• 文献检索
  • 文档翻译
  • 深度研究
  • 学术资讯
  • Suppr Zotero 插件Zotero 插件
  • 邀请有礼
  • 套餐&价格
  • 历史记录
应用&插件
Suppr Zotero 插件Zotero 插件浏览器插件Mac 客户端Windows 客户端微信小程序
定价
高级版会员购买积分包购买API积分包
服务
文献检索文档翻译深度研究API 文档MCP 服务
关于我们
关于 Suppr公司介绍联系我们用户协议隐私条款
关注我们

Suppr 超能文献

核心技术专利:CN118964589B侵权必究
粤ICP备2023148730 号-1Suppr @ 2026

文献检索

告别复杂PubMed语法,用中文像聊天一样搜索,搜遍4000万医学文献。AI智能推荐,让科研检索更轻松。

立即免费搜索

文件翻译

保留排版,准确专业,支持PDF/Word/PPT等文件格式,支持 12+语言互译。

免费翻译文档

深度研究

AI帮你快速写综述,25分钟生成高质量综述,智能提取关键信息,辅助科研写作。

立即免费体验

一名患有[综合征名称]儿童的肾间变性肉瘤:病例报告

Anaplastic Sarcoma of the Kidney in a Child with Syndrome: A Case Report.

作者信息

Nagasaki-Maeoka Eri, Shimozawa Katsuyoshi, Ueno Masaru, Saiki Kanako, Yagasaki Hiroshi, Nishimaki-Watanabe Haruna, Tsujimura Ryusuke, Nakano Yoshiko, Kato Motohiro, Koshinaga Tsugumichi, Uehara Shuichiro

机构信息

Department of Pediatric Surgery, Nihon University School of Medicine, Tokyo, Japan.

Department of Pediatric Surgery, Jichi Medical University, Saitama Medical Center, Saitama, Saitama, Japan.

出版信息

Surg Case Rep. 2025;11(1). doi: 10.70352/scrj.cr.25-0010. Epub 2025 Aug 14.

DOI:10.70352/scrj.cr.25-0010
PMID:40861331
原文链接:https://pmc.ncbi.nlm.nih.gov/articles/PMC12375878/
Abstract

INTRODUCTION

Anaplastic sarcoma of the kidney (ASK) is a rare renal tumor, with fewer than 50 cases reported in the literature since 2007. ASK is pathologically characterized by the presence of cystic and solid areas consisting of spindle cells showing marked anaplasia. Recent studies have reported that the vast majority of patients with ASK have variants, and that these tumors are part of the syndrome, a hereditary cancer predisposition disorder. Herein, we report a pediatric case of this rare tumor, including pathological findings, gene analysis of the tumor and peripheral blood samples, and the disease course.

CASE PRESENTATION

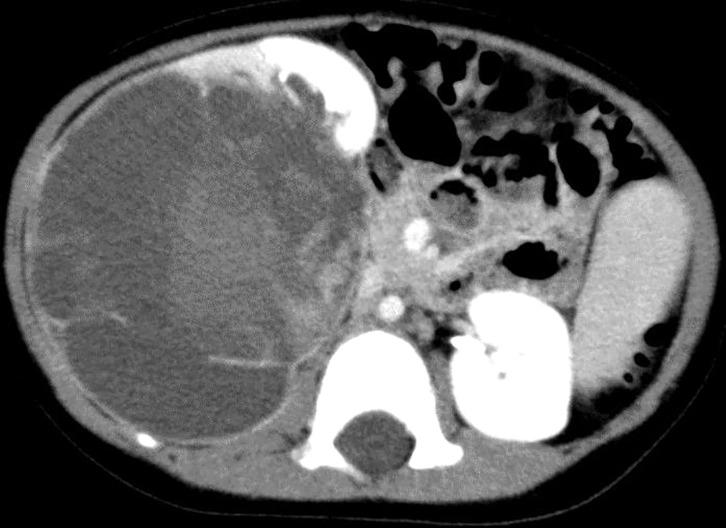
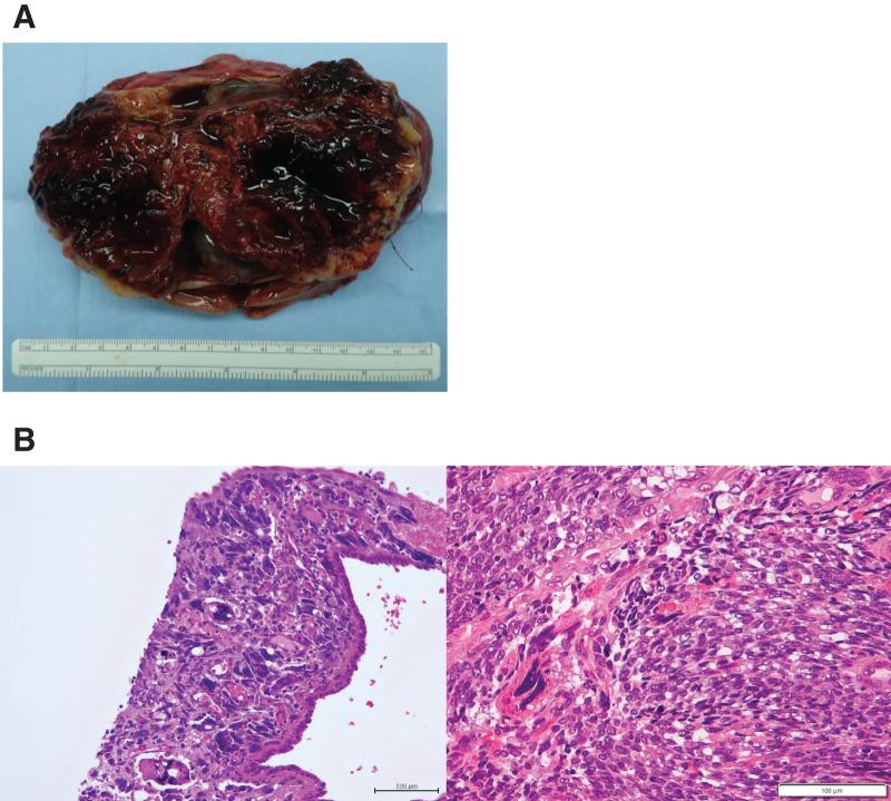
A previously healthy 2-year-old girl presented with gross hematuria and a mass in her right abdomen. She had a family history of tumor; her eldest maternal aunt had developed rhabdomyosarcoma, another maternal aunt had follicular thyroid cancer, and her maternal grandmother had a benign thyroid tumor. Imaging revealed a 10-cm tumor with conspicuous internal cystic structures in the right kidney. The patient underwent right nephrectomy, removing a tumor measuring 12.5 × 9 × 8 cm that contained cystic and solid parts. The tumor was composed of spindle-shaped cells with anaplastic changes. Finally, the diagnosis of ASK was established. The treatment regimen, in accordance with the therapy for clear cell sarcoma of the kidney or diffuse anaplasia type Wilms tumor, was administered. Based on the diagnosis of ASK and the family history of -associated tumors, syndrome was suspected. Sequencing of the hotspot region (i.e., RNase IIIb domain) using tumor specimen and coding regions using blood sample in the revealed somatic c.5125G>A (p.D1709N) and germline c.4458dupA (p.S1487Ifs*5). Two years have passed since the end of treatment, and the patient is alive and healthy without evidence of tumor recurrence.

CONCLUSIONS

Treatment with intensive chemotherapy (vincristine, doxorubicin, etoposide, and cyclophosphamide) and abdominal irradiation was effective as 2-year event-free survival was achieved. Since syndrome causes a variety of rare cancers, particularly in infants and young adults, all surgeons and pediatric oncologists should be aware of the possibility of syndrome.

摘要

引言

肾间变性肉瘤(ASK)是一种罕见的肾脏肿瘤,自2007年以来文献报道的病例少于50例。ASK的病理特征是存在由显示明显间变的梭形细胞组成的囊性和实性区域。最近的研究报告称,绝大多数ASK患者存在变异,并且这些肿瘤是综合征的一部分,这是一种遗传性癌症易感性疾病。在此,我们报告一例该罕见肿瘤的儿科病例,包括病理结果、肿瘤及外周血样本的基因分析以及病程。

病例介绍

一名既往健康的2岁女孩出现肉眼血尿和右腹部肿块。她有肿瘤家族史;她的大姨患横纹肌肉瘤,另一位大姨患滤泡性甲状腺癌,她的外祖母患良性甲状腺肿瘤。影像学检查显示右肾有一个10厘米的肿瘤,内部有明显的囊性结构。患者接受了右肾切除术,切除了一个大小为12.5×9×8厘米的肿瘤,该肿瘤包含囊性和实性部分。肿瘤由具有间变改变的梭形细胞组成。最终,确诊为ASK。按照肾透明细胞肉瘤或弥漫性间变型威尔姆斯瘤的治疗方案进行治疗。基于ASK的诊断和相关肿瘤的家族史,怀疑为综合征。使用肿瘤标本对热点区域(即核糖核酸酶IIIb结构域)进行测序,并使用血液样本对基因的编码区域进行测序,结果显示体细胞突变c.5125G>A(p.D1709N)和种系突变c.4458dupA(p.S1487Ifs*5)。治疗结束至今已过去两年,患者存活且健康,无肿瘤复发迹象。

结论

强化化疗(长春新碱、阿霉素、依托泊苷和环磷酰胺)及腹部放疗有效,实现了2年无事件生存。由于综合征会引发多种罕见癌症,尤其是在婴幼儿和年轻人中,所有外科医生和儿科肿瘤学家都应意识到综合征的可能性。

https://cdn.ncbi.nlm.nih.gov/pmc/blobs/738d/12375878/b7439a004309/scr-11-01-25-0010-g003.jpg
https://cdn.ncbi.nlm.nih.gov/pmc/blobs/738d/12375878/6bf61fff6061/scr-11-01-25-0010-g001.jpg
https://cdn.ncbi.nlm.nih.gov/pmc/blobs/738d/12375878/845a76796200/scr-11-01-25-0010-g002.jpg
https://cdn.ncbi.nlm.nih.gov/pmc/blobs/738d/12375878/b7439a004309/scr-11-01-25-0010-g003.jpg
https://cdn.ncbi.nlm.nih.gov/pmc/blobs/738d/12375878/6bf61fff6061/scr-11-01-25-0010-g001.jpg
https://cdn.ncbi.nlm.nih.gov/pmc/blobs/738d/12375878/845a76796200/scr-11-01-25-0010-g002.jpg
https://cdn.ncbi.nlm.nih.gov/pmc/blobs/738d/12375878/b7439a004309/scr-11-01-25-0010-g003.jpg

相似文献

1
Anaplastic Sarcoma of the Kidney in a Child with Syndrome: A Case Report.一名患有[综合征名称]儿童的肾间变性肉瘤:病例报告
Surg Case Rep. 2025;11(1). doi: 10.70352/scrj.cr.25-0010. Epub 2025 Aug 14.
2
Prescription of Controlled Substances: Benefits and Risks管制药品的处方:益处与风险
3
Can a Liquid Biopsy Detect Circulating Tumor DNA With Low-passage Whole-genome Sequencing in Patients With a Sarcoma? A Pilot Evaluation.液体活检能否通过低深度全基因组测序检测肉瘤患者的循环肿瘤DNA?一项初步评估。
Clin Orthop Relat Res. 2025 Jan 1;483(1):39-48. doi: 10.1097/CORR.0000000000003161. Epub 2024 Jun 21.
4
[DICER1-mutant primary intracranial sarcoma: analysis of five cases].[DICER1 突变型原发性颅内肉瘤:5 例分析]
Zhonghua Bing Li Xue Za Zhi. 2025 Jun 8;54(6):632-639. doi: 10.3760/cma.j.cn112151-20241118-00764.
5
Beckwith-Wiedemann Syndrome贝克威思-维德曼综合征
6
The Black Book of Psychotropic Dosing and Monitoring.《精神药物剂量与监测黑皮书》
Psychopharmacol Bull. 2024 Jul 8;54(3):8-59.
7
What Are the Complications, Function, and Survival of Tumor-devitalized Autografts Used in Patients With Limb-sparing Surgery for Bone and Soft Tissue Tumors? A Japanese Musculoskeletal Oncology Group Multi-institutional Study.肿瘤灭活自体移植物用于保肢手术治疗骨和软组织肿瘤患者的并发症、功能和生存情况如何?日本肌肉骨骼肿瘤学组多机构研究。
Clin Orthop Relat Res. 2023 Nov 1;481(11):2110-2124. doi: 10.1097/CORR.0000000000002720. Epub 2023 Jun 14.
8
A rapid and systematic review of the clinical effectiveness and cost-effectiveness of paclitaxel, docetaxel, gemcitabine and vinorelbine in non-small-cell lung cancer.对紫杉醇、多西他赛、吉西他滨和长春瑞滨在非小细胞肺癌中的临床疗效和成本效益进行的快速系统评价。
Health Technol Assess. 2001;5(32):1-195. doi: 10.3310/hta5320.
9
Impact of residual disease as a prognostic factor for survival in women with advanced epithelial ovarian cancer after primary surgery.原发性手术后晚期上皮性卵巢癌患者残留病灶对生存预后的影响。
Cochrane Database Syst Rev. 2022 Sep 26;9(9):CD015048. doi: 10.1002/14651858.CD015048.pub2.
10
Early and late renal adverse effects after potentially nephrotoxic treatment for childhood cancer.儿童癌症潜在肾毒性治疗后的早期和晚期肾脏不良反应。
Cochrane Database Syst Rev. 2013 Oct 8(10):CD008944. doi: 10.1002/14651858.CD008944.pub2.

本文引用的文献

1
DICER1-Related Tumor Predisposition: Identification of At-risk Individuals and Recommended Surveillance Strategies.与DICER1相关的肿瘤易感性:高危个体的识别及推荐的监测策略
Clin Cancer Res. 2024 Dec 16;30(24):5681-5692. doi: 10.1158/1078-0432.CCR-24-1532.
2
Anaplastic sarcoma of the kidney (DICER1-sarcoma of the kidney): A report from the International Pleuropulmonary Blastoma/DICER1 Registry.肾脏未分化肉瘤(DICER1 肉瘤):来自国际胸膜肺胚细胞瘤/DICER1 登记处的报告。
Pediatr Blood Cancer. 2024 Aug;71(8):e31090. doi: 10.1002/pbc.31090. Epub 2024 May 28.
3
A systematic review of the clinicopathological features and prognostic outcomes of DICER1-mutant malignant brain neoplasms.
DICER1突变型恶性脑肿瘤的临床病理特征及预后结果的系统评价
J Neurosurg Pediatr. 2022 Jul 22;30(3):308-315. doi: 10.3171/2022.6.PEDS22119. Print 2022 Sep 1.
4
DICER1-associated sarcoma of the aortic arch - a case report and literature review.主动脉弓 DICER1 相关肉瘤——病例报告及文献复习。
Cardiovasc Pathol. 2022 Sep-Oct;60:107451. doi: 10.1016/j.carpath.2022.107451. Epub 2022 Jul 12.
5
DICER1-Associated Anaplastic Sarcoma of the Kidney With Coexisting Activating PDGFRA D842V Mutations and Response to Targeted Kinase Inhibitors in One Patient.1例伴有共激活型血小板衍生生长因子受体α(PDGFRA)D842V突变的肾DICER1相关性间变性肉瘤及对靶向激酶抑制剂的反应
JCO Precis Oncol. 2022 Jul;6:e2100554. doi: 10.1200/PO.21.00554.
6
Anaplastic sarcoma of the kidney with DICER1 mutation: A case report.伴有DICER1突变的肾间变性肉瘤:一例报告。
Pediatr Int. 2022 Jan;64(1):e14851. doi: 10.1111/ped.14851. Epub 2021 Dec 12.
7
Anaplastic Sarcoma of the Kidney With Heterologous Ganglioneuroblastic Differentiation: Another DICER1-Associated Tumor.肾脏去分化肉瘤伴异源神经节神经母细胞瘤分化:另一种 DICER1 相关肿瘤。
Pediatr Dev Pathol. 2022 Mar-Apr;25(2):186-191. doi: 10.1177/10935266211043861. Epub 2021 Sep 13.
8
Differentiation between Clear Cell Sarcoma of the Kidney and Wilms' Tumor with CT.CT 鉴别肾透明细胞肉瘤与肾母细胞瘤。
Korean J Radiol. 2021 Jul;22(7):1185-1193. doi: 10.3348/kjr.2020.0882. Epub 2021 Apr 1.
9
Exceptional response to radiotherapy in unresectable pleuropulmonary blastoma of a child.一名儿童不可切除性胸膜肺母细胞瘤对放疗的显著反应。
Radiat Oncol J. 2020 Jun;38(2):148-150. doi: 10.3857/roj.2020.00290. Epub 2020 Jun 23.
10
A child with neuroblastoma and metachronous anaplastic sarcoma of the kidney: Underlying DICER1 syndrome?一名患有神经母细胞瘤和异时性肾间变性肉瘤的儿童:潜在的DICER1综合征?
Pediatr Blood Cancer. 2020 Dec;67(12):e28488. doi: 10.1002/pbc.28488. Epub 2020 Jun 22.