Suppr超能文献

使用Amplatzer装置关闭室间隔缺损后溶血的自发消退

Spontaneous Resolution of Hemolysis After Ventricular Septal Defect Closure With an Amplatzer Device.

作者信息

Popelier Christophe, De Meester Pieter, Budts Werner

机构信息

Leuven, Congenital and Structural Cardiology UZ Leuven Leuven Belgium.

Leuven, Department of Cardiovascular Sciences KU Leuven Leuven Belgium.

出版信息

Clin Case Rep. 2025 Aug 13;13(8):e70613. doi: 10.1002/ccr3.70613. eCollection 2025 Aug.

Abstract

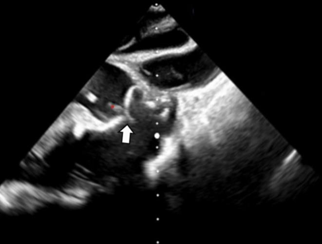
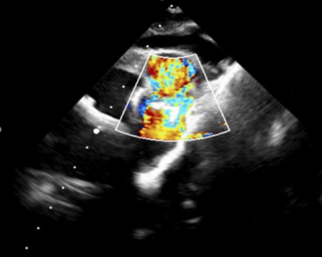
A wait and see approach can be maintained in cases with mechanical hemolysis after percutaneous VSD closure, even when the cause is not homogeneous.

摘要

对于经皮室间隔缺损封堵术后发生机械性溶血的病例,即使病因并不相同,也可采取观察等待的方法。

https://cdn.ncbi.nlm.nih.gov/pmc/blobs/f0b5/12344374/618cc9065a07/CCR3-13-e70613-g002.jpg

相似文献

1
Spontaneous Resolution of Hemolysis After Ventricular Septal Defect Closure With an Amplatzer Device.
Clin Case Rep. 2025 Aug 13;13(8):e70613. doi: 10.1002/ccr3.70613. eCollection 2025 Aug.
2
Closure of Secundum Atrial Septal Defects With the AMPLATZER Septal Occluder: A Prospective, Multicenter, Post-Approval Study.
Circ Cardiovasc Interv. 2017 Aug;10(8):e004212. doi: 10.1161/CIRCINTERVENTIONS.116.004212.
9
Late endocarditis after device closure of ventricular septal defect: a case report.
Eur Heart J Case Rep. 2025 Jun 20;9(7):ytaf288. doi: 10.1093/ehjcr/ytaf288. eCollection 2025 Jul.

本文引用的文献

1
Understanding exercise (in)tolerance in sickle cell disease: impacts of hemolysis and exercise training on skeletal muscle oxygen delivery.
J Appl Physiol (1985). 2024 Oct 1;137(4):975-983. doi: 10.1152/japplphysiol.00390.2024. Epub 2024 Aug 29.
2
Haptoglobin Administration for Intravascular Hemolysis: A Systematic Review.
Blood Purif. 2024;53(11-12):851-859. doi: 10.1159/000539363. Epub 2024 Aug 5.
6
Successful reduction of plasma free-hemoglobin using therapeutic plasma exchange: A case report.
Transfus Apher Sci. 2016 Apr;54(2):253-5. doi: 10.1016/j.transci.2015.08.005. Epub 2015 Sep 9.
7
The effect of turbulent viscous shear stress on red blood cell hemolysis.
J Artif Organs. 2014 Jun;17(2):178-85. doi: 10.1007/s10047-014-0755-3. Epub 2014 Mar 12.
9
Transcatheter closure of congenital ventricular septal defects: results of the European Registry.
Eur Heart J. 2007 Oct;28(19):2361-8. doi: 10.1093/eurheartj/ehm314. Epub 2007 Aug 7.

文献AI研究员

20分钟写一篇综述,助力文献阅读效率提升50倍。

立即体验

用中文搜PubMed

大模型驱动的PubMed中文搜索引擎

马上搜索

文档翻译

学术文献翻译模型,支持多种主流文档格式。

立即体验