Suppr超能文献

一名68岁男性在接受14厘米腹主动脉瘤紧急血管内修复术后发生主动脉十二指肠瘘。

Aorto-Duodenal Fistula After Emergency Endovascular Repair of a 14-cm Abdominal Aortic Aneurysm in a 68-Year-Old Man.

作者信息

Romanowska Maja Anna, Kuse Miare, Yel Elizabet Talia, Ostrowski Tomasz, Gąsiorowski Oskar, Gałązka Zbigniew

机构信息

Department of General,Vascular, Endocrine, and Transplant Surgery, Medical University of Warsaw, Warsaw, Poland.

出版信息

Am J Case Rep. 2025 Aug 22;26:e948062. doi: 10.12659/AJCR.948062.

Abstract

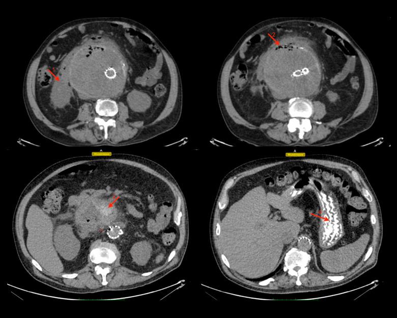
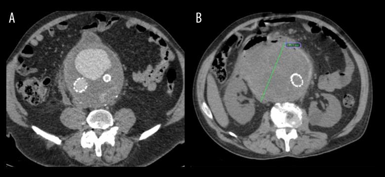
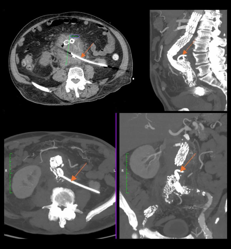
BACKGROUND Aorto-duodenal fistula (ADF) is a communication between the aorta and the duodenum and requires urgent aortic repair. However, it often leads to life-threatening complications. Thus, an early and appropriate diagnostic method is necessary to deliver adequate treatment. This report describes the case of a 68-year-old man with anaorto-duodenal fistula following emergency endovascular repair of a 14-cm abdominal aortic aneurysm (AAA) identified using oral contrast computed tomography (CT), and discusses the consequences of delayed treatment and ADF management. CASE REPORT We present a case of a 68-year-old White man with abdominal bloating, who upon further examination was diagnosed with an AAA, which was successfully treated by endovascular aneurysm repair (EVAR). However, 1 year later, an endoleak was discovered and, despite the physicians' efforts, the overall treatment was complicated due to the patient's continuous postponement of treatment over several years. The aneurysm continued to expand until it reached 14 cm. Despite the successful endovascular repair of the endoleak, a duodeno-aortic fistula (DAF) was diagnosed using CT with oral contrast. The patient was managed conservatively with aneurysmal sac drainage and antibiotic therapy, which decreased the size of the aneurysmal sac. Despite early diagnostic efforts and interventions, the patient's condition deteriorated due to further complications, ultimately resulting in death. CONCLUSIONS This case report demonstrates a potential useful diagnostic role of CT with oral contrast in detecting DAF, in situations when other methods fail to do so, and emphasizes the importance of prompt intervention to prevent life-threatening complications. However, further investigations to explore the underlying mechanism and its replicability are required.

摘要

背景 主动脉十二指肠瘘(ADF)是主动脉与十二指肠之间的连通,需要紧急进行主动脉修复。然而,它常常导致危及生命的并发症。因此,需要一种早期且合适的诊断方法来进行充分治疗。本报告描述了一例68岁男性患者,在使用口服对比剂计算机断层扫描(CT)确诊为14厘米腹主动脉瘤(AAA)并进行紧急血管内修复后发生主动脉十二指肠瘘的病例,并讨论了延迟治疗的后果及ADF的处理。病例报告 我们报告一例68岁白人男性患者,有腹部胀满症状,进一步检查诊断为AAA,通过血管内动脉瘤修复术(EVAR)成功治疗。然而,1年后发现内漏,尽管医生努力,但由于患者多年来持续推迟治疗,整体治疗变得复杂。动脉瘤持续扩大直至达到14厘米。尽管成功进行了内漏的血管内修复,但通过口服对比剂CT诊断出十二指肠主动脉瘘(DAF)。患者接受了动脉瘤囊引流和抗生素治疗的保守治疗,这减小了动脉瘤囊的大小。尽管进行了早期诊断和干预,但由于进一步的并发症,患者病情恶化,最终导致死亡。结论 本病例报告表明,在其他方法无法检测到DAF的情况下,口服对比剂CT在检测DAF方面具有潜在的有用诊断作用,并强调了及时干预以预防危及生命并发症的重要性。然而,需要进一步研究以探索其潜在机制及其可重复性。

https://cdn.ncbi.nlm.nih.gov/pmc/blobs/3876/12379741/5e427e236447/amjcaserep-26-e948062-g001.jpg

相似文献

2
Endovascular treatment for ruptured abdominal aortic aneurysm.
Cochrane Database Syst Rev. 2017 May 26;5(5):CD005261. doi: 10.1002/14651858.CD005261.pub4.
5
Endovascular treatment for ruptured abdominal aortic aneurysm.
Cochrane Database Syst Rev. 2014 Jul 21(7):CD005261. doi: 10.1002/14651858.CD005261.pub3.
6
Endovascular repair of abdominal aortic aneurysm.
Cochrane Database Syst Rev. 2014 Jan 23;2014(1):CD004178. doi: 10.1002/14651858.CD004178.pub2.
7
Laparoscopic surgery for elective abdominal aortic aneurysm repair.
Cochrane Database Syst Rev. 2017 May 4;5(5):CD012302. doi: 10.1002/14651858.CD012302.pub2.
8
Ultrasonography for endoleak detection after endoluminal abdominal aortic aneurysm repair.
Cochrane Database Syst Rev. 2017 Jun 9;6(6):CD010296. doi: 10.1002/14651858.CD010296.pub2.
9
Totally percutaneous versus surgical cut-down femoral artery access for elective bifurcated abdominal endovascular aneurysm repair.
Cochrane Database Syst Rev. 2023 Jan 11;1(1):CD010185. doi: 10.1002/14651858.CD010185.pub4.
10
Is intervention better than surveillance in patients with type 2 endoleak post-endovascular abdominal aortic aneurysm repair?
Interact Cardiovasc Thorac Surg. 2015 Jan;20(1):128-34. doi: 10.1093/icvts/ivu335. Epub 2014 Oct 9.

本文引用的文献

1
Aortoduodenal fistulas after endovascular abdominal aortic aneurysm repair and open aortic repair.
J Vasc Surg. 2021 Sep;74(3):711-719.e1. doi: 10.1016/j.jvs.2021.02.027. Epub 2021 Mar 5.
2
Type 2 Endoleak Management.
Semin Intervent Radiol. 2020 Oct;37(4):365-370. doi: 10.1055/s-0040-1715873. Epub 2020 Oct 1.
3
Type II Endoleaks After EVAR: A Literature Review of Current Concepts.
Vasc Endovascular Surg. 2020 Nov;54(8):718-724. doi: 10.1177/1538574420945448. Epub 2020 Aug 3.
4
Secondary Aorto-enteric Fistula and Type II Endoleak Five Years after Endovascular Abdominal Aortic Aneurysm Repair.
EJVES Short Rep. 2019 May 16;43:12-17. doi: 10.1016/j.ejvssr.2019.04.003. eCollection 2019.
5
Open versus Endovascular Repair of Abdominal Aortic Aneurysm.
N Engl J Med. 2019 May 30;380(22):2126-2135. doi: 10.1056/NEJMoa1715955.
6
Repair of abdominal aortic aneurysms: preoperative imaging and evaluation.
Cardiovasc Diagn Ther. 2018 Apr;8(Suppl 1):S157-S167. doi: 10.21037/cdt.2018.01.01.
8
Aorto-duodenal fistula: a rare but serious complication of gastrointestinal hemorrhage. A case report.
Acta Med Litu. 2016;23(3):165-168. doi: 10.6001/actamedica.v23i3.3380.
10
Editor's Choice - Management of Secondary Aorto-enteric and Other Abdominal Arterio-enteric Fistulas: A Review and Pooled Data Analysis.
Eur J Vasc Endovasc Surg. 2016 Dec;52(6):770-786. doi: 10.1016/j.ejvs.2016.09.014. Epub 2016 Nov 9.

文献AI研究员

20分钟写一篇综述,助力文献阅读效率提升50倍。

立即体验

用中文搜PubMed

大模型驱动的PubMed中文搜索引擎

马上搜索

文档翻译

学术文献翻译模型,支持多种主流文档格式。

立即体验