• 文献检索
  • 文档翻译
  • 深度研究
  • 学术资讯
  • Suppr Zotero 插件Zotero 插件
  • 邀请有礼
  • 套餐&价格
  • 历史记录
应用&插件
Suppr Zotero 插件Zotero 插件浏览器插件Mac 客户端Windows 客户端微信小程序
定价
高级版会员购买积分包购买API积分包
服务
文献检索文档翻译深度研究API 文档MCP 服务
关于我们
关于 Suppr公司介绍联系我们用户协议隐私条款
关注我们

Suppr 超能文献

核心技术专利:CN118964589B侵权必究
粤ICP备2023148730 号-1Suppr @ 2026

文献检索

告别复杂PubMed语法,用中文像聊天一样搜索,搜遍4000万医学文献。AI智能推荐,让科研检索更轻松。

立即免费搜索

文件翻译

保留排版,准确专业,支持PDF/Word/PPT等文件格式,支持 12+语言互译。

免费翻译文档

深度研究

AI帮你快速写综述,25分钟生成高质量综述,智能提取关键信息,辅助科研写作。

立即免费体验

CREPT通过增强CDK9和RNA聚合酶II的组装来促进ERK驱动的基因转录,从而推动肺腺癌进展。

CREPT promotes LUAD progression by enhancing the CDK9 and RNAPII assembly to promote ERK-driven gene transcription.

作者信息

Li Mengdi, Lin Yuting, Wang Jiayu, Yang He, Ma Danhui, Tian Ye, Wang Yi, Yang Liu, Farooq Umar, Wang Yinyin, Ren Fangli, Sheng Jian, Zhang Guoqing, Chen Liang, Li Jun, Li Xiangnan, Chang Zhijie

机构信息

State Key Laboratory of Membrane Biology, School of Basic Medical Sciences, School of Medicine, Tsinghua University, Beijing, 100084, China.

Beijing Tsinghua Changgung Hospital, School of Clinical Medicine, Tsinghua University, Beijing, 102218, China.

出版信息

Theranostics. 2025 Jul 25;15(16):8337-8359. doi: 10.7150/thno.115572. eCollection 2025.

DOI:10.7150/thno.115572
PMID:40860160
原文链接:https://pmc.ncbi.nlm.nih.gov/articles/PMC12374588/
Abstract

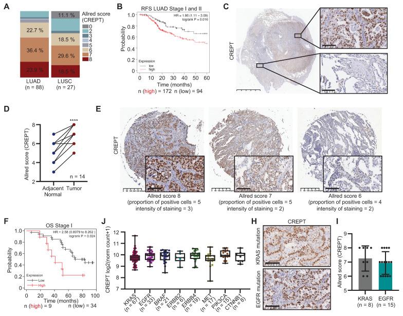
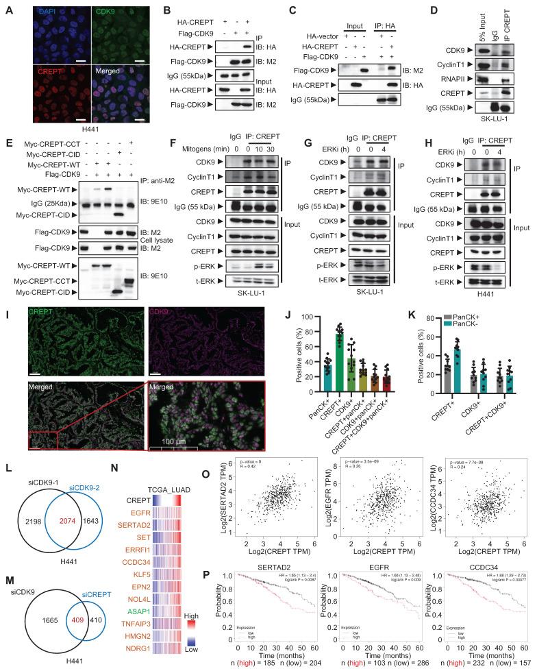
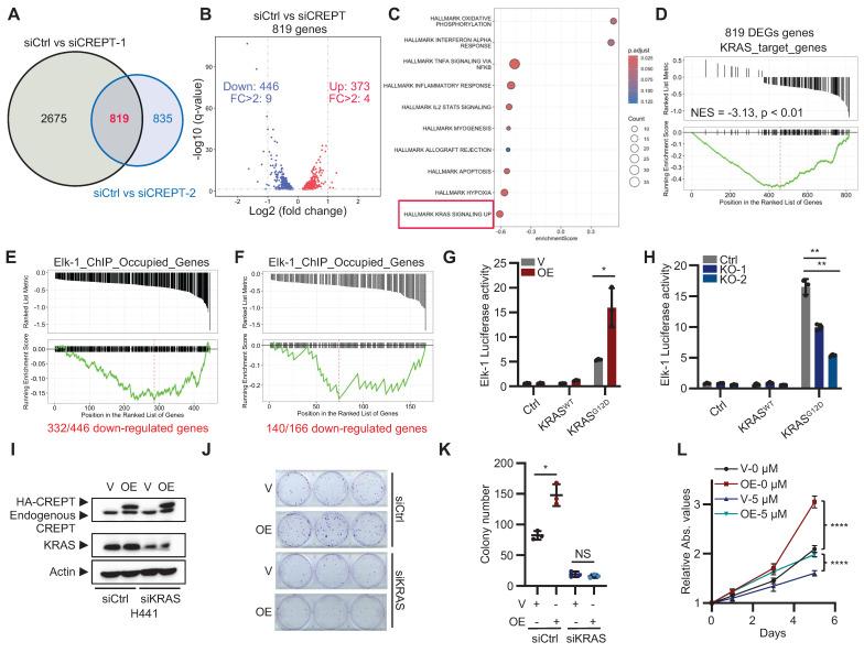
Despite advancements in EGFR- and KRAS-targeted therapies for lung adenocarcinoma (LUAD), novel targets are needed for patients unresponsive or resistant to current treatments. This study demonstrates the critical role of CREPT in modulating ERK-downstream gene transcription in LUAD progression. CREPT expression and function were investigated using human LUAD tissues, EGFR/KRAS mutant LUAD cell lines, and mouse models. Micro-CT was used to monitor tumor progression. Adeno-associated virus (AAV)-mediated CREPT depletion was employed as a therapeutic strategy. RNA sequencing and luciferase reporter assays identified differentially expressed genes (DEGs) and affected signaling pathways. Protein interactions and CDK9 occupancy were assessed using multiplex immunofluorescence, immunoprecipitation, and chromatin immunoprecipitation (ChIP). CREPT overexpression correlated with poor LUAD patient survival and enhanced tumorigenesis in EGFR or KRAS mutant LUAD cells. deletion impaired LUAD initiation and progression in the CC10-rtTA;TetO- mouse model. Mechanistically, CREPT promoted CDK9 assembly with RNA polymerase II (RNAPII) following ERK activation, enhancing transcription of malignancy-related genes downstream of KRAS-ERK-Elk-1 signaling. CREPT depletion and the mutants R106A and S134A disrupting CREPT-RNAPII interaction reduced CDK9 occupancy at Elk-1 downstream gene promoters and their expression. Targeting CREPT in both CC10-rtTA;TetO- and xenograft mouse models resulted in tumor growth arrest. Furthermore, in a humanized mouse model, AAV-mediated CREPT silencing inhibited tumor progression and showed synergistic potential with pembrolizumab. Our findings highlight CREPT as a pivotal regulator of LUAD progression and suggest it could be a potential therapeutic target for patients with EGFR or KRAS mutations insensitive or resistant to targeted therapies.

摘要

尽管针对肺腺癌(LUAD)的表皮生长因子受体(EGFR)和 Kirsten 大鼠肉瘤病毒癌基因(KRAS)靶向治疗取得了进展,但对于对当前治疗无反应或耐药的患者仍需要新的靶点。本研究证明了 CREPT 在调节 LUAD 进展中 ERK 下游基因转录方面的关键作用。使用人 LUAD 组织、EGFR/KRAS 突变型 LUAD 细胞系和小鼠模型研究了 CREPT 的表达和功能。采用微型计算机断层扫描(Micro-CT)监测肿瘤进展。采用腺相关病毒(AAV)介导的 CREPT 缺失作为治疗策略。通过 RNA 测序和荧光素酶报告基因检测确定差异表达基因(DEG)和受影响的信号通路。使用多重免疫荧光、免疫沉淀和染色质免疫沉淀(ChIP)评估蛋白质相互作用和 CDK9 占据情况。CREPT 过表达与 LUAD 患者生存率低相关,并增强了 EGFR 或 KRAS 突变型 LUAD 细胞的肿瘤发生。在 CC10-rtTA;TetO-小鼠模型中,CREPT 缺失损害了 LUAD 的起始和进展。从机制上讲,CREPT 在 ERK 激活后促进 CDK9 与 RNA 聚合酶 II(RNAPII)组装,增强 KRAS-ERK-Elk-1 信号下游恶性相关基因的转录。CREPT 缺失以及破坏 CREPT-RNAPII 相互作用的突变体 R106A 和 S134A 降低了 CDK9 在 Elk-1 下游基因启动子处的占据及其表达。在 CC10-rtTA;TetO-和异种移植小鼠模型中靶向 CREPT 导致肿瘤生长停滞。此外,在人源化小鼠模型中,AAV 介导的 CREPT 沉默抑制肿瘤进展,并显示出与帕博利珠单抗的协同潜力。我们的研究结果突出了 CREPT 作为 LUAD 进展的关键调节因子,并表明它可能是对靶向治疗不敏感或耐药的 EGFR 或 KRAS 突变患者的潜在治疗靶点。

https://cdn.ncbi.nlm.nih.gov/pmc/blobs/9b43/12374588/8f5328fc93df/thnov15p8337g008.jpg
https://cdn.ncbi.nlm.nih.gov/pmc/blobs/9b43/12374588/f70ef1522708/thnov15p8337g001.jpg
https://cdn.ncbi.nlm.nih.gov/pmc/blobs/9b43/12374588/da6132e2d53c/thnov15p8337g002.jpg
https://cdn.ncbi.nlm.nih.gov/pmc/blobs/9b43/12374588/df2b9e76cd4d/thnov15p8337g003.jpg
https://cdn.ncbi.nlm.nih.gov/pmc/blobs/9b43/12374588/640880fa4698/thnov15p8337g004.jpg
https://cdn.ncbi.nlm.nih.gov/pmc/blobs/9b43/12374588/3c071f17d780/thnov15p8337g005.jpg
https://cdn.ncbi.nlm.nih.gov/pmc/blobs/9b43/12374588/2889ea2aa02a/thnov15p8337g006.jpg
https://cdn.ncbi.nlm.nih.gov/pmc/blobs/9b43/12374588/82b272b5ab20/thnov15p8337g007.jpg
https://cdn.ncbi.nlm.nih.gov/pmc/blobs/9b43/12374588/8f5328fc93df/thnov15p8337g008.jpg
https://cdn.ncbi.nlm.nih.gov/pmc/blobs/9b43/12374588/f70ef1522708/thnov15p8337g001.jpg
https://cdn.ncbi.nlm.nih.gov/pmc/blobs/9b43/12374588/da6132e2d53c/thnov15p8337g002.jpg
https://cdn.ncbi.nlm.nih.gov/pmc/blobs/9b43/12374588/df2b9e76cd4d/thnov15p8337g003.jpg
https://cdn.ncbi.nlm.nih.gov/pmc/blobs/9b43/12374588/640880fa4698/thnov15p8337g004.jpg
https://cdn.ncbi.nlm.nih.gov/pmc/blobs/9b43/12374588/3c071f17d780/thnov15p8337g005.jpg
https://cdn.ncbi.nlm.nih.gov/pmc/blobs/9b43/12374588/2889ea2aa02a/thnov15p8337g006.jpg
https://cdn.ncbi.nlm.nih.gov/pmc/blobs/9b43/12374588/82b272b5ab20/thnov15p8337g007.jpg
https://cdn.ncbi.nlm.nih.gov/pmc/blobs/9b43/12374588/8f5328fc93df/thnov15p8337g008.jpg

相似文献

1
CREPT promotes LUAD progression by enhancing the CDK9 and RNAPII assembly to promote ERK-driven gene transcription.CREPT通过增强CDK9和RNA聚合酶II的组装来促进ERK驱动的基因转录,从而推动肺腺癌进展。
Theranostics. 2025 Jul 25;15(16):8337-8359. doi: 10.7150/thno.115572. eCollection 2025.
2
Caveolin-1 inhibits the proliferation and invasion of lung adenocarcinoma via EGFR degradation.小窝蛋白-1通过表皮生长因子受体(EGFR)降解抑制肺腺癌的增殖和侵袭。
Sci Rep. 2025 Jul 1;15(1):21654. doi: 10.1038/s41598-025-05259-8.
3
SKA3 promotes lung adenocarcinoma progression via the EGFR/E2F1/SKA3/integrin β1 signaling loop.SKA3通过EGFR/E2F1/SKA3/整合素β1信号回路促进肺腺癌进展。
Mol Cell Biochem. 2025 Mar 8. doi: 10.1007/s11010-025-05242-x.
4
Silencing CACYBP suppresses lung adenocarcinoma growth via CDK1 inhibition.沉默钙周期素结合蛋白通过抑制细胞周期蛋白依赖性激酶1抑制肺腺癌生长。
Biomol Biomed. 2025 Jul 31;25(8):1801-1815. doi: 10.17305/bb.2025.11849.
5
CENPA-driven transcriptional activation of ECT2 enhances EGFR inhibitor resistance in lung adenocarcinoma.CENPA驱动的ECT2转录激活增强肺腺癌对EGFR抑制剂的耐药性。
Biochem Biophys Res Commun. 2025 Sep 1;777:152287. doi: 10.1016/j.bbrc.2025.152287. Epub 2025 Jul 3.
6
Clinicopathologic characteristics, co-mutation landscape, and survival outcomes of KRAS-G12D mutant lung adenocarcinoma in comparison to KRAS-G12C and EGFR-mutated subtypes.KRAS-G12D 突变型肺腺癌与 KRAS-G12C 和 EGFR 突变亚型相比的临床病理特征、共突变图谱及生存结果。
Lung Cancer. 2025 Jul;205:108596. doi: 10.1016/j.lungcan.2025.108596. Epub 2025 May 27.
7
RBM15-mediated m6A modification of XPR1 promotes the malignant progression of lung adenocarcinoma.RBM15介导的XPR1的m6A修饰促进肺腺癌的恶性进展。
Naunyn Schmiedebergs Arch Pharmacol. 2025 Feb 10. doi: 10.1007/s00210-025-03849-x.
8
SMC2 knockdown inhibits malignant progression of lung adenocarcinoma by upregulating BTG2 expression.SMC2 敲低通过上调 BTG2 表达抑制肺腺癌的恶性进展。
Cell Signal. 2024 Aug;120:111216. doi: 10.1016/j.cellsig.2024.111216. Epub 2024 May 8.
9
HNRNPD/MAD2L2 axis facilitates lung adenocarcinoma progression and is a potential prognostic biomarker.HNRNPD/MAD2L2 轴促进肺腺癌的进展,是一个潜在的预后生物标志物。
Cell Signal. 2024 Dec;124:111443. doi: 10.1016/j.cellsig.2024.111443. Epub 2024 Oct 2.
10
Identification of a novel therapeutic candidate, NRK, in primary cancer-associated fibroblasts of lung adenocarcinoma microenvironment.鉴定一种新型治疗候选物 NRK 在肺腺癌微环境中原发性癌相关成纤维细胞中的作用。
J Cancer Res Clin Oncol. 2021 Apr;147(4):1049-1064. doi: 10.1007/s00432-020-03489-z. Epub 2021 Jan 2.

本文引用的文献

1
Unraveling the CDK9/PP2A/ERK Network in Transcriptional Pause Release and Complement Activation in KRAS-mutant Cancers.解析 CDK9/PP2A/ERK 网络在 KRAS 突变型癌症中转录暂停释放和补体激活中的作用。
Adv Sci (Weinh). 2024 Nov;11(41):e2404926. doi: 10.1002/advs.202404926. Epub 2024 Sep 10.
2
Defining the KRAS- and ERK-dependent transcriptome in KRAS-mutant cancers.定义 KRAS 和 ERK 依赖性转录组在 KRAS 突变型癌症中的作用。
Science. 2024 Jun 7;384(6700):eadk0775. doi: 10.1126/science.adk0775.
3
Integrated analysis of public datasets for the discovery and validation of survival-associated genes in solid tumors.
整合公共数据集以发现和验证实体瘤中与生存相关的基因
Innovation (Camb). 2024 Apr 9;5(3):100625. doi: 10.1016/j.xinn.2024.100625. eCollection 2024 May 6.
4
Cancer statistics, 2024.2024年癌症统计数据。
CA Cancer J Clin. 2024 Jan-Feb;74(1):12-49. doi: 10.3322/caac.21820. Epub 2024 Jan 17.
5
Targeting the RAS/RAF/MAPK pathway for cancer therapy: from mechanism to clinical studies.靶向 RAS/RAF/MAPK 通路治疗癌症:从机制到临床研究。
Signal Transduct Target Ther. 2023 Dec 18;8(1):455. doi: 10.1038/s41392-023-01705-z.
6
Discovery of Selective and Potent Macrocyclic CDK9 Inhibitors for the Treatment of Osimertinib-Resistant Non-Small-Cell Lung Cancer.发现选择性和有效的环状 CDK9 抑制剂,用于治疗奥希替尼耐药的非小细胞肺癌。
J Med Chem. 2023 Nov 23;66(22):15340-15361. doi: 10.1021/acs.jmedchem.3c01400. Epub 2023 Oct 23.
7
Transcriptome-level discovery of survival-associated biomarkers and therapy targets in non-small-cell lung cancer.非小细胞肺癌中与生存相关的生物标志物和治疗靶点的转录组水平发现。
Br J Pharmacol. 2024 Feb;181(3):362-374. doi: 10.1111/bph.16257. Epub 2023 Nov 23.
8
ERK2 stimulates transcription by anchoring CDK9 to the promoter in a kinase activity-independent manner.ERK2 通过在激酶活性非依赖性方式将 CDK9 锚定到启动子上来刺激转录。
Sci Signal. 2023 Jul 18;16(794):eadg4193. doi: 10.1126/scisignal.adg4193.
9
Targeting RAS-RAF-MEK-ERK signaling pathway in human cancer: Current status in clinical trials.靶向人类癌症中的RAS-RAF-MEK-ERK信号通路:临床试验现状
Genes Dis. 2022 May 20;10(1):76-88. doi: 10.1016/j.gendis.2022.05.006. eCollection 2023 Jan.
10
First-in-Human Dose-Escalation Study of Cyclin-Dependent Kinase 9 Inhibitor VIP152 in Patients with Advanced Malignancies Shows Early Signs of Clinical Efficacy.在晚期恶性肿瘤患者中进行的周期蛋白依赖性激酶 9 抑制剂 VIP152 的首次人体剂量递增研究显示出早期临床疗效迹象。
Clin Cancer Res. 2022 Apr 1;28(7):1285-1293. doi: 10.1158/1078-0432.CCR-21-3617.