Suppr超能文献

表现为侵袭性真菌感染的面部结节性黑色素瘤:一项诊断挑战。

Facial Nodular Melanoma Presenting as an Invasive Fungal Infection: A Diagnostic Challenge.

作者信息

Schmidt Chloe R, Smith Zachary, Workman Lauren, Xin Vickie, Davila Francisco, Llenos Jean

机构信息

Internal Medicine, Oakland University William Beaumont School of Medicine, Rochester, USA.

Internal Medicine, Corewell Health William Beaumont University Hospital, Royal Oak, USA.

出版信息

Cureus. 2025 Aug 21;17(8):e90668. doi: 10.7759/cureus.90668. eCollection 2025 Aug.

Abstract

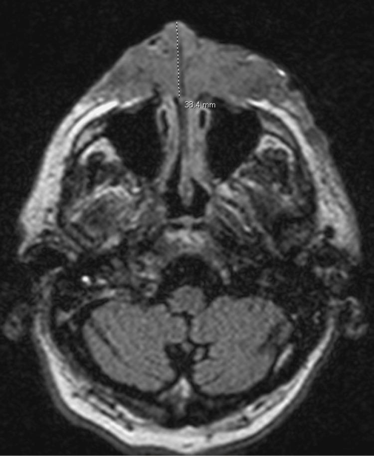
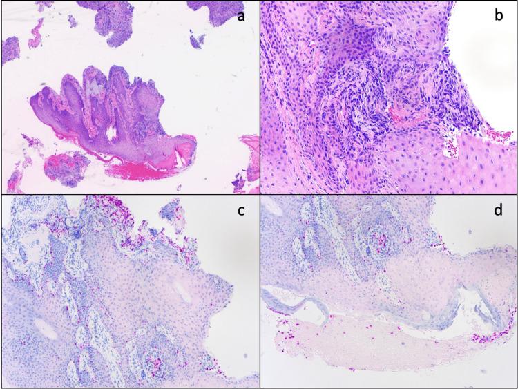
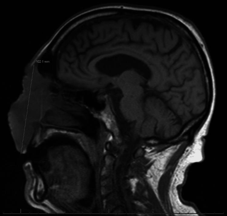
Nodular melanoma is an aggressive subtype of malignant melanoma, accounting for a disproportionate number of melanoma-related deaths due to its rapid progression and early metastatic potential. Despite its distinct histopathological characteristics, clinical diagnosis can be challenging, particularly when the presentation mimics other conditions. We present the case of a 67-year-old male whose facial nodular melanoma was initially treated as an invasive fungal infection due to overlapping clinical and radiographic features, including osseous destruction, soft tissue invasion, and systemic involvement. The patient underwent antifungal therapy, which resulted in acute kidney injury from amphotericin B, prior to a definitive diagnosis by histopathological analysis. This case highlights the importance of maintaining a broad differential diagnosis for atypical facial lesions, especially those with aggressive features or poor response to initial therapies. Early biopsy and tissue evaluation are essential to distinguish malignant melanoma from infectious or inflammatory conditions and to ensure timely, appropriate management.

摘要

结节性黑色素瘤是恶性黑色素瘤的一种侵袭性亚型,因其进展迅速和早期转移潜能,在黑色素瘤相关死亡中占比过高。尽管其具有独特的组织病理学特征,但临床诊断可能具有挑战性,尤其是当临床表现与其他疾病相似时。我们报告一例67岁男性病例,其面部结节性黑色素瘤最初因临床和影像学特征重叠,包括骨质破坏、软组织侵犯和全身受累,而被当作侵袭性真菌感染进行治疗。在通过组织病理学分析明确诊断之前,患者接受了抗真菌治疗,该治疗导致了两性霉素B引起的急性肾损伤。该病例强调了对非典型面部病变保持广泛鉴别诊断的重要性,尤其是那些具有侵袭性特征或对初始治疗反应不佳的病变。早期活检和组织评估对于区分恶性黑色素瘤与感染性或炎症性疾病以及确保及时、恰当的治疗至关重要。

https://cdn.ncbi.nlm.nih.gov/pmc/blobs/fe77/12369569/890ec8868fb7/cureus-0017-00000090668-i01.jpg

文献检索

告别复杂PubMed语法,用中文像聊天一样搜索,搜遍4000万医学文献。AI智能推荐,让科研检索更轻松。

立即免费搜索

文件翻译

保留排版,准确专业,支持PDF/Word/PPT等文件格式,支持 12+语言互译。

免费翻译文档

深度研究

AI帮你快速写综述,25分钟生成高质量综述,智能提取关键信息,辅助科研写作。

立即免费体验