Suppr超能文献

RESCUE技术:一种用于提高髋关节囊外骨折钉固定效果的记忆术首字母缩写词。

The RESCUE Technique: A Mnemonic Acronym to Enhance Outcomes in Nail Fixation of Extracapsular Hip Fractures.

作者信息

Nikolaides Anastasios P, Abesamis Julius Bryan, Hamed Ahmed, Sarofeen Samer, Vetharajan Niraj, Sahemey Rajpreet, Salar Omer, Konstantinou Panagiotis

机构信息

Orthopaedic Department, University Hospitals Birmingham NHS Foundation Trust, Birmingham B7 5TE, UK.

出版信息

J Clin Med. 2025 Aug 1;14(15):5419. doi: 10.3390/jcm14155419.

Abstract

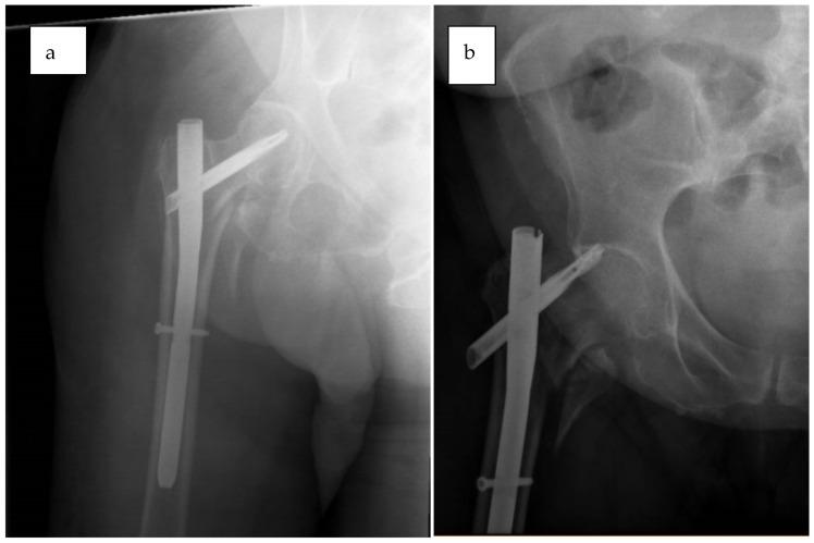
Intertrochanteric fractures in the elderly present complex challenges due to poor bone quality and comorbidities. Cephalomedullary (CM) nails offer biomechanical advantages that support early mobilization, yet complications such as cutout, implant failure, and malalignment persist. This review examines the effectiveness of CM nail fixation in geriatric extracapsular hip fractures and introduces the technique-a structured, mnemonic-based approach aimed at improving surgical outcomes and reducing common complications. stands for Reduce, Entry point, Screw, Compress, Unleash traction, and Enhance full-weight bearing. This six-step framework addresses the critical elements of fixation, including precise reduction, optimal entry point selection, central screw placement, controlled fracture compression, cautious traction management, and early mobilization. Case illustrations of frequent failure patterns underscore the practical application of the RESCUE technique. By following this systematic approach, surgeons can enhance construct stability, minimize failure risk, and promote functional recovery in elderly patients.

摘要

由于骨质不佳和合并症,老年患者的粗隆间骨折带来了复杂的挑战。髓内钉提供了支持早期活动的生物力学优势,但诸如穿出、植入物失败和对线不良等并发症仍然存在。本综述探讨了髓内钉固定治疗老年髋关节囊外骨折的有效性,并介绍了一种技术——一种基于结构化记忆法的方法,旨在改善手术效果并减少常见并发症。RESCUE代表复位、入点、螺钉、加压、释放牵引和增强全负重。这个六步框架涵盖了固定的关键要素,包括精确复位、最佳入点选择、中心螺钉置入、控制骨折加压、谨慎的牵引管理和早期活动。常见失败模式的病例说明强调了RESCUE技术的实际应用。通过遵循这种系统方法,外科医生可以增强内固定稳定性,将失败风险降至最低,并促进老年患者的功能恢复。

https://cdn.ncbi.nlm.nih.gov/pmc/blobs/7795/12348001/2c4ac04db5ad/jcm-14-05419-sch001.jpg

文献AI研究员

20分钟写一篇综述,助力文献阅读效率提升50倍。

立即体验

用中文搜PubMed

大模型驱动的PubMed中文搜索引擎

马上搜索

文档翻译

学术文献翻译模型,支持多种主流文档格式。

立即体验