Suppr超能文献

电视辅助胸腔镜手术治疗原发性自发性气胸后双侧系统性动脉至肺血管瘘:一例报告

Bilateral Systemic Artery-to-Pulmonary Vessel Fistulas Following Video-Assisted Thoracoscopic Surgery for Primary Spontaneous Pneumothorax: A Case Report.

作者信息

Mihara Daiki, Tao Hiroyuki

机构信息

Department of Thoracic Surgery, Japanese Red Cross Society Himeji Hospital, Himeji, JPN.

出版信息

Cureus. 2025 Jul 13;17(7):e87862. doi: 10.7759/cureus.87862. eCollection 2025 Jul.

Abstract

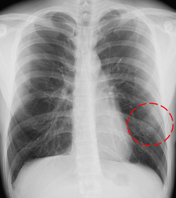
Systemic artery-to-pulmonary vessel fistula (SAPVF) is a rare vascular anomaly, with acquired forms typically arising secondary to intrathoracic inflammation, infection, trauma, or thoracic surgery. We report a case of a 21-year-old man with a history of bilateral video-assisted thoracoscopic surgery (VATS) bullectomy for primary spontaneous pneumothorax who developed bilateral SAPVF. Contrast-enhanced computed tomography revealed abnormally dilated pulmonary vessels with systemic arterial communications in both lungs, corresponding to previous surgical incision sites. On the left side, SAPVF developed despite the surgical wound separated from the lung by oxidized regenerated cellulose sheets. Due to multiple systemic feeding arteries, embolization was considered ineffective, and surgery was avoided owing to the high risk of postoperative reformation. The patient has been managed conservatively, with no progression observed over a two-year follow-up period. This case highlights that SAPVF can occur even after minimally invasive surgery such as VATS, emphasizing the need for careful follow-up and further evaluation of optimal preventive strategies.

摘要

体动脉-肺血管瘘(SAPVF)是一种罕见的血管异常,后天性形式通常继发于胸内炎症、感染、创伤或胸外科手术。我们报告一例21岁男性,有原发性自发性气胸双侧电视辅助胸腔镜手术(VATS)肺大疱切除术病史,发生了双侧SAPVF。对比增强计算机断层扫描显示双侧肺内肺血管异常扩张并与体动脉相通,对应于先前的手术切口部位。在左侧,尽管手术伤口被氧化再生纤维素片与肺隔开,但仍发生了SAPVF。由于存在多条体循环供血动脉,栓塞被认为无效,且由于术后复发风险高而避免了手术。该患者一直采取保守治疗,在两年的随访期内未观察到病情进展。该病例突出表明,即使在VATS等微创手术后也可能发生SAPVF,强调了仔细随访以及进一步评估最佳预防策略的必要性。

https://cdn.ncbi.nlm.nih.gov/pmc/blobs/4cf5/12343923/2bb3c7ae2024/cureus-0017-00000087862-i01.jpg

文献检索

告别复杂PubMed语法,用中文像聊天一样搜索,搜遍4000万医学文献。AI智能推荐,让科研检索更轻松。

立即免费搜索

文件翻译

保留排版,准确专业,支持PDF/Word/PPT等文件格式,支持 12+语言互译。

免费翻译文档

深度研究

AI帮你快速写综述,25分钟生成高质量综述,智能提取关键信息,辅助科研写作。

立即免费体验