Suppr超能文献

特发性颅内高压伴持续正常初压:一例报告

Idiopathic Intracranial Hypertension With Sustained Normal Opening Pressure: A Case Report.

作者信息

Pierre Stanley, Steele Shantell, Candela Melissa, Rojas Allison, Araguez-Ancares Nayle

机构信息

Surgery, Ross University School of Medicine, St. Michael, BRB.

Surgery, Ross University School of Medicine, Miramar, USA.

出版信息

Cureus. 2025 Jul 14;17(7):e87940. doi: 10.7759/cureus.87940. eCollection 2025 Jul.

Abstract

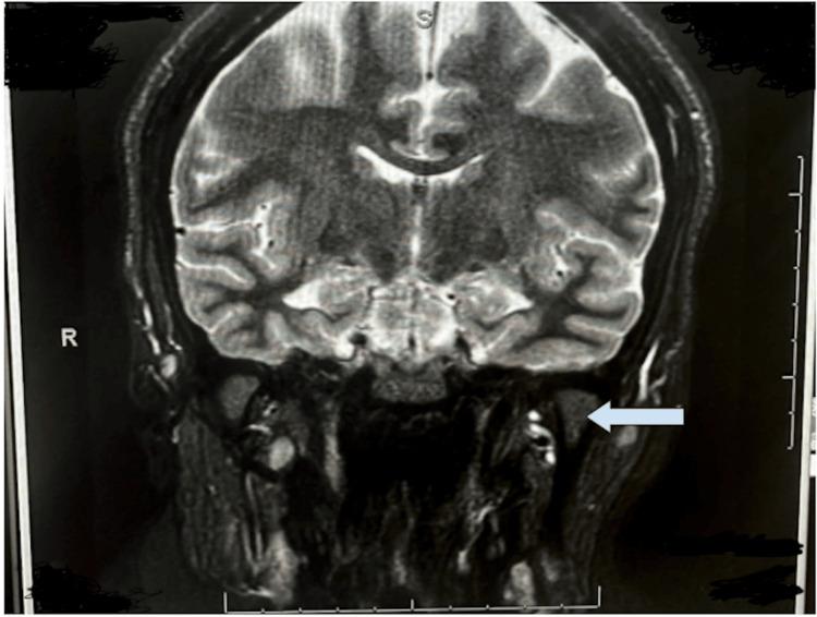
Idiopathic intracranial hypertension (IIH) is a clinical diagnosis made from the exclusion of other possible causes of increased intracranial pressure (ICP): cerebrospinal fluid (CSF) overflow obstruction, mass lesion, infection, or malignancies. IIH is a phenomenon with a rapid onset that most notably presents in obese women of childbearing age. We present the case of a 30-year-old African American woman with a past medical history of bipolar disorder who arrived at the emergency department (ED) with acute bilateral vision loss, two weeks of bilateral retro-orbital headache, painful eye movements, and progressive vision loss with a decrease in appetite. Management involved plasma exchange, high-dose steroids, consistent neurological and ophthalmic tests, and close observation and follow-up. One week after the most recent ED visit, the patient confirmed a significant improvement in vision. When diagnosing our patient with IIH, it was imperative to rule out myelinating oligodendrocyte glycoprotein antibody-associated disease (MOGAD), multiple sclerosis (MS), and other demyelinating diseases such as optic neuritis. Initial brain imaging using computed tomography (CT) without contrast showed no evidence of intracranial hemorrhage but demonstrated the presence of prominent sheath complexes, suggestive of optic neuritis, and a slightly small pituitary gland height for a patient who is 30 years of age. Further testing with a CT venogram (CTV) and a magnetic resonance imaging (MRI) of the head and neck confirmed demyelination. The patient's lumbar puncture continuously revealed a normal opening pressure during her hospital stay. This case presentation will highlight and compare the current literature regarding the clinical presentation and management of idiopathic intracranial hypertension.

摘要

特发性颅内高压(IIH)是一种通过排除颅内压(ICP)升高的其他可能原因而做出的临床诊断:脑脊液(CSF)溢流阻塞、占位性病变、感染或恶性肿瘤。IIH是一种起病迅速的现象,最常见于育龄肥胖女性。我们报告一例30岁非裔美国女性病例,她有双相情感障碍病史,因急性双侧视力丧失、双侧眶后头痛两周、眼球运动疼痛、视力进行性下降伴食欲减退而到急诊科就诊。治疗包括血浆置换、大剂量类固醇、持续的神经和眼科检查以及密切观察和随访。在最近一次急诊科就诊一周后,患者确认视力有显著改善。在诊断我们的患者患有IIH时,必须排除髓鞘少突胶质细胞糖蛋白抗体相关疾病(MOGAD)、多发性硬化症(MS)和其他脱髓鞘疾病,如视神经炎。最初使用无对比剂的计算机断层扫描(CT)进行脑部成像,未发现颅内出血迹象,但显示存在明显的鞘复合体,提示视神经炎,且对于一名30岁的患者来说,垂体高度略小。进一步通过CT静脉造影(CTV)以及头部和颈部的磁共振成像(MRI)检查确认了脱髓鞘。患者住院期间腰椎穿刺持续显示初压正常。本病例报告将突出并比较当前关于特发性颅内高压临床表现和治疗的文献。

https://cdn.ncbi.nlm.nih.gov/pmc/blobs/d250/12350088/a8ac0c5929b6/cureus-0017-00000087940-i01.jpg

文献AI研究员

20分钟写一篇综述,助力文献阅读效率提升50倍。

立即体验

用中文搜PubMed

大模型驱动的PubMed中文搜索引擎

马上搜索

文档翻译

学术文献翻译模型,支持多种主流文档格式。

立即体验