Garg Archit, Gill Vikram Jeet Singh, Bassi Mehak, Korman Andrew, Broder Arkady
Internal Medicine, Saint Peter's University Hospital/Rutgers Robert Wood Johnson Medical School, New Brunswick, USA.
Gastroenterology and Hepatology, Saint Peter's University Hospital/Rutgers Robert Wood Johnson Medical School, New Brunswick, USA.
Cureus. 2025 Jul 22;17(7):e88551. doi: 10.7759/cureus.88551. eCollection 2025 Jul.
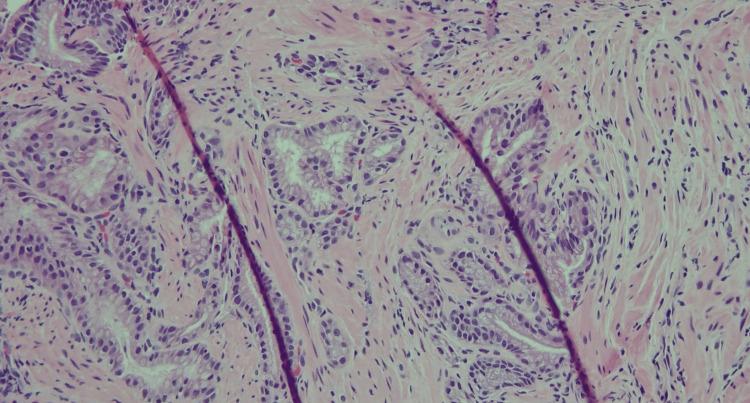
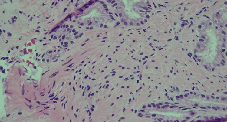
Adenomatous hyperplasia of duodenal Brunner's glands is a rare benign pathology of the duodenum linked to epigastric pain and dyspepsia. However, in rare cases, it can cause intestinal obstruction. Hence, endoscopic or surgical removal of Brunner's gland hyperplasia (BGH) has been suggested to prevent complications including hemorrhage, severe anemia due to persistent bleeding, intussusception, and obstruction. BGH can be managed with endoscopic polypectomy. It represents a less invasive alternative to surgery and is more cost-effective. The medical treatment mainly involves treating gastric hyperacidity, a known cause of BGH, but the regression of BGH is rare. This case report aims to describe and investigate the clinicopathologic features of this rare pathology. The case emphasizes the importance of endoscopy for the evaluation of the refractory gastroesophageal reflux-like presentation and demonstrates that histopathological evaluation remains critical for a definitive diagnosis of BGH and to rule out malignancy. Conservative approaches may suffice in select patients, avoiding invasive interventions. Follow-up remains essential to monitor for recurrence or complications.
十二指肠Brunner腺腺瘤样增生是一种罕见的十二指肠良性病变,与上腹部疼痛和消化不良有关。然而,在罕见情况下,它可导致肠梗阻。因此,有人建议通过内镜或手术切除Brunner腺增生(BGH)以预防包括出血、持续性出血导致的严重贫血、肠套叠和梗阻等并发症。BGH可通过内镜下息肉切除术进行治疗。它是一种侵入性较小的手术替代方法,且更具成本效益。药物治疗主要是治疗胃酸过多(已知的BGH病因),但BGH很少会消退。本病例报告旨在描述和研究这种罕见病变的临床病理特征。该病例强调了内镜检查在评估难治性胃食管反流样表现中的重要性,并表明组织病理学评估对于BGH的明确诊断及排除恶性肿瘤仍然至关重要。在部分患者中,保守方法可能就足够了,可避免侵入性干预。随访对于监测复发或并发症仍然至关重要。