• 文献检索
  • 文档翻译
  • 深度研究
  • 学术资讯
  • Suppr Zotero 插件Zotero 插件
  • 邀请有礼
  • 套餐&价格
  • 历史记录
应用&插件
Suppr Zotero 插件Zotero 插件浏览器插件Mac 客户端Windows 客户端微信小程序
定价
高级版会员购买积分包购买API积分包
服务
文献检索文档翻译深度研究API 文档MCP 服务
关于我们
关于 Suppr公司介绍联系我们用户协议隐私条款
关注我们

Suppr 超能文献

核心技术专利:CN118964589B侵权必究
粤ICP备2023148730 号-1Suppr @ 2026

文献检索

告别复杂PubMed语法,用中文像聊天一样搜索,搜遍4000万医学文献。AI智能推荐,让科研检索更轻松。

立即免费搜索

文件翻译

保留排版,准确专业,支持PDF/Word/PPT等文件格式,支持 12+语言互译。

免费翻译文档

深度研究

AI帮你快速写综述,25分钟生成高质量综述,智能提取关键信息,辅助科研写作。

立即免费体验

以中性粒细胞为主的腹膜结核合并输卵管炎酷似卵巢癌:一例报告

Neutrophil-Predominant Peritoneal Tuberculosis With Salpingitis Mimicking Ovarian Cancer: A Case Report.

作者信息

Almarzooqi Noura, Kafafi Radwa, Abbas Aymen, Alghefari Amal

机构信息

Internal Medicine, Sheikh Khalifa Medical City, Abu Dhabi, ARE.

出版信息

Cureus. 2025 Jul 15;17(7):e88009. doi: 10.7759/cureus.88009. eCollection 2025 Jul.

DOI:10.7759/cureus.88009
PMID:40821222
原文链接:https://pmc.ncbi.nlm.nih.gov/articles/PMC12352705/
Abstract

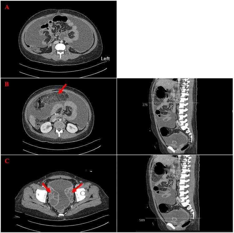
Tuberculosis (TB) is caused by . It is a multisystem infection, but the most common manifestation is pulmonary. TB is the leading cause of death among infectious diseases. Abdominal TB is a form of extrapulmonary TB (EPTB) that often presents nonspecifically and can result from genitourinary or hematogenous spread. We present the case of a 20-year-old Bangladeshi woman who presented with a two-month history of fever and night sweats accompanied by vomiting, tachycardia, and tachypnea. Laboratory investigations revealed elevated inflammatory markers, lactate dehydrogenase, and cancer antigen 125. QuantiFERON-TB (QIAGEN N.V., Venlo, Netherlands) was positive. An abdominal ultrasound showed free fluid throughout the abdomen. A CT scan of the abdomen revealed thickening and enhancement of the peritoneum, omental caking, and bilateral bulky ovaries measuring up to 8.5 x 5.4 cm on the right side, raising suspicion of malignancy. However, an MRI showed that the pelvic masses were, in fact, bilateral hydrosalpinx. Peritoneal analysis indicated a serum ascites albumin gradient (SAAG) of less than 1.1, suggesting peritonitis with neutrophil predominance. Acid-fast bacillus (AFB) culture of the peritoneal fluid grew . Abdominal TB and ovarian cancers can overlap in clinical presentation, especially in young female patients. Imaging may be misleading, as seen in this case. Imaging modalities may assist in the diagnosis; further exploration, particularly diagnostic laparoscopy with biopsy, is required for suspected ovarian cancer and EPTB.

摘要

结核病(TB)由……引起。它是一种多系统感染,但最常见的表现是肺部感染。结核病是传染病中主要的死亡原因。腹部结核是肺外结核(EPTB)的一种形式,通常表现不具特异性,可由泌尿生殖系统或血行播散引起。我们报告一例20岁孟加拉国女性病例,该患者有两个月发热、盗汗病史,伴有呕吐、心动过速和呼吸急促。实验室检查显示炎症标志物、乳酸脱氢酶和癌抗原125升高。结核菌素定量检测(QIAGEN N.V.,荷兰芬洛)呈阳性。腹部超声显示全腹有游离液体。腹部CT扫描显示腹膜增厚、强化,网膜饼状增厚,双侧卵巢肿大,右侧最大径达8.5×5.4cm,怀疑为恶性肿瘤。然而,磁共振成像显示盆腔肿块实际上是双侧输卵管积水。腹膜分析显示血清腹水白蛋白梯度(SAAG)小于1.1,提示以中性粒细胞为主的腹膜炎。腹膜液抗酸杆菌(AFB)培养长出……。腹部结核和卵巢癌在临床表现上可能重叠,尤其是在年轻女性患者中。如本病例所示,影像学检查可能会产生误导。影像学检查方式可能有助于诊断;对于疑似卵巢癌和EPTB,需要进一步检查,特别是诊断性腹腔镜检查及活检。

https://cdn.ncbi.nlm.nih.gov/pmc/blobs/1317/12352705/4c69944f4dac/cureus-0017-00000088009-i02.jpg
https://cdn.ncbi.nlm.nih.gov/pmc/blobs/1317/12352705/cf286168d5dc/cureus-0017-00000088009-i01.jpg
https://cdn.ncbi.nlm.nih.gov/pmc/blobs/1317/12352705/4c69944f4dac/cureus-0017-00000088009-i02.jpg
https://cdn.ncbi.nlm.nih.gov/pmc/blobs/1317/12352705/cf286168d5dc/cureus-0017-00000088009-i01.jpg
https://cdn.ncbi.nlm.nih.gov/pmc/blobs/1317/12352705/4c69944f4dac/cureus-0017-00000088009-i02.jpg

相似文献

1
Neutrophil-Predominant Peritoneal Tuberculosis With Salpingitis Mimicking Ovarian Cancer: A Case Report.以中性粒细胞为主的腹膜结核合并输卵管炎酷似卵巢癌:一例报告
Cureus. 2025 Jul 15;17(7):e88009. doi: 10.7759/cureus.88009. eCollection 2025 Jul.
2
Prescription of Controlled Substances: Benefits and Risks管制药品的处方:益处与风险
3
Xpert MTB/RIF assay for extrapulmonary tuberculosis and rifampicin resistance.用于肺外结核病和利福平耐药性的Xpert MTB/RIF检测
Cochrane Database Syst Rev. 2018 Aug 27;8(8):CD012768. doi: 10.1002/14651858.CD012768.pub2.
4
Tuberculosis Prevention, Control, and Elimination结核病的预防、控制与消除
5
Intraoperative frozen section analysis for the diagnosis of early stage ovarian cancer in suspicious pelvic masses.术中冰冻切片分析用于诊断可疑盆腔肿块中的早期卵巢癌。
Cochrane Database Syst Rev. 2016 Mar 1;3(3):CD010360. doi: 10.1002/14651858.CD010360.pub2.
6
Xpert® MTB/RIF assay for pulmonary tuberculosis and rifampicin resistance in adults.用于检测成人肺结核和利福平耐药性的Xpert® MTB/RIF检测
Cochrane Database Syst Rev. 2013 Jan 31(1):CD009593. doi: 10.1002/14651858.CD009593.pub2.
7
Impact of residual disease as a prognostic factor for survival in women with advanced epithelial ovarian cancer after primary surgery.原发性手术后晚期上皮性卵巢癌患者残留病灶对生存预后的影响。
Cochrane Database Syst Rev. 2022 Sep 26;9(9):CD015048. doi: 10.1002/14651858.CD015048.pub2.
8
Taxane monotherapy regimens for the treatment of recurrent epithelial ovarian cancer.紫杉烷类单药治疗方案用于复发性上皮性卵巢癌。
Cochrane Database Syst Rev. 2022 Jul 12;7(7):CD008766. doi: 10.1002/14651858.CD008766.pub3.
9
Sexual Harassment and Prevention Training性骚扰与预防培训
10
A rapid and systematic review of the clinical effectiveness and cost-effectiveness of topotecan for ovarian cancer.拓扑替康治疗卵巢癌的临床有效性和成本效益的快速系统评价。
Health Technol Assess. 2001;5(28):1-110. doi: 10.3310/hta5280.

本文引用的文献

1
Peritoneal Tuberculosis With Raised Cancer Antigen 125 (CA-125) in a Post-partum Woman: A Case Report.一名产后女性出现癌抗原125(CA - 125)升高的腹膜结核:病例报告
Cureus. 2023 Mar 4;15(3):e35757. doi: 10.7759/cureus.35757. eCollection 2023 Mar.
2
A Case of Peritoneal Tuberculosis Mimicking Ovarian Cancer in a Young Female.一例年轻女性中酷似卵巢癌的腹膜结核病例。
Case Rep Obstet Gynecol. 2022 Sep 28;2022:4687139. doi: 10.1155/2022/4687139. eCollection 2022.
3
Imaging Manifestations of Genitourinary Tuberculosis.泌尿生殖系统结核的影像学表现
Radiographics. 2022 Jul-Aug;42(4):E134. doi: 10.1148/rg.229007. Epub 2022 May 13.
4
Abdominal Tuberculosis Mimicking Ovarian Cancer: A Case Report and Review of the Literature.酷似卵巢癌的腹部结核:一例报告并文献复习
Int Med Case Rep J. 2022 Apr 11;15:169-185. doi: 10.2147/IMCRJ.S348434. eCollection 2022.
5
Tuberculosis of the gastrointestinal tract and associated viscera.胃肠道及相关内脏器官的结核病
J Clin Tuberc Other Mycobact Dis. 2018 Apr 14;12:1-8. doi: 10.1016/j.jctube.2018.04.003. eCollection 2018 Aug.
6
Diagnostic and Therapeutic Strategies for Peritoneal Tuberculosis: A Review.腹膜结核的诊断与治疗策略:综述
J Clin Transl Hepatol. 2019 Jun 28;7(2):140-148. doi: 10.14218/JCTH.2018.00062. Epub 2019 May 13.
7
Female genital tuberculosis: Revisited.女性生殖器结核:再探。
Indian J Med Res. 2018 Dec;148(Suppl):S71-S83. doi: 10.4103/ijmr.IJMR_648_18.
8
Female genital tuberculosis: a clinicopathological report of 13 cases.女性生殖器结核:13例临床病理报告
J Surg Case Rep. 2019 Mar 23;2019(3):rjz083. doi: 10.1093/jscr/rjz083. eCollection 2019 Mar.
9
Official American Thoracic Society/Infectious Diseases Society of America/Centers for Disease Control and Prevention Clinical Practice Guidelines: Diagnosis of Tuberculosis in Adults and Children.美国胸科学会/美国传染病学会/疾病控制与预防中心官方临床实践指南:成人及儿童结核病的诊断
Clin Infect Dis. 2017 Jan 15;64(2):111-115. doi: 10.1093/cid/ciw778.
10
Official American Thoracic Society/Centers for Disease Control and Prevention/Infectious Diseases Society of America Clinical Practice Guidelines: Treatment of Drug-Susceptible Tuberculosis.美国胸科学会/疾病控制与预防中心/美国传染病学会官方临床实践指南:药物敏感型肺结核的治疗
Clin Infect Dis. 2016 Oct 1;63(7):e147-e195. doi: 10.1093/cid/ciw376. Epub 2016 Aug 10.