Suppr超能文献

一名两岁儿童因大脑大静脉动脉瘤样畸形导致的双侧弥漫性脑钙化:一种罕见的表现。

Diffuse bilateral cerebral calcification caused by Vein of Galen aneurysmal malformation in a two-year-old child: A rare presentation.

作者信息

Tesfaye Yenewub Muluken, Solomon Daniel Zewdneh, Lakew Yeabsira Feleke, Tesfaye Sineshaw Muluken, Alemu Mesay Tilahun

机构信息

Department of radiology, college of health science, Addis Ababa University, Addis Ababa, Ethiopia.

Lideta health center, Addis Ababa University, Addis Ababa, Ethiopia.

出版信息

Radiol Case Rep. 2025 Aug 5;20(10):5292-5295. doi: 10.1016/j.radcr.2025.07.031. eCollection 2025 Oct.

Abstract

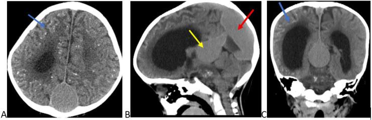
Intracranial calcification in pediatric patients below the age of 6 years is almost always pathologic. There are several causes of intracranial calcification, including congenital intracranial arteriovenous malformations, congenital infections, and neoplasms. Vein of Galen aneurysmal malformation is the most common of the congenital intracranial arteriovenous malformations. An untreated vein of Galen aneurysmal malformation causes chronic venous ischemia, leading to parenchymal dystrophic calcification. Here we report a case of a 2-year-old male child with developmental delay, seizure, hydrocephalus, and bilateral diffuse cerebral dystrophic calcification. In conclusion, in an appropriate clinical setting, although very rare, a vein of Galen aneurysmal malformation should be considered in the differential diagnosis of diffuse intracranial calcification, especially after ruling out TORCH infections.

摘要

6岁以下儿童的颅内钙化几乎总是病理性的。颅内钙化有多种原因,包括先天性颅内动静脉畸形、先天性感染和肿瘤。大脑大静脉瘤样畸形是先天性颅内动静脉畸形中最常见的。未经治疗的大脑大静脉瘤样畸形会导致慢性静脉缺血,进而导致实质营养不良性钙化。我们在此报告一例2岁男童,有发育迟缓、癫痫、脑积水以及双侧弥漫性脑营养不良性钙化。总之,在适当的临床情况下,尽管非常罕见,但在弥漫性颅内钙化的鉴别诊断中应考虑大脑大静脉瘤样畸形,尤其是在排除TORCH感染之后。

https://cdn.ncbi.nlm.nih.gov/pmc/blobs/509b/12365820/71134c41c62a/gr1.jpg

文献AI研究员

20分钟写一篇综述,助力文献阅读效率提升50倍。

立即体验

用中文搜PubMed

大模型驱动的PubMed中文搜索引擎

马上搜索

文档翻译

学术文献翻译模型,支持多种主流文档格式。

立即体验