Suppr超能文献

使用模块化锥形翻修装置进行翻修全髋关节置换术后假体周围骨折的累积风险及手术治疗选择——117例中期连续病例系列

Cumulative Risk for Periprosthetic Fracture and Operative Treatment Options After Revision Total Hip Arthroplasty with a Modular and Tapered Revision Device-A Consecutive Series of 117 Cases in a Mid-Term Duration.

作者信息

Bischel Oliver E, Jung Matthias K, Pilgrim Max, Höppchen Arnold J, Böhm Paul M, Seeger Jörn B

机构信息

BG Trauma Center, University of Heidelberg, Ludwig-Guttmann-Str. 13, 67 071 Ludwigshafen, Germany.

Medical Faculty Mannheim, University of Heidelberg, Ludolf-Krehl-Str. 13-17, 68 167 Mannheim, Germany.

出版信息

J Clin Med. 2025 Jul 28;14(15):5321. doi: 10.3390/jcm14155321.

Abstract

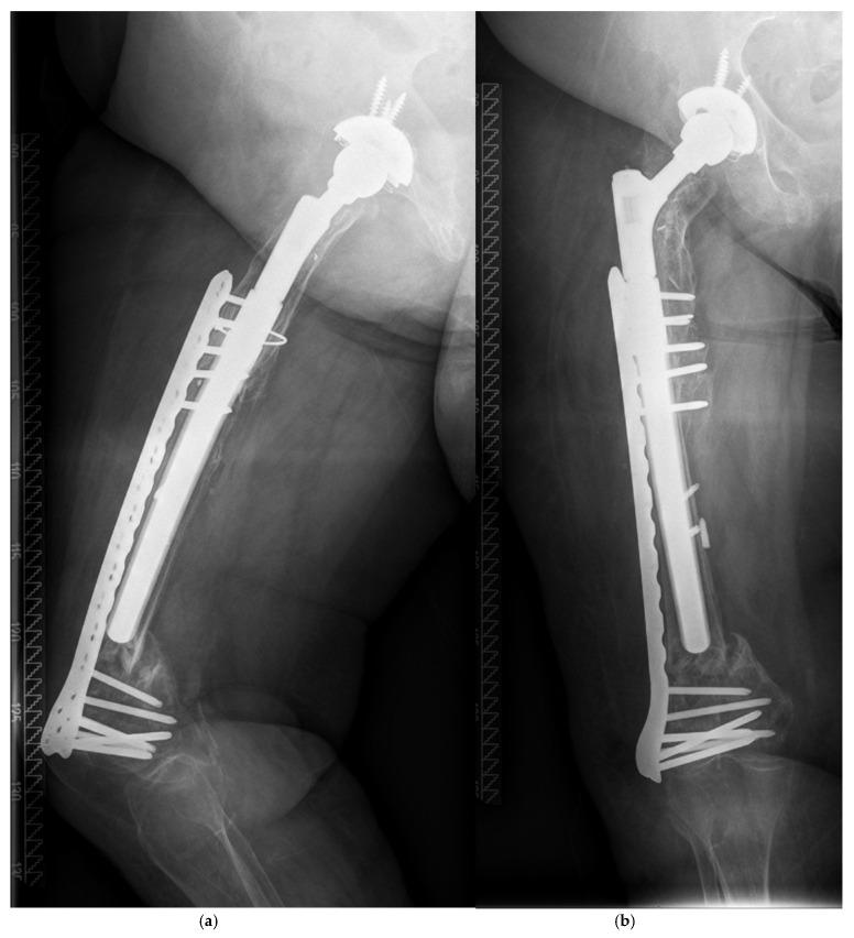
Implantation of modularly built-up stems with a tapered and fluted design is currently state of the art in revision total hip arthroplasty (RTHA). Nevertheless, implant-specific major complications like breakage of taper junctions as well as periprosthetic fractures (PPFs) may lead to failure of reconstruction during follow-up. A cohort of 117 cases receiving femoral RTHA by a modular stem was investigated retrospectively with a mean follow-up of 5.7 (0.5-13.7) years. Cumulative risk and potential factors affecting the occurrence of PPFs were calculated with the Kaplan-Meier method. In addition, cases were presented to discuss operative treatment options. A cumulative risk of PPF of 12.1% (95% CI: 0-24.6%) was calculated at 13.7 years. Female patients had significantly higher risk compared to male patients (0% after 13.5 years for male patients vs. 20.8% (95% CI: 0.5-41.2%) after 13.7 years for female patients; log-rank = 0.0438) as all five patients sustaining a PPF during follow-up were women. Four fractures were treated by open reduction and internal fixation. Non-union and collapse of the fracture occurred in one patient after closed reduction and internal fixation. Postoperative PPF after femoral revision with a modular stem has shown to be a frequent complication within this mid-term follow-up. Female patients were at a significantly higher risk in this aged cohort, indicating osteoporosis as a risk factor. The surgical treatment of PPF with an integrated long-stemmed prosthesis is challenging and thorough considerations of adequate operative treatment of PPFs are strongly advised in order to limit complication rates.

摘要

在翻修全髋关节置换术(RTHA)中,植入具有锥形和带槽设计的模块化组装柄目前是最新技术。然而,特定植入物的主要并发症,如锥形连接处断裂以及假体周围骨折(PPF),可能导致随访期间重建失败。对117例接受模块化柄股骨RTHA的病例进行了回顾性研究,平均随访5.7(0.5 - 13.7)年。采用Kaplan-Meier方法计算PPF发生的累积风险和潜在影响因素。此外,还展示了病例以讨论手术治疗方案。在13.7年时计算出PPF的累积风险为12.1%(95%可信区间:0 - 24.6%)。女性患者的风险显著高于男性患者(男性患者13.5年后为0%,而女性患者13.7年后为20.8%(95%可信区间:0.5 - 41.2%);对数秩检验 = 0.0438),因为随访期间发生PPF的所有5例患者均为女性。4例骨折采用切开复位内固定治疗。1例患者在闭合复位内固定后发生骨折不愈合和塌陷。在本次中期随访中,模块化柄股骨翻修术后的术后PPF已显示为常见并发症。在这个老年队列中,女性患者的风险显著更高,表明骨质疏松是一个风险因素。采用一体式长柄假体对PPF进行手术治疗具有挑战性,强烈建议对PPF的适当手术治疗进行全面考虑,以限制并发症发生率。

https://cdn.ncbi.nlm.nih.gov/pmc/blobs/0fe4/12346902/c9aff645c1bd/jcm-14-05321-g001.jpg

文献检索

告别复杂PubMed语法,用中文像聊天一样搜索,搜遍4000万医学文献。AI智能推荐,让科研检索更轻松。

立即免费搜索

文件翻译

保留排版,准确专业,支持PDF/Word/PPT等文件格式,支持 12+语言互译。

免费翻译文档

深度研究

AI帮你快速写综述,25分钟生成高质量综述,智能提取关键信息,辅助科研写作。

立即免费体验