Suppr超能文献

特发性脊柱侧凸成人后路脊柱融合术后椎弓根骨折:一例报告

Postoperative Pedicle Fracture in an Adult With Idiopathic Scoliosis After Posterior Spinal Fusion: A Case Report.

作者信息

Alshebromi Abdullah, Alshebromi Anas H, Bassi Mahdi

机构信息

Orthopedic Surgery, King Fahad Specialist Hospital, Qassim, SAU.

Orthopedic Surgery, Qassim Armed Forces Hospital, Qassim, SAU.

出版信息

Cureus. 2025 Jul 13;17(7):e87867. doi: 10.7759/cureus.87867. eCollection 2025 Jul.

Abstract

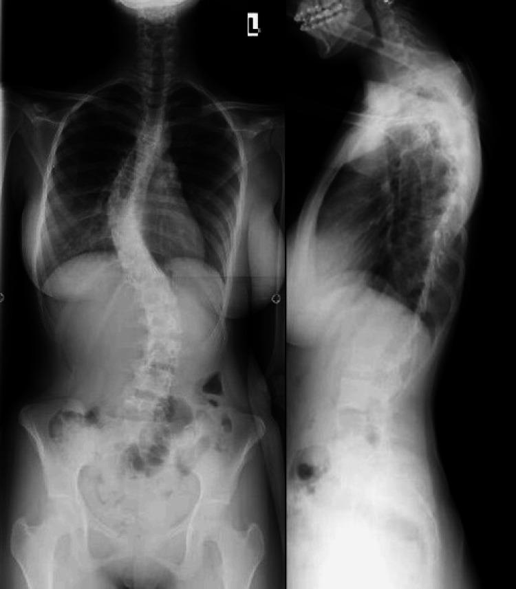
This case report presents the case of a 22-year-old female patient with a history of adolescent idiopathic scoliosis who underwent posterior spinal fusion and instrumentation from T4 to L5 at age 17. Her postoperative course was uneventful for five years, during which she remained asymptomatic and functionally independent. At age 22, she developed insidious axial low back pain without trauma or neurological symptoms. Imaging revealed a right L5 pedicle fracture with no evidence of implant loosening or pseudoarthrosis. Conservative management, including nonsteroidal anti-inflammatory drugs (NSAIDs), local injections, and physical therapy, failed to relieve symptoms. A CT scan confirmed solid fusion and an isolated pedicle fracture. Surgical removal of the instrumentation was performed, followed by application of a thoracolumbar orthosis. The patient returned to full daily activities without pain by one year postoperatively. This case highlights a rare complication of distal pedicle stress fracture after long-segment fusion, emphasizing the need for awareness of junctional stress-related pathology in long-term follow-up and the effectiveness of timely surgical management.

摘要

本病例报告介绍了一名22岁女性患者,该患者有青少年特发性脊柱侧弯病史,17岁时接受了从T4至L5的后路脊柱融合及内固定术。术后五年她的病程平稳,在此期间她没有症状,功能独立。22岁时,她在没有外伤或神经症状的情况下逐渐出现隐匿性轴向腰背痛。影像学检查显示L5右侧椎弓根骨折,没有植入物松动或假关节形成的迹象。包括非甾体类抗炎药(NSAIDs)、局部注射和物理治疗在内的保守治疗未能缓解症状。CT扫描证实融合良好且为孤立性椎弓根骨折。遂进行了内固定器械的手术取出,随后应用了胸腰骶矫形器。术后一年,患者恢复了全部日常活动且无疼痛。本病例突出了长节段融合后远端椎弓根应力性骨折这一罕见并发症,强调了在长期随访中需要关注交界区应力相关病变以及及时手术治疗的有效性。

https://cdn.ncbi.nlm.nih.gov/pmc/blobs/6e2d/12344205/560fc97b3afe/cureus-0017-00000087867-i01.jpg

文献检索

告别复杂PubMed语法,用中文像聊天一样搜索,搜遍4000万医学文献。AI智能推荐,让科研检索更轻松。

立即免费搜索

文件翻译

保留排版,准确专业,支持PDF/Word/PPT等文件格式,支持 12+语言互译。

免费翻译文档

深度研究

AI帮你快速写综述,25分钟生成高质量综述,智能提取关键信息,辅助科研写作。

立即免费体验