Suppr超能文献

一条罕见的子弹轨迹:一例异常枪伤的病例报告

A Rare Bullet Trajectory: A Case Report of an Abnormal Gunshot Wound.

作者信息

Ataman Sami, Ayranci Mustafa K

机构信息

Emergency Department, Muradiye State Hospital, Van, TUR.

Emergency Department, Necmettin Erbakan University Hospital, Konya, TUR.

出版信息

Cureus. 2025 Jul 16;17(7):e88096. doi: 10.7759/cureus.88096. eCollection 2025 Jul.

Abstract

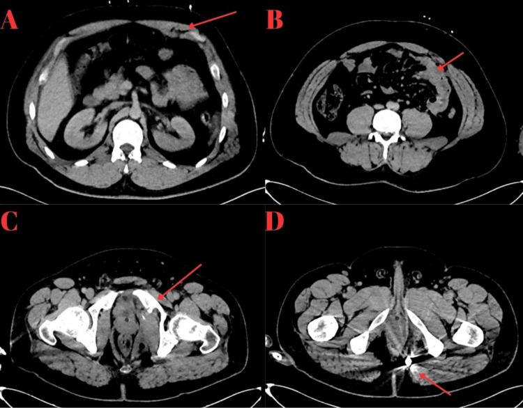
Gunshot wounds (GSWs) to the thoracic region are often associated with high mortality due to the injury of vital organs such as the heart, lungs, and aorta. Abnormal bullet trajectories complicate diagnosis and treatment, particularly when the bullet remains lodged within the body and no exit wound is present. This case report describes a rare instance of a gunshot wound entering through the anterior chest wall and ultimately lodging in the rectal region without an exit wound. Initial chest and abdominal imaging showed no acute pathology; however, advanced imaging, including contrast-enhanced abdominal and chest computed tomography (CT) scans, revealed that the bullet followed an atypical trajectory, traversing the small bowel, bladder, and pubic ramus before settling in the inferior ischioanal region. The patient underwent successful surgical intervention for both bowel and bladder injuries. This case highlights the importance of comprehensive secondary assessments, including advanced imaging, in identifying abnormal bullet trajectories and guiding appropriate management.

摘要

胸部枪伤(GSWs)常因心脏、肺和主动脉等重要器官受伤而导致高死亡率。异常的子弹轨迹使诊断和治疗变得复杂,尤其是当子弹留在体内且没有出口伤口时。本病例报告描述了一个罕见的案例,即枪伤从前胸壁进入,最终停留在直肠区域且没有出口伤口。最初的胸部和腹部影像学检查未显示急性病变;然而,包括腹部和胸部增强计算机断层扫描(CT)在内的高级影像学检查显示,子弹沿着非典型轨迹行进,穿过小肠、膀胱和耻骨支,然后停留在坐骨肛门下区域。患者因肠道和膀胱损伤接受了成功的手术干预。本病例强调了全面的二次评估(包括高级影像学检查)在识别异常子弹轨迹和指导适当治疗方面的重要性。

https://cdn.ncbi.nlm.nih.gov/pmc/blobs/d1e9/12356479/8264261b80b4/cureus-0017-00000088096-i01.jpg

文献AI研究员

20分钟写一篇综述,助力文献阅读效率提升50倍。

立即体验

用中文搜PubMed

大模型驱动的PubMed中文搜索引擎

马上搜索

文档翻译

学术文献翻译模型,支持多种主流文档格式。

立即体验