Suppr超能文献

烟囱式胸段血管腔内主动脉修复术后与沟相关的Ia型内漏的经皮经胸线圈栓塞术。

Percutaneous transthoracic coil embolization of a gutter-related type Ia endoleak after chimney thoracic endovascular aortic repair.

作者信息

Huistra Emiel W M, Tielliu Ignace F J, Mazuri Aryan, Kater G Matthijs, Zeebregts Clark J

机构信息

Division of Vascular Surgery, Department of Surgery, University Medical Center Groningen, University of Groningen, Groningen, the Netherlands.

Department of Radiology, University Medical Center Groningen, University of Groningen, Groningen, the Netherlands.

出版信息

J Vasc Surg Cases Innov Tech. 2025 Jul 7;11(5):101906. doi: 10.1016/j.jvscit.2025.101906. eCollection 2025 Oct.

Abstract

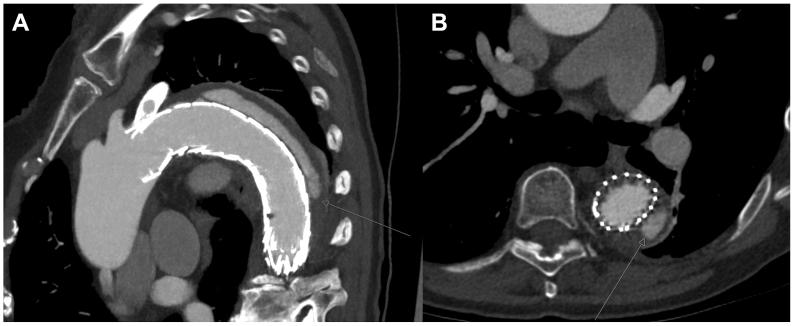
This report describes the treatment of a gutter-related type Ia endoleak after chimney thoracic endovascular aortic repair to the left subclavian artery. The aneurysm sac was accessed via direct percutaneous transthoracic puncture, followed by selective catheterization of the gutter. Angiography confirmed the endoleak, which was treated with coil embolization. Track embolization was performed using Histoacryl glue. Follow-up computed tomography angiography demonstrated complete resolution of the endoleak. Percutaneous transthoracic coil embolization seems to be a feasible and effective treatment for gutter-related type Ia endoleak after chimney thoracic endovascular aortic repair. Given the anatomical complexity and variation in access options, treatment strategies should be individualized.

摘要

本报告描述了在经烟囱技术行胸段主动脉腔内修复术至左锁骨下动脉后,对与肋间沟相关的Ia型内漏的治疗。通过直接经皮经胸穿刺进入瘤腔,随后对肋间沟进行选择性插管。血管造影证实了内漏,采用弹簧圈栓塞进行治疗。使用组织黏合剂进行追踪栓塞。随访计算机断层扫描血管造影显示内漏完全消失。经皮经胸弹簧圈栓塞似乎是经烟囱技术行胸段主动脉腔内修复术后与肋间沟相关的Ia型内漏的一种可行且有效的治疗方法。鉴于解剖结构的复杂性和入路选择的差异,治疗策略应个体化。

https://cdn.ncbi.nlm.nih.gov/pmc/blobs/7659/12363459/8ca7d4704d58/gr1.jpg

文献AI研究员

20分钟写一篇综述,助力文献阅读效率提升50倍。

立即体验

用中文搜PubMed

大模型驱动的PubMed中文搜索引擎

马上搜索

文档翻译

学术文献翻译模型,支持多种主流文档格式。

立即体验