Suppr超能文献

经皮植入自膨式肺动脉瓣:来自意大利儿科学会(SICPED)金星-P瓣注册研究的真实世界经验结果

Percutaneous implantation of self-expanding pulmonary valves: results from real-life experience of the Venus-P valve Registry of the Italian Society of Pediatric Cardiology (SICPED).

作者信息

Pilati M, D'Aiello F A, Chessa M, Santoro G, Donti A, Mariucci E, Marrone C, Annoni G, Gaio G, Rebonato M, Piccinelli E, Cheli M, Formigari R, Butera G

机构信息

Cardiology, Cardiac Surgery and Heart Lung Transplantation: Bambino Gesù Hospital and Research Institute, IRCCS, Rome, Italy.

ACHD UNIT, Pediatric and Adult Congenital Heart Centre, IRCCS-Policlinico San Donato, Milan, Italy.

出版信息

Int J Cardiol Congenit Heart Dis. 2025 Jul 16;21:100609. doi: 10.1016/j.ijcchd.2025.100609. eCollection 2025 Sep.

Abstract

BACKGROUND

Self-expandable valves may have a significant impact on the feasibility of transcatheter treatments of RVOT dysfunction. Venus P valve is the first autoexpadable Valve that received CE mark in 2022. Here, we are reporting on a multicenter data collection about patients undergoing Venus P valve implantation in Italy.

MATERIALS

Seven italian centers were included in the study. Data were collected from patients treated with a venus P valve between July 2022 and May 2024. Indication for percutaneous valve implantation were in accordance with published guidelines.

RESULTS

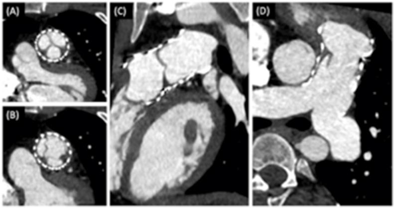
During the study period, a total of 65 patients were considered eligible to percutaneous implantation of a Venus P valve. Median age at procedure was 35 years (IQR 12-63 years) median weight 63 Kg (IQR 33-103 Kg). Indication for PPVI was severe regurgitation in all subjects but one where ventricular pressure was increased because of stenosis on a homograft conduit and pulmonary arteries which needed previous bilateral stenting. Venus P valve was implanted successfully in 61/65(94 %) patients. Four procedural complications occurred(6 %): 1 artero-venous fistula, 1 pulmonary bleeding, 1 hemothorax and a pulmonary oedema. During follow up (median 13 months,1-20months), all patients experienced a significant improvement of functional class. Neither deaths or re-intervention occurred. CT Scan showed hypoattenuating leaflet thickness (HALT) in 4 patients and one of them experienced endocarditis 12 months after the procedure.

CONCLUSIONS

Our study shows that Venus P valve implantation is safe and results are stable during a short-to-medium term follow-up. Endocarditis and HALT are inducing some concern and larger studies are needed.

摘要

背景

自膨胀瓣膜可能对右心室流出道功能障碍的经导管治疗可行性产生重大影响。Venus P瓣膜是2022年首个获得CE标志的自膨胀瓣膜。在此,我们报告一项关于意大利接受Venus P瓣膜植入患者的多中心数据收集情况。

材料

该研究纳入了7个意大利中心。收集了2022年7月至2024年5月期间接受Venus P瓣膜治疗患者的数据。经皮瓣膜植入的指征符合已发表的指南。

结果

在研究期间,共有65例患者被认为符合经皮植入Venus P瓣膜的条件。手术时的中位年龄为35岁(四分位间距12 - 63岁),中位体重63千克(四分位间距33 - 103千克)。除1例因同种异体移植物导管和肺动脉狭窄导致心室压力升高且此前需要双侧支架置入外,所有受试者经皮肺动脉瓣植入术的指征均为严重反流。65例患者中有61例(94%)成功植入Venus P瓣膜。发生了4例手术并发症(6%):1例动静脉瘘、1例肺出血、1例血胸和1例肺水肿。在随访期间(中位13个月,1 - 20个月),所有患者的心功能分级均有显著改善。未发生死亡或再次干预情况。CT扫描显示4例患者存在瓣叶厚度低密度(HALT),其中1例在术后12个月发生心内膜炎。

结论

我们的研究表明,Venus P瓣膜植入是安全的,且在短期至中期随访期间结果稳定。心内膜炎和HALT引发了一些担忧,需要开展更大规模的研究。

https://cdn.ncbi.nlm.nih.gov/pmc/blobs/095c/12355537/7a1c1b840cd9/gr1.jpg

相似文献

7
Systemic pharmacological treatments for chronic plaque psoriasis: a network meta-analysis.
Cochrane Database Syst Rev. 2017 Dec 22;12(12):CD011535. doi: 10.1002/14651858.CD011535.pub2.
8
Systemic pharmacological treatments for chronic plaque psoriasis: a network meta-analysis.
Cochrane Database Syst Rev. 2021 Apr 19;4(4):CD011535. doi: 10.1002/14651858.CD011535.pub4.
9
Systemic pharmacological treatments for chronic plaque psoriasis: a network meta-analysis.
Cochrane Database Syst Rev. 2020 Jan 9;1(1):CD011535. doi: 10.1002/14651858.CD011535.pub3.
10
Drugs for preventing postoperative nausea and vomiting in adults after general anaesthesia: a network meta-analysis.
Cochrane Database Syst Rev. 2020 Oct 19;10(10):CD012859. doi: 10.1002/14651858.CD012859.pub2.

本文引用的文献

2
Auto-expandable pulmonary valve leaflet microthrombosis: a subtle and dangerous phenomenon.
Eur Heart J Cardiovasc Imaging. 2023 Dec 21;25(1):e56. doi: 10.1093/ehjci/jead260.
3
Long-Term Outcomes After Melody Transcatheter Pulmonary Valve Replacement in the US Investigational Device Exemption Trial.
Circ Cardiovasc Interv. 2022 Jan;15(1):e010852. doi: 10.1161/CIRCINTERVENTIONS.121.010852. Epub 2021 Dec 21.
4
The impact of hypo-attenuated leaflet thickening on haemodynamic valve deterioration following transcatheter aortic valve replacement.
J Cardiovasc Comput Tomogr. 2022 Mar-Apr;16(2):168-173. doi: 10.1016/j.jcct.2021.11.013. Epub 2021 Nov 26.
5
Outcomes of Venus P-valve for dysfunctional right ventricular outflow tracts from Indian Venus P-valve database.
Ann Pediatr Cardiol. 2021 Jul-Sep;14(3):281-292. doi: 10.4103/apc.APC_175_20. Epub 2021 Aug 26.
6
Hypoattenuated Leaflet Thickening After Transcatheter Pulmonary Valve Replacement With the SAPIEN 3 Valve.
JACC Cardiovasc Imaging. 2021 Oct;14(10):2047-2048. doi: 10.1016/j.jcmg.2021.04.023. Epub 2021 Jun 16.
7
2020 ESC Guidelines for the management of adult congenital heart disease.
Eur Heart J. 2021 Feb 11;42(6):563-645. doi: 10.1093/eurheartj/ehaa554.

文献AI研究员

20分钟写一篇综述,助力文献阅读效率提升50倍。

立即体验

用中文搜PubMed

大模型驱动的PubMed中文搜索引擎

马上搜索

文档翻译

学术文献翻译模型,支持多种主流文档格式。

立即体验