Suppr超能文献

一名成年男性患者孤立性左肺发育不全的罕见病例。

A Rare Case of Isolated Left Pulmonary Agenesis in an Adult Male Patient.

作者信息

Sarkar Nilanjan, Chakravarty Rohit, Mukhopadhyay Sandipan

机构信息

Radiology, Tata Main Hospital, Jamshedpur, IND.

出版信息

Cureus. 2025 Jul 17;17(7):e88201. doi: 10.7759/cureus.88201. eCollection 2025 Jul.

Abstract

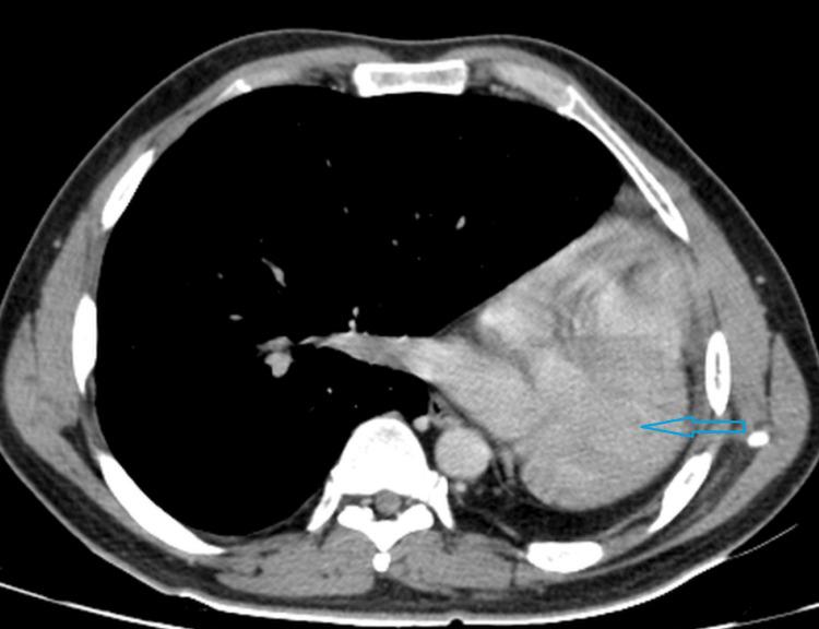
Pulmonary agenesis is a rare congenital condition where there is no development of pulmonary tissue beyond the carina. One or both lungs may be involved, but bilateral involvement is not compatible with extra-uterine existence. If one lung is involved, it is most commonly the left side. However, right lung involvement is more frequently associated with other inborn anomalies and severity in presentation. Here, we report a 19-year-old male patient having complete agenesis of the left lung, presenting with recurrent episodes of nonspecific cough, without fever and dyspnea on exertion. His vitals were stable on examination, and all routine laboratory blood tests were normal. Chest auscultation revealed the absence of breath sounds in most of the left hemithorax. Chest wall movement was less compared to the right side. A chest radiograph was advised, which showed opacity in the left hemithorax, suspicious of a collapsed lung with mediastinal shift. To determine the nature of the opacity, a computed tomography (CT) scan of the chest was conducted, revealing complete agenesis of the left lung, along with ipsilateral shift of the heart and compensatory hyperinflation of the right lung. Unilateral lung agenesis may remain asymptomatic until adulthood. Radiological investigations like chest radiograph may be useful in the diagnosis, but a CT scan of the chest can confirm the diagnosis with status of the pulmonary vasculature and bronchial tree.

摘要

肺不发育是一种罕见的先天性疾病,在隆突以下没有肺组织发育。一侧或双侧肺可能受累,但双侧受累与宫外生存不相符。如果一侧肺受累,最常见的是左侧。然而,右侧肺受累更常与其他先天性异常及临床表现的严重程度相关。在此,我们报告一名19岁男性患者,其左肺完全不发育,表现为反复出现的非特异性咳嗽,无发热及劳力性呼吸困难。检查时生命体征稳定,所有常规实验室血液检查均正常。胸部听诊发现左半侧胸廓大部分区域呼吸音消失。与右侧相比,胸壁活动较少。建议进行胸部X线检查,结果显示左半侧胸廓不透光,怀疑肺萎陷伴纵隔移位。为确定不透光区的性质,进行了胸部计算机断层扫描(CT),结果显示左肺完全不发育,同时心脏向同侧移位,右肺代偿性过度充气。单侧肺不发育在成年前可能一直无症状。胸部X线等影像学检查对诊断可能有用,但胸部CT扫描可通过肺血管系统和支气管树的情况确诊。

https://cdn.ncbi.nlm.nih.gov/pmc/blobs/1986/12359305/56fac0b9542d/cureus-0017-00000088201-i01.jpg

文献AI研究员

20分钟写一篇综述,助力文献阅读效率提升50倍。

立即体验

用中文搜PubMed

大模型驱动的PubMed中文搜索引擎

马上搜索

文档翻译

学术文献翻译模型,支持多种主流文档格式。

立即体验