• 文献检索
  • 文档翻译
  • 深度研究
  • 学术资讯
  • Suppr Zotero 插件Zotero 插件
  • 邀请有礼
  • 套餐&价格
  • 历史记录
应用&插件
Suppr Zotero 插件Zotero 插件浏览器插件Mac 客户端Windows 客户端微信小程序
定价
高级版会员购买积分包购买API积分包
服务
文献检索文档翻译深度研究API 文档MCP 服务
关于我们
关于 Suppr公司介绍联系我们用户协议隐私条款
关注我们

Suppr 超能文献

核心技术专利:CN118964589B侵权必究
粤ICP备2023148730 号-1Suppr @ 2026

文献检索

告别复杂PubMed语法,用中文像聊天一样搜索,搜遍4000万医学文献。AI智能推荐,让科研检索更轻松。

立即免费搜索

文件翻译

保留排版,准确专业,支持PDF/Word/PPT等文件格式,支持 12+语言互译。

免费翻译文档

深度研究

AI帮你快速写综述,25分钟生成高质量综述,智能提取关键信息,辅助科研写作。

立即免费体验

高脂蛋白(a)水平导致不同孕期复发性深静脉血栓形成和脑静脉窦血栓形成:一例报告

High Lipoprotein (a) Levels Causing Recurrent Deep Vein Thrombosis and Cerebral Venous Sinus Thrombosis in Different Pregnancies: A Case Report.

作者信息

Okada Akihiro, Kawauchi Takeshi, Terada Yukinori, Hashimoto Kenji

机构信息

Department of Neurosurgery, Osaka Red Cross Hospital, Osaka, Japan.

出版信息

Case Rep Neurol. 2025 Jul 14;17(1):107-112. doi: 10.1159/000546461. eCollection 2025 Jan-Dec.

DOI:10.1159/000546461
PMID:40800013
原文链接:https://pmc.ncbi.nlm.nih.gov/articles/PMC12342702/
Abstract

INTRODUCTION

High levels of lipoprotein (a) [Lp (a)] have gained attention as a risk factor for venous thrombosis. Venous thrombosis during pregnancy in women without thrombophilic predisposition is attributed to pregnancy itself. Herein, we report a case of high Lp (a) levels manifesting as recurrent deep vein thrombosis (DVT) and cerebral venous sinus thrombosis (CVST) in different pregnancies.

CASE PRESENTATION

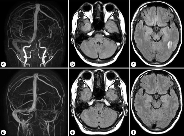
A 29-year-old Nepalese woman developed DVT during her first pregnancy. Examination revealed no thrombophilic predisposition. The thrombus resolved with oral anticoagulant medication, which was discontinued after 3 months. During the second pregnancy, prophylactic subcutaneous heparin injections were initiated to prevent venous embolism. Following several days of non-administration of heparin, she experienced left occipital pain, and magnetic resonance venogram showed left CVST. Oral anticoagulants were initiated, and her headache resolved within a few days. Additional blood tests showed abnormally high levels of Lp (a) at 113 mg/dL. Six months later, the CVST was partially recanalized.

CONCLUSION

If venous thrombosis develops during pregnancy in patients without thrombophilic predisposition, Lp (a) levels should be monitored, and long-term anticoagulant medication may be desirable in those with high Lp (a) levels to prevent recurrence of venous thrombosis.

摘要

引言

高水平的脂蛋白(a)[Lp(a)]作为静脉血栓形成的危险因素已受到关注。无血栓形成倾向的女性在孕期发生静脉血栓形成归因于妊娠本身。在此,我们报告一例在不同孕期中Lp(a)水平升高表现为复发性深静脉血栓形成(DVT)和脑静脉窦血栓形成(CVST)的病例。

病例介绍

一名29岁的尼泊尔女性在首次妊娠期间发生DVT。检查未发现血栓形成倾向。血栓通过口服抗凝药物得以溶解,3个月后停药。在第二次妊娠期间,开始预防性皮下注射肝素以预防静脉栓塞。在停止使用肝素几天后,她出现左枕部疼痛,磁共振静脉造影显示左CVST。开始口服抗凝药物治疗,她的头痛在数天内缓解。进一步的血液检查显示Lp(a)水平异常升高,达113mg/dL。6个月后,CVST部分再通。

结论

对于无血栓形成倾向的患者,如果在孕期发生静脉血栓形成,应监测Lp(a)水平,对于Lp(a)水平高的患者,可能需要长期抗凝药物治疗以预防静脉血栓形成复发。

https://cdn.ncbi.nlm.nih.gov/pmc/blobs/f599/12342702/fb3623f1fc6c/crn-2025-0017-0001-546461_F01.jpg
https://cdn.ncbi.nlm.nih.gov/pmc/blobs/f599/12342702/fb3623f1fc6c/crn-2025-0017-0001-546461_F01.jpg
https://cdn.ncbi.nlm.nih.gov/pmc/blobs/f599/12342702/fb3623f1fc6c/crn-2025-0017-0001-546461_F01.jpg

相似文献

1
High Lipoprotein (a) Levels Causing Recurrent Deep Vein Thrombosis and Cerebral Venous Sinus Thrombosis in Different Pregnancies: A Case Report.高脂蛋白(a)水平导致不同孕期复发性深静脉血栓形成和脑静脉窦血栓形成:一例报告
Case Rep Neurol. 2025 Jul 14;17(1):107-112. doi: 10.1159/000546461. eCollection 2025 Jan-Dec.
2
Pentasaccharides for the treatment of deep vein thrombosis.用于治疗深静脉血栓形成的五糖。
Cochrane Database Syst Rev. 2017 Dec 2;12(12):CD011782. doi: 10.1002/14651858.CD011782.pub2.
3
Risk of thromboembolism in patients with COVID-19 who are using hormonal contraception.COVID-19 患者使用激素避孕的血栓栓塞风险。
Cochrane Database Syst Rev. 2023 Jan 9;1(1):CD014908. doi: 10.1002/14651858.CD014908.pub2.
4
Antiplatelet agents for the treatment of deep venous thrombosis.抗血小板药物治疗深静脉血栓形成。
Cochrane Database Syst Rev. 2022 Jul 25;7(7):CD012369. doi: 10.1002/14651858.CD012369.pub2.
5
Antiplatelet and anticoagulant agents for primary prevention of thrombosis in individuals with antiphospholipid antibodies.抗血小板和抗凝药物用于抗磷脂抗体个体血栓形成的一级预防。
Cochrane Database Syst Rev. 2018 Jul 13;7(7):CD012534. doi: 10.1002/14651858.CD012534.pub2.
6
Home versus in-patient treatment for deep vein thrombosis.深静脉血栓形成的家庭治疗与住院治疗对比
Cochrane Database Syst Rev. 2018 Jan 9;1(1):CD003076. doi: 10.1002/14651858.CD003076.pub3.
7
Prescription of Controlled Substances: Benefits and Risks管制药品的处方:益处与风险
8
Subcutaneous unfractionated heparin for the initial treatment of venous thromboembolism.皮下注射普通肝素用于静脉血栓栓塞症的初始治疗。
Cochrane Database Syst Rev. 2017 Feb 14;2(2):CD006771. doi: 10.1002/14651858.CD006771.pub3.
9
Anticoagulants (extended duration) for prevention of venous thromboembolism following total hip or knee replacement or hip fracture repair.延长疗程的抗凝剂用于预防全髋关节或膝关节置换术后或髋部骨折修复后的静脉血栓栓塞。
Cochrane Database Syst Rev. 2016 Mar 30;3(3):CD004179. doi: 10.1002/14651858.CD004179.pub2.
10
Oral direct thrombin inhibitors or oral factor Xa inhibitors versus conventional anticoagulants for the treatment of deep vein thrombosis.口服直接凝血酶抑制剂或口服因子 Xa 抑制剂与传统抗凝剂治疗深静脉血栓形成的比较。
Cochrane Database Syst Rev. 2023 Apr 14;4(4):CD010956. doi: 10.1002/14651858.CD010956.pub3.

本文引用的文献

1
Lipoprotein(a) in Atherosclerotic Diseases: From Pathophysiology to Diagnosis and Treatment.脂蛋白(a)在动脉粥样硬化疾病中的作用:从病理生理学到诊断与治疗。
Molecules. 2023 Jan 18;28(3):969. doi: 10.3390/molecules28030969.
2
Lipoprotein(a) during COVID-19 hospitalization: Thrombosis, inflammation, and mortality.COVID-19 住院期间的脂蛋白(a):血栓形成、炎症和死亡率。
Atherosclerosis. 2022 Sep;357:33-40. doi: 10.1016/j.atherosclerosis.2022.07.015. Epub 2022 Aug 2.
3
Venous Thromboembolism During Pregnancy and the Postpartum Period: Risk Factors, Diagnostic Testing, and Treatment.
妊娠期及产褥期静脉血栓栓塞症:危险因素、诊断性检查及治疗。
Obstet Gynecol Surv. 2022 Jul;77(7):433-444. doi: 10.1097/OGX.0000000000001043.
4
Lipoprotein(a): A Genetically Determined, Causal, and Prevalent Risk Factor for Atherosclerotic Cardiovascular Disease: A Scientific Statement From the American Heart Association.脂蛋白(a):一种与遗传相关的、因果性的、普遍存在的动脉粥样硬化性心血管疾病风险因素:美国心脏协会的科学声明。
Arterioscler Thromb Vasc Biol. 2022 Jan;42(1):e48-e60. doi: 10.1161/ATV.0000000000000147. Epub 2021 Oct 14.
5
Plasminogen: an enigmatic zymogen.纤溶酶原:一种神秘的酶原。
Blood. 2021 May 27;137(21):2881-2889. doi: 10.1182/blood.2020008951.
6
Lipoprotein-based drug delivery.基于脂蛋白的药物递送。
Adv Drug Deliv Rev. 2020;159:377-390. doi: 10.1016/j.addr.2020.08.003. Epub 2020 Aug 11.
7
Direct Oral Anticoagulants for the Treatment of Cerebral Venous Thrombosis.直接口服抗凝剂治疗脑静脉血栓形成。
Cerebrovasc Dis. 2019;48(1-2):32-37. doi: 10.1159/000502454. Epub 2019 Sep 3.
8
Elevated lipoprotein(a) as a new risk factor of cerebral venous sinus thrombosis: association with fibrin clot properties.脂蛋白(a)升高是脑静脉窦血栓形成的新危险因素:与纤维蛋白凝块特性相关。
J Thromb Thrombolysis. 2019 Jan;47(1):8-15. doi: 10.1007/s11239-018-1769-0.
9
Guidance for the practical management of the direct oral anticoagulants (DOACs) in VTE treatment.直接口服抗凝剂(DOACs)在VTE治疗中的实际管理指南。
J Thromb Thrombolysis. 2016 Jan;41(1):206-32. doi: 10.1007/s11239-015-1310-7.
10
The current status of lipoprotein (a) in pregnancy: a literature review.妊娠脂蛋白 (a) 的现状:文献综述。
J Cardiol. 2013 Feb;61(2):99-106. doi: 10.1016/j.jjcc.2012.09.009. Epub 2012 Nov 17.