出良好的临床和放射学结果。

结论

HE角是预测髋内翻复发的关键预后因素。手术稳定性应优先于骨骺保留。

https://cdn.ncbi.nlm.nih.gov/pmc/blobs/7f3b/12328956/0123e4f227e9/JOCR-15-201-g001.jpg

相似文献

1
Coxa Vara of Unknown Etiology: A Unique Case Report.
J Orthop Case Rep. 2025 Aug;15(8):201-206. doi: 10.13107/jocr.2025.v15.i08.5940.
2
Functional and Radiological Outcomes of Surgically Treated Coxa-vara in Children.
J Pediatr Orthop. 2024 Sep 1;44(8):e680-e685. doi: 10.1097/BPO.0000000000002721. Epub 2024 May 7.
3
Does Flexion Varus Osteotomy Improve Radiographic Findings Compared With Patients Treated in a Brace for Late-onset Legg-Calvé-Perthes Disease?
Clin Orthop Relat Res. 2023 Apr 1;481(4):808-819. doi: 10.1097/CORR.0000000000002450. Epub 2022 Nov 6.
4
Proximal femoral valgus osteotomy for the treatment of developmental coxa vara: a systematic review of the literature.
J Orthop. 2024 Mar 2;53:87-93. doi: 10.1016/j.jor.2024.03.001. eCollection 2024 Jul.
5
Treatment of Delbet II/III Pediatric Femoral Neck Fractures With Proximal Femoral Locking Plate Versus Cannulated Screws.
J Pediatr Orthop. 2024 Apr 1;44(4):213-220. doi: 10.1097/BPO.0000000000002625. Epub 2024 Jan 25.
6
7
What Are the Functional, Radiographic, and Survivorship Outcomes of a Modified Cup-cage Technique for Pelvic Discontinuity?
Clin Orthop Relat Res. 2024 Dec 1;482(12):2149-2160. doi: 10.1097/CORR.0000000000003186. Epub 2024 Jul 9.

本文引用的文献

1
Osteofibrous dysplasia: a narrative review.
J Orthop Surg Res. 2024 Mar 27;19(1):204. doi: 10.1186/s13018-024-04682-3.
2
Proximal femoral valgus osteotomy for the treatment of developmental coxa vara: a systematic review of the literature.
J Orthop. 2024 Mar 2;53:87-93. doi: 10.1016/j.jor.2024.03.001. eCollection 2024 Jul.
4
Current controversies in management of fracture neck femur in children: A review.
J Clin Orthop Trauma. 2020 Oct;11(Suppl 5):S799-S806. doi: 10.1016/j.jcot.2020.05.029. Epub 2020 May 30.
5
Analyzing risk factors for recurrence of developmental coxa vara after surgery.
J Child Orthop. 2019 Aug 1;13(4):361-370. doi: 10.1302/1863-2548.13.180201.
6
Surgical correction of coxa vara: Evaluation of neck shaft angle, Hilgenreiner-epiphyseal angle for indication of recurrence.
J Clin Orthop Trauma. 2019 May-Jun;10(3):593-598. doi: 10.1016/j.jcot.2018.06.009. Epub 2018 Jun 28.
7
Management of Pediatric Femoral Neck Fracture.
J Am Acad Orthop Surg. 2018 Jun 15;26(12):411-419. doi: 10.5435/JAAOS-D-16-00362.
8
Imaging in osteofibrous dysplasia, osteofibrous dysplasia-like adamantinoma, and classic adamantinoma.
Clin Radiol. 2014 Feb;69(2):200-8. doi: 10.1016/j.crad.2013.09.011. Epub 2013 Nov 5.
9
Acetabular changes in coxa vara.
Clin Orthop Relat Res. 2008 Jul;466(7):1688-91. doi: 10.1007/s11999-008-0223-6. Epub 2008 May 9.
10
Coxa vara in children.
Clin Orthop. 1962;22:73-92.

文献AI研究员

20分钟写一篇综述,助力文献阅读效率提升50倍。

立即体验

用中文搜PubMed

大模型驱动的PubMed中文搜索引擎

马上搜索

文档翻译

学术文献翻译模型,支持多种主流文档格式。

立即体验