• 文献检索
  • 文档翻译
  • 深度研究
  • 学术资讯
  • Suppr Zotero 插件Zotero 插件
  • 邀请有礼
  • 套餐&价格
  • 历史记录
应用&插件
Suppr Zotero 插件Zotero 插件浏览器插件Mac 客户端Windows 客户端微信小程序
定价
高级版会员购买积分包购买API积分包
服务
文献检索文档翻译深度研究API 文档MCP 服务
关于我们
关于 Suppr公司介绍联系我们用户协议隐私条款
关注我们

Suppr 超能文献

核心技术专利:CN118964589B侵权必究
粤ICP备2023148730 号-1Suppr @ 2026

文献检索

告别复杂PubMed语法,用中文像聊天一样搜索,搜遍4000万医学文献。AI智能推荐,让科研检索更轻松。

立即免费搜索

文件翻译

保留排版,准确专业,支持PDF/Word/PPT等文件格式,支持 12+语言互译。

免费翻译文档

深度研究

AI帮你快速写综述,25分钟生成高质量综述,智能提取关键信息,辅助科研写作。

立即免费体验

一例原发性阴道恶性中肾混合瘤

A Case of Primary Malignant Mixed Mesonephric Tumor of the Vagina.

作者信息

Maeda Shinichiro, Miki Michiyasu, Aoki Takuya, Yoshioka Shinya, Hara Shigeo

机构信息

Department of Obstetrics and Gynecology, Kobe City Medical Center General Hospital, Kobe, JPN.

Department of Obstetrics and Gynecology, Kyoto Okamoto Memorial Hospital, Kyoto, JPN.

出版信息

Cureus. 2025 Jul 21;17(7):e88468. doi: 10.7759/cureus.88468. eCollection 2025 Jul.

DOI:10.7759/cureus.88468
PMID:40851723
原文链接:https://pmc.ncbi.nlm.nih.gov/articles/PMC12367442/
Abstract

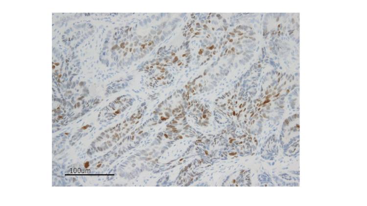
Mesonephric adenocarcinoma is a clinically aggressive, rare malignant neoplasm characterized by mesonephric (Wolffian) differentiation. It can occur throughout the female genital tract; however, most cases arise in the uterine cervix. Vaginal mesonephric adenocarcinoma is uncommon, and cases with a concomitant sarcomatous component are extremely rare. Using appropriate immunohistochemistry, we present a rare case of a primary malignant mixed mesonephric tumor of the vagina, defined by biphasic epithelial and mesenchymal malignant components of mesonephric origin. The patient was a 34-year-old woman who presented with vaginal pain and bleeding. Pelvic examination and diagnostic imaging revealed a primary vaginal tumor measuring approximately 4 cm without distant metastases. Histological examination of the biopsy specimen revealed an adenocarcinoma with a sarcomatous component. Our initial diagnosis was primary vaginal carcinosarcoma; however, additional immunohistochemistry of the tumor revealed luminal membranous positivity for CD10, diffuse nuclear staining for TTF1, and estrogen receptor negativity. These findings led to a final diagnosis of a primary malignant mixed mesonephric tumor of the vagina. Because of the patient's young age and desire for fertility preservation, curative concurrent chemoradiation was performed after oocyte and ovarian cryopreservation and migration via laparoscopic surgery. The tumor showed a marked reduction in size within three months and remained under control. This case emphasizes the need for clinicians and pathologists to consider the possibility of a mesonephric origin when encountering vaginal adenocarcinoma with a sarcomatous component. Appropriate immunohistochemical analysis is essential for establishing an accurate diagnosis and developing effective therapeutic strategies.

摘要

中肾腺癌是一种临床上具有侵袭性的罕见恶性肿瘤,其特征为中肾(沃尔夫管)分化。它可发生于整个女性生殖道;然而,大多数病例发生在子宫颈。阴道中肾腺癌并不常见,伴有肉瘤成分的病例极为罕见。通过适当的免疫组织化学方法,我们报告了一例罕见的原发性阴道恶性混合性中肾肿瘤病例,其由中肾来源的双相上皮和间充质恶性成分所定义。患者为一名34岁女性,表现为阴道疼痛和出血。盆腔检查和诊断性影像学检查发现一个原发性阴道肿瘤,大小约4厘米,无远处转移。活检标本的组织学检查显示为伴有肉瘤成分的腺癌。我们最初的诊断是原发性阴道癌肉瘤;然而,对肿瘤进行的进一步免疫组织化学检查显示CD10呈管腔膜阳性、TTF1呈弥漫性核染色、雌激素受体阴性。这些发现最终诊断为原发性阴道恶性混合性中肾肿瘤。由于患者年轻且有保留生育功能的愿望,在通过腹腔镜手术进行卵母细胞和卵巢冷冻保存及移位后,进行了根治性同步放化疗。肿瘤在三个月内显著缩小并得到控制。该病例强调,临床医生和病理学家在遇到伴有肉瘤成分的阴道腺癌时,需要考虑中肾起源的可能性。适当的免疫组织化学分析对于准确诊断和制定有效的治疗策略至关重要。

https://cdn.ncbi.nlm.nih.gov/pmc/blobs/c79d/12367442/6c79264f3dc6/cureus-0017-00000088468-i07.jpg
https://cdn.ncbi.nlm.nih.gov/pmc/blobs/c79d/12367442/e31cea5296b6/cureus-0017-00000088468-i01.jpg
https://cdn.ncbi.nlm.nih.gov/pmc/blobs/c79d/12367442/347d1c739361/cureus-0017-00000088468-i02.jpg
https://cdn.ncbi.nlm.nih.gov/pmc/blobs/c79d/12367442/40b7dd9512cf/cureus-0017-00000088468-i03.jpg
https://cdn.ncbi.nlm.nih.gov/pmc/blobs/c79d/12367442/7005618e6418/cureus-0017-00000088468-i04.jpg
https://cdn.ncbi.nlm.nih.gov/pmc/blobs/c79d/12367442/3e5f8e1c8afd/cureus-0017-00000088468-i05.jpg
https://cdn.ncbi.nlm.nih.gov/pmc/blobs/c79d/12367442/2536773fa00b/cureus-0017-00000088468-i06.jpg
https://cdn.ncbi.nlm.nih.gov/pmc/blobs/c79d/12367442/6c79264f3dc6/cureus-0017-00000088468-i07.jpg
https://cdn.ncbi.nlm.nih.gov/pmc/blobs/c79d/12367442/e31cea5296b6/cureus-0017-00000088468-i01.jpg
https://cdn.ncbi.nlm.nih.gov/pmc/blobs/c79d/12367442/347d1c739361/cureus-0017-00000088468-i02.jpg
https://cdn.ncbi.nlm.nih.gov/pmc/blobs/c79d/12367442/40b7dd9512cf/cureus-0017-00000088468-i03.jpg
https://cdn.ncbi.nlm.nih.gov/pmc/blobs/c79d/12367442/7005618e6418/cureus-0017-00000088468-i04.jpg
https://cdn.ncbi.nlm.nih.gov/pmc/blobs/c79d/12367442/3e5f8e1c8afd/cureus-0017-00000088468-i05.jpg
https://cdn.ncbi.nlm.nih.gov/pmc/blobs/c79d/12367442/2536773fa00b/cureus-0017-00000088468-i06.jpg
https://cdn.ncbi.nlm.nih.gov/pmc/blobs/c79d/12367442/6c79264f3dc6/cureus-0017-00000088468-i07.jpg

相似文献

1
A Case of Primary Malignant Mixed Mesonephric Tumor of the Vagina.一例原发性阴道恶性中肾混合瘤
Cureus. 2025 Jul 21;17(7):e88468. doi: 10.7759/cureus.88468. eCollection 2025 Jul.
2
Clinical and pathological analysis of 17 cases of mesonephric-like adenocarcinoma.17例中肾样腺癌的临床与病理分析
Pathol Res Pract. 2025 Sep;273:156110. doi: 10.1016/j.prp.2025.156110. Epub 2025 Jul 18.
3
Carcinosarcoma of the cervix: Clinicopathological features of 17 tumors diagnosed at a Tertiary Cancer Referral Centre, India.子宫颈癌肉瘤:印度一家三级癌症转诊中心诊断的17例肿瘤的临床病理特征
Indian J Pathol Microbiol. 2025 Aug 14. doi: 10.4103/ijpm.ijpm_73_25.
4
Prescription of Controlled Substances: Benefits and Risks管制药品的处方:益处与风险
5
Mesonephric Adenomyofibroma: A Biphasic Vaginal Mass of Mesonephric Type With Molecular Analysis: A Case Report of a Rare Entity.中肾性腺瘤样纤维瘤:具有中肾型的双相阴道肿块伴分子分析:一种罕见实体的病例报告。
Int J Gynecol Pathol. 2023 Sep 1;42(5):523-528. doi: 10.1097/PGP.0000000000000945. Epub 2023 Jan 26.
6
Synchronous Bilateral Ovarian Mesonephric-like Adenocarcinomas with Separate Origins from High-Grade Mullerian Adenosarcoma and Endometriosis: Report of a Rare Case.同步双侧卵巢苗勒管型腺癌,具有源自高级别苗勒管腺肉瘤和子宫内膜异位症的单独起源:罕见病例报告。
Int J Gynecol Pathol. 2024 Jul 1;43(4):382-388. doi: 10.1097/PGP.0000000000000997. Epub 2023 Oct 4.
7
Hymen-Sparing Myomectomy: Innovative Laparoscopic Approach for Prolapsed Pedunculated Cervicovaginal Leiomyoma in a Virgin Case.保留处女膜的子宫肌瘤切除术:针对未婚女性带蒂宫颈阴道平滑肌瘤脱垂的创新腹腔镜手术方法
Int J Womens Health. 2025 Jul 25;17:2313-2323. doi: 10.2147/IJWH.S528452. eCollection 2025.
8
Premature Classification of Early-stage Endometrioid Ovarian Carcinoma With Mesonephric-like Differentiation as Mesonephric-like Adenocarcinoma.将具有中肾样分化的早期子宫内膜样卵巢癌过早分类为中肾样腺癌。
Int J Gynecol Pathol. 2024 Jul 1;43(4):362-372. doi: 10.1097/PGP.0000000000001002. Epub 2024 Mar 4.
9
Are Current Survival Prediction Tools Useful When Treating Subsequent Skeletal-related Events From Bone Metastases?当前的生存预测工具在治疗骨转移后的骨骼相关事件时有用吗?
Clin Orthop Relat Res. 2024 Sep 1;482(9):1710-1721. doi: 10.1097/CORR.0000000000003030. Epub 2024 Mar 22.
10
[Endometriosis-associated ovarian mesonephric-like adenocarcinoma:a clinicopathological analysis of 9 cases].[子宫内膜异位症相关的卵巢中肾样腺癌:9例临床病理分析]
Zhonghua Fu Chan Ke Za Zhi. 2025 Jun 25;60(6):469-476. doi: 10.3760/cma.j.cn112141-20241217-00675.

本文引用的文献

1
Diagnosis, Treatment and Prognosis of Mesonephric Adenocarcinoma of the Vagina: A Literature Review and a Case Report.阴道中肾腺癌的诊断、治疗与预后:文献综述及病例报告
J Clin Med. 2023 Jul 23;12(14):4846. doi: 10.3390/jcm12144846.
2
Updates in the treatment of vaginal cancer.阴道癌治疗的新进展。
Int J Gynecol Cancer. 2022 Mar;32(3):344-351. doi: 10.1136/ijgc-2021-002517.
3
Mesonephric Adenocarcinoma of the Vagina Harboring Mutation.携带突变的阴道中肾腺癌
Diagnostics (Basel). 2022 Jan 5;12(1):119. doi: 10.3390/diagnostics12010119.
4
Clinicopathologic Characteristics of Mesonephric Adenocarcinomas and Mesonephric-like Adenocarcinomas in the Gynecologic Tract: A Multi-institutional Study.妇科生殖道中中肾管腺癌和中肾管样腺癌的临床病理特征:一项多机构研究。
Am J Surg Pathol. 2021 Apr 1;45(4):498-506. doi: 10.1097/PAS.0000000000001612.
5
Clinically relevant molecular subtypes and genomic alteration-independent differentiation in gynecologic carcinosarcoma.妇科癌肉瘤中有临床意义的分子亚型和与基因组改变无关的分化。
Nat Commun. 2019 Oct 31;10(1):4965. doi: 10.1038/s41467-019-12985-x.
6
A Comparison of GATA3, TTF1, CD10, and Calretinin in Identifying Mesonephric and Mesonephric-like Carcinomas of the Gynecologic Tract.GATA3、TTF1、CD10 和 Calretinin 在鉴别妇科移行细胞及移行细胞样癌中的比较。
Am J Surg Pathol. 2018 Dec;42(12):1596-1606. doi: 10.1097/PAS.0000000000001142.
7
Mesonephric proliferations of the female genital tract.女性生殖道中肾管增生。
Pathology. 2018 Feb;50(2):141-150. doi: 10.1016/j.pathol.2017.11.084. Epub 2017 Dec 19.
8
Targeted Genomic Profiling Reveals Recurrent KRAS Mutations in Mesonephric-like Adenocarcinomas of the Female Genital Tract.靶向基因组分析揭示女性生殖器官中苗勒管样腺癌的 KRAS 基因突变。
Am J Surg Pathol. 2018 Feb;42(2):227-233. doi: 10.1097/PAS.0000000000000958.
9
Hormone receptor-negative, thyroid transcription factor 1-positive uterine and ovarian adenocarcinomas: report of a series of mesonephric-like adenocarcinomas.激素受体阴性、甲状腺转录因子 1 阳性的子宫和卵巢腺癌:一系列中肾样腺癌的报道。
Histopathology. 2016 Jun;68(7):1013-20. doi: 10.1111/his.12895. Epub 2016 Jan 4.
10
Carcinosarcoma of the uterine cervix arising from Müllerian ducts.源自苗勒管的子宫颈癌肉瘤
Obstet Gynecol Sci. 2015 May;58(3):251-5. doi: 10.5468/ogs.2015.58.3.251. Epub 2015 May 19.