Suppr超能文献

在C9orf72-多聚-GA小鼠中,星形胶质细胞YAP通过Wnts/β-连环蛋白/EAAT2信号介导的退化神经元自我保护的一种未被识别的机制。

An unrecognized mechanism of self-protection in degenerating neurons mediated by astrocytic YAP through Wnts/β-catenin/EAAT2 signaling in C9orf72-poly-GA mice.

作者信息

Li Dongmei, Wei Yan, Yang Rui, Luo Xuan, Liu Yanzhu, Zhao Weiqiao, Yang Hui, Wu Yumin, Wang Ying, Huang Zhihui

机构信息

School of Pharmacy, Hangzhou Normal University, Hangzhou 311121, Zhejiang, China.

Department of Clinical Research Center, Affiliated Hangzhou First People's Hospital, Westlake University School of Medicine, Hangzhou 310006, Zhejiang, China.

出版信息

Theranostics. 2025 Jul 24;15(16):8176-8201. doi: 10.7150/thno.113599. eCollection 2025.

Abstract

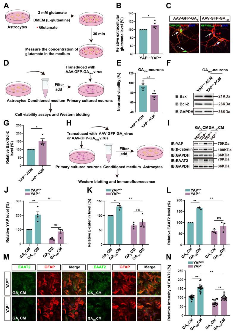
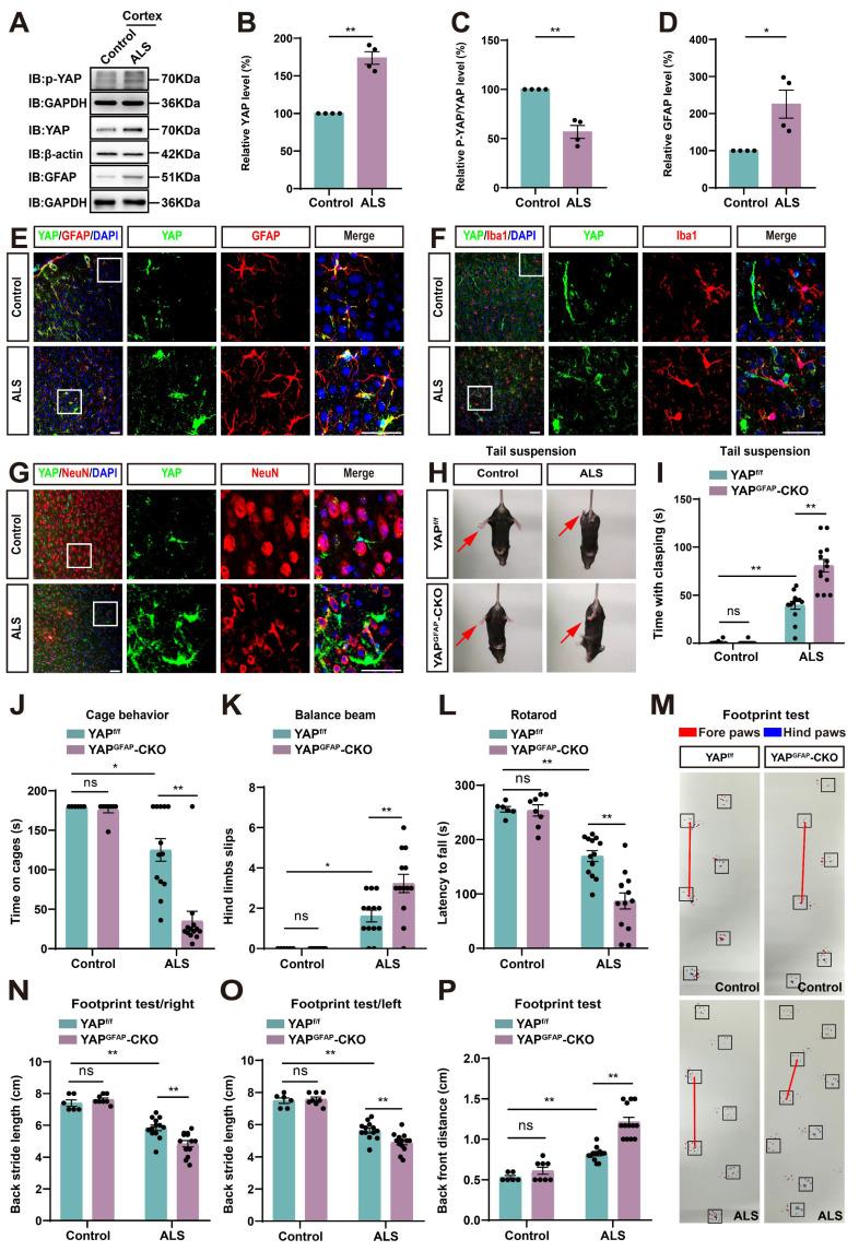
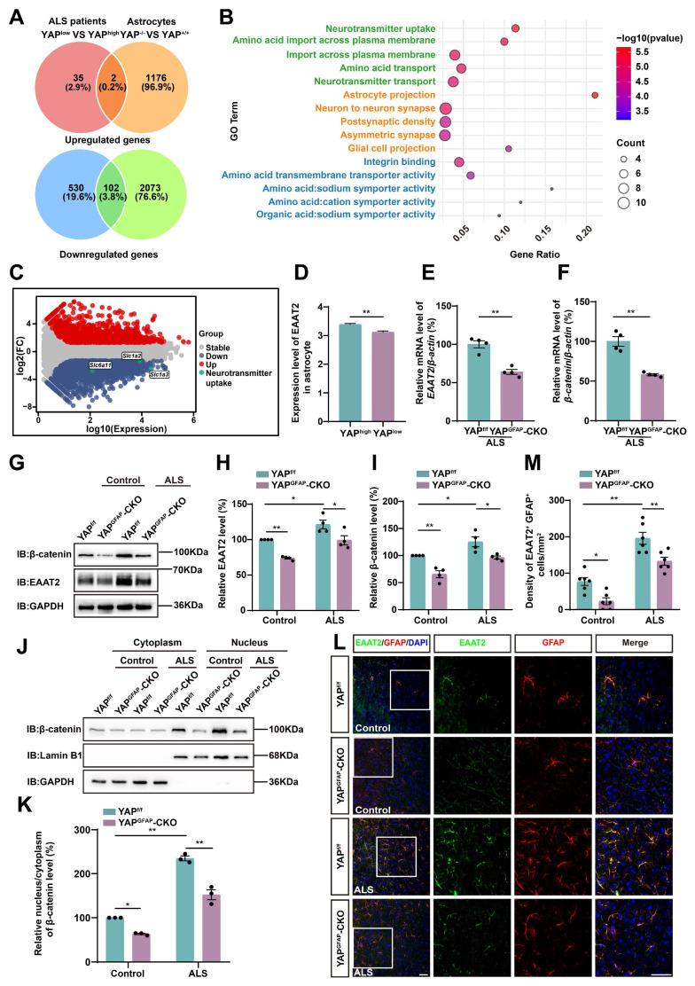
Amyotrophic lateral sclerosis (ALS) is a fatal neurodegenerative disorder characterized by the progressive loss of motor neurons in the central nervous system (CNS). Non-neuronal cells, particularly astrocytes, have been recognized as pivotal contributors to ALS onset and progression. However, the underlying mechanisms of interactions between astrocytes and motor neurons during ALS remain unclear. Recent studies have identified the neuronal Hippo kinase mammalian sterile 20-like kinase 1 (MST1) as a key regulator of neurodegeneration in ALS. Yes-associated protein (YAP), a major downstream effector of the Hippo pathway, is predominantly expressed in astrocytes. However, the role of astrocytic YAP in ALS and its underlying mechanisms remain unexplored. To evaluate the function of YAP in ALS, we established a C9orf72-poly-GA mouse model (ALS mice) via intracerebroventricular injection of AAV viruses. Furthermore, mice with conditional knockout (CKO) of YAP in astrocytes (YAP-CKO mice) were generated and then YAP-CKO ALS mice and their littermate controls (YAP ALS mice) were used as experimental subjects. Behavioral tests, immunostaining, Nissl staining, quantitative real-time PCR (qPCR), and Western blotting were used to assess the effects of astrocytic YAP deletion in ALS progression. In addition, we investigated the role and mechanism of astrocytic YAP in the pathogenesis of ALS by integrating RNA sequencing (RNA-seq) from primary cultured astrocytes with single-nucleus transcriptomic (snRNA-seq) from C9orf72-ALS/FTD patients. Then, experiments including primary cultured astrocytes and neurons were used to further elucidate the potential molecular mechanism of astrocytic YAP in ALS. Finally, we evaluated the therapeutic effects of the excitatory amino acid transporter-2 (EAAT2) activator LDN-212320 and the Hippo kinase MST1/2 inhibitor XMU-MP-1 as candidate treatments for ALS. We found that YAP was upregulated and activated specifically in astrocytes, but not in neurons or microglia, within the motor cortex of ALS mice. Conditional knockout of YAP in astrocytes exacerbated motor deficits, neuronal loss, pathological translocation of TDP-43, inflammatory infiltration, and reduced astrocytic proliferation in ALS mice. Mechanistically, Wnts secreted by degenerating neurons and astrocytes activated YAP/β-catenin signaling and further promoted the expression of EAAT2 in astrocytes, which prevented neuronal glutamate excitotoxicity, neuronal loss, and motor dysfunction in ALS mice. Interestingly, treatment with LDN-212320 promoted EAAT2 expression and partially restored motor deficits and neuronal loss in YAP-CKO ALS mice. Finally, activation of YAP by XMU-MP-1 upregulated β-catenin and EAAT2 expression, and partially alleviated motor deficits and neurodegeneration in ALS mice. These results identify an unrecognized mechanism of self-protection in degenerating neurons mediated by astrocytic YAP through Wnts/β-catenin/EAAT2 signaling to prevent glutamate excitotoxicity of neurons in ALS mice, and provide a novel drug target for ALS.

摘要

肌萎缩侧索硬化症(ALS)是一种致命的神经退行性疾病,其特征是中枢神经系统(CNS)中的运动神经元逐渐丧失。非神经元细胞,尤其是星形胶质细胞,已被认为是ALS发病和进展的关键因素。然而,ALS期间星形胶质细胞与运动神经元之间相互作用的潜在机制仍不清楚。最近的研究已确定神经元Hippo激酶哺乳动物不育20样激酶1(MST1)是ALS神经退行性变的关键调节因子。Yes相关蛋白(YAP)是Hippo通路的主要下游效应物,主要在星形胶质细胞中表达。然而,星形胶质细胞YAP在ALS中的作用及其潜在机制仍未被探索。为了评估YAP在ALS中的功能,我们通过脑室内注射腺相关病毒(AAV)建立了C9orf72-聚GA小鼠模型(ALS小鼠)。此外,构建了星形胶质细胞中YAP条件性敲除(CKO)的小鼠(YAP-CKO小鼠),然后将YAP-CKO ALS小鼠及其同窝对照(YAP ALS小鼠)用作实验对象。采用行为测试、免疫染色、尼氏染色、定量实时PCR(qPCR)和蛋白质免疫印迹法评估星形胶质细胞YAP缺失对ALS进展的影响。此外,我们通过整合原代培养星形胶质细胞的RNA测序(RNA-seq)和C9orf72-ALS/FTD患者的单核转录组学(snRNA-seq),研究星形胶质细胞YAP在ALS发病机制中的作用和机制。然后,利用原代培养的星形胶质细胞和神经元进行实验,进一步阐明星形胶质细胞YAP在ALS中的潜在分子机制。最后,我们评估了兴奋性氨基酸转运体2(EAAT2)激活剂LDN-212320和Hippo激酶MST1/2抑制剂XMU-MP-1作为ALS候选治疗药物的治疗效果。我们发现,在ALS小鼠的运动皮层中,YAP在星形胶质细胞中特异性上调并激活,但在神经元或小胶质细胞中未出现这种情况。星形胶质细胞中YAP的条件性敲除加剧了ALS小鼠的运动缺陷、神经元丢失、TDP-43的病理易位、炎症浸润,并减少了星形胶质细胞增殖。从机制上讲,退化的神经元和星形胶质细胞分泌的Wnts激活了YAP/β-连环蛋白信号通路,并进一步促进了星形胶质细胞中EAAT2的表达,从而预防了ALS小鼠的神经元谷氨酸兴奋性毒性、神经元丢失和运动功能障碍。有趣的是,用LDN-212320治疗可促进EAAT2表达,并部分恢复YAP-CKO ALS小鼠的运动缺陷和神经元丢失。最后,XMU-MP-1激活YAP可上调β-连环蛋白和EAAT2表达,并部分减轻ALS小鼠的运动缺陷和神经退行性变。这些结果确定了一种未被认识的由星形胶质细胞YAP通过Wnts/β-连环蛋白/EAAT2信号介导的退化神经元自我保护机制,以防止ALS小鼠中神经元的谷氨酸兴奋性毒性,并为ALS提供了一个新的药物靶点。

https://cdn.ncbi.nlm.nih.gov/pmc/blobs/6db6/12374586/257fa523ef57/thnov15p8176g001.jpg

文献检索

告别复杂PubMed语法,用中文像聊天一样搜索,搜遍4000万医学文献。AI智能推荐,让科研检索更轻松。

立即免费搜索

文件翻译

保留排版,准确专业,支持PDF/Word/PPT等文件格式,支持 12+语言互译。

免费翻译文档

深度研究

AI帮你快速写综述,25分钟生成高质量综述,智能提取关键信息,辅助科研写作。

立即免费体验