Suppr超能文献

食管癌放疗后诱发胸段椎旁骨肉瘤:一例报告

Thoracic paravertebral osteosarcoma induced by radiotherapy for esophageal cancer: A case report.

作者信息

Chen Bin, Zhao Li, Chen Lujiao, Sun Wan, Yu Jun, Xu Jin

机构信息

Department of Radiology, Shaoxing People's Hospital, Shaoxing, Zhejiang 31200, P.R. China.

Department of Radiology, Zhejiang Cancer Hospital, Hangzhou, Zhejiang 310000, P.R. China.

出版信息

Oncol Lett. 2025 Aug 18;30(4):485. doi: 10.3892/ol.2025.15231. eCollection 2025 Oct.

Abstract

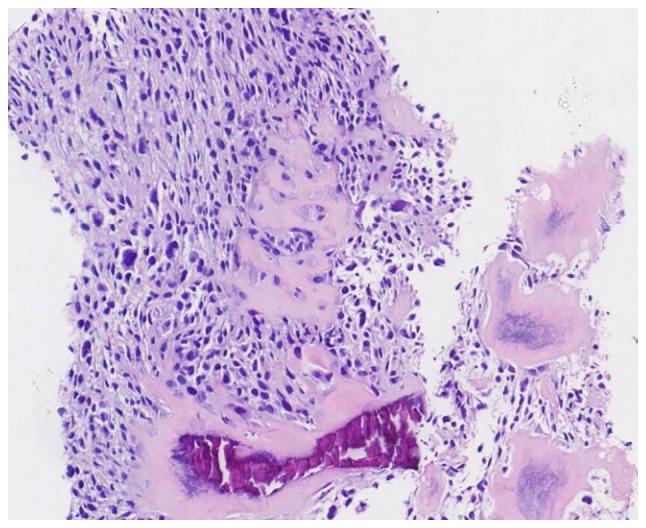
With the wide application of radiation therapy for malignant tumors and the continuous improvement of comprehensive treatment effect, the survival period of patients has been prolonged, while the incidence of radiation-induced osteosarcoma (RIOS) has gradually increased. Compared with primary osteosarcoma, RIOS has a higher degree of malignancy and poorer prognosis, severely impacting patient survival. Currently, there are relatively few case reports on RIOS and the understanding of its imaging characteristics remains incomplete. A patient with esophageal cancer who was found to have thoracic paravertebral masses six years after receiving radiotherapy was encountered at Zhuji People's Hospital (Zhuji, China). Computed tomography (CT), magnetic resonance imaging and positron emission tomography/CT all indicated the presence of the malignant tumors. Subsequently, the patient was hospitalized for CT-guided puncture biopsy of thoracic paravertebral masses. Through multidisciplinary discussions in the departments of Medical Oncology, Orthopedics, Radiology and Pathology, a consensus was finally reached on RIOS. In conclusion, RIOS is a severe and relatively rare complication of radiotherapy with a poor prognosis. In its early stage, it is easily confused with bone changes after radiotherapy and appearance deformities after surgery. Neoplastic bone is the primary imaging feature of RIOS of esophageal cancer. By combining the patient's radiotherapy history and laboratory examinations, the diagnostic accuracy for this disease could be improved.

摘要

随着放射治疗在恶性肿瘤中的广泛应用以及综合治疗效果的不断提高,患者的生存期得以延长,而放射性骨肉瘤(RIOS)的发病率却逐渐上升。与原发性骨肉瘤相比,RIOS的恶性程度更高,预后更差,严重影响患者生存。目前,关于RIOS的病例报道相对较少,对其影像学特征的认识也尚不完整。诸暨市人民医院(中国诸暨)收治了1例食管癌患者,该患者在接受放疗6年后发现胸段椎旁肿块。计算机断层扫描(CT)、磁共振成像及正电子发射断层扫描/CT均提示存在恶性肿瘤。随后,患者因胸段椎旁肿块接受CT引导下穿刺活检而入院。通过肿瘤内科、骨科、放射科及病理科的多学科讨论,最终对RIOS达成了共识。总之,RIOS是一种严重且相对罕见的放疗并发症,预后较差。在其早期,它很容易与放疗后的骨质改变以及术后外观畸形相混淆。肿瘤骨是食管癌RIOS的主要影像学特征。结合患者的放疗史及实验室检查,可提高该病的诊断准确性。

https://cdn.ncbi.nlm.nih.gov/pmc/blobs/fa9e/12373421/eab8fb64f686/ol-30-04-15231-g00.jpg

文献AI研究员

20分钟写一篇综述,助力文献阅读效率提升50倍。

立即体验

用中文搜PubMed

大模型驱动的PubMed中文搜索引擎

马上搜索

文档翻译

学术文献翻译模型,支持多种主流文档格式。

立即体验