Suppr超能文献

踝关节处腱鞘囊肿罕见卡压腓深神经

Rare Entrapment of the Deep Peroneal Nerve by a Ganglion Cyst at the Ankle.

作者信息

Gerstner Saucedo Jochen, Coriat Natalia, Tamayo Yudel, Moreno Jorge, Ramirez Carlos E, Gerstner Juan, Nassar de Castro Cardoso Fabiano

机构信息

Diagnostic Radiology, University of Colorado Anschutz Medical Campus, Aurora, USA.

General Surgery, Clinica Imbanaco, Cali, COL.

出版信息

Cureus. 2025 Jul 15;17(7):e87993. doi: 10.7759/cureus.87993. eCollection 2025 Jul.

Abstract

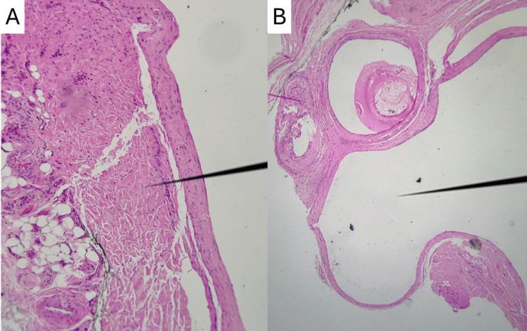
Entrapment of the deep peroneal nerve (DPN) is an uncommon yet clinically significant cause of lateral ankle and dorsal foot pain. Among its rare etiologies, ganglion cysts are often overlooked during initial assessments. We present a case of a 56-year-old woman who reported a six-month history of progressive, electric shock-like pain on the dorsum of her left foot, accompanied by a firm mass on the anterolateral ankle. The pain became constant after three months. A physical exam showed a slightly mobile mass and a positive Tinel sign around the DPN. An MRI revealed a cystic lesion compressing the nerve, which led to prompt surgical excision. During the surgery, a hemorrhagic ganglion cyst compressing the DPN was discovered and excised, and nerve decompression was performed. While uncommon, ganglion cysts should be considered in the differential diagnosis for patients exhibiting focal nerve symptoms and soft tissue masses. Timely surgical intervention might help prevent chronic neuropathy and promote functional restoration.

摘要

腓深神经(DPN)卡压是导致外侧踝关节和足背疼痛的一种不常见但具有临床意义的原因。在其罕见病因中,腱鞘囊肿在初次评估时常常被忽视。我们报告一例56岁女性,她自述左脚背有6个月渐进性电击样疼痛病史,伴有踝关节前外侧一质硬肿块。3个月后疼痛持续存在。体格检查显示肿块稍有活动,DPN周围Tinel征阳性。磁共振成像(MRI)显示一个压迫神经的囊性病变,随即进行了手术切除。手术中发现一个压迫DPN的出血性腱鞘囊肿并将其切除,同时进行了神经减压。尽管不常见,但对于出现局灶性神经症状和软组织肿块的患者,鉴别诊断时应考虑腱鞘囊肿。及时的手术干预可能有助于预防慢性神经病变并促进功能恢复。

https://cdn.ncbi.nlm.nih.gov/pmc/blobs/fc9f/12352482/0b9cd601cd05/cureus-0017-00000087993-i01.jpg

文献检索

告别复杂PubMed语法,用中文像聊天一样搜索,搜遍4000万医学文献。AI智能推荐,让科研检索更轻松。

立即免费搜索

文件翻译

保留排版,准确专业,支持PDF/Word/PPT等文件格式,支持 12+语言互译。

免费翻译文档

深度研究

AI帮你快速写综述,25分钟生成高质量综述,智能提取关键信息,辅助科研写作。

立即免费体验