• 文献检索
  • 文档翻译
  • 深度研究
  • 学术资讯
  • Suppr Zotero 插件Zotero 插件
  • 邀请有礼
  • 套餐&价格
  • 历史记录
应用&插件
Suppr Zotero 插件Zotero 插件浏览器插件Mac 客户端Windows 客户端微信小程序
定价
高级版会员购买积分包购买API积分包
服务
文献检索文档翻译深度研究API 文档MCP 服务
关于我们
关于 Suppr公司介绍联系我们用户协议隐私条款
关注我们

Suppr 超能文献

核心技术专利:CN118964589B侵权必究
粤ICP备2023148730 号-1Suppr @ 2026

文献检索

告别复杂PubMed语法,用中文像聊天一样搜索,搜遍4000万医学文献。AI智能推荐,让科研检索更轻松。

立即免费搜索

文件翻译

保留排版,准确专业,支持PDF/Word/PPT等文件格式,支持 12+语言互译。

免费翻译文档

深度研究

AI帮你快速写综述,25分钟生成高质量综述,智能提取关键信息,辅助科研写作。

立即免费体验

糖皮质激素通过GILZ介导的ERK抑制作用下调胶质母细胞瘤细胞中的PD-L1

Glucocorticoids Downregulate PD-L1 in Glioblastoma Cells via GILZ-Mediated ERK Inhibition.

作者信息

Adorisio Sabrina, Renga Giorgia, Delfino Domenico Vittorio, Ayroldi Emira

机构信息

Section of Pharmacology, Department of Medicine and Surgery, University of Perugia, 06129 Perugia, Italy.

Foligno Nursing School, Department of Medicine and Surgery, University of Perugia, 06129 Perugia, Italy.

出版信息

Biomedicines. 2025 Jul 22;13(8):1793. doi: 10.3390/biomedicines13081793.

DOI:10.3390/biomedicines13081793
PMID:40868049
原文链接:https://pmc.ncbi.nlm.nih.gov/articles/PMC12383418/
Abstract

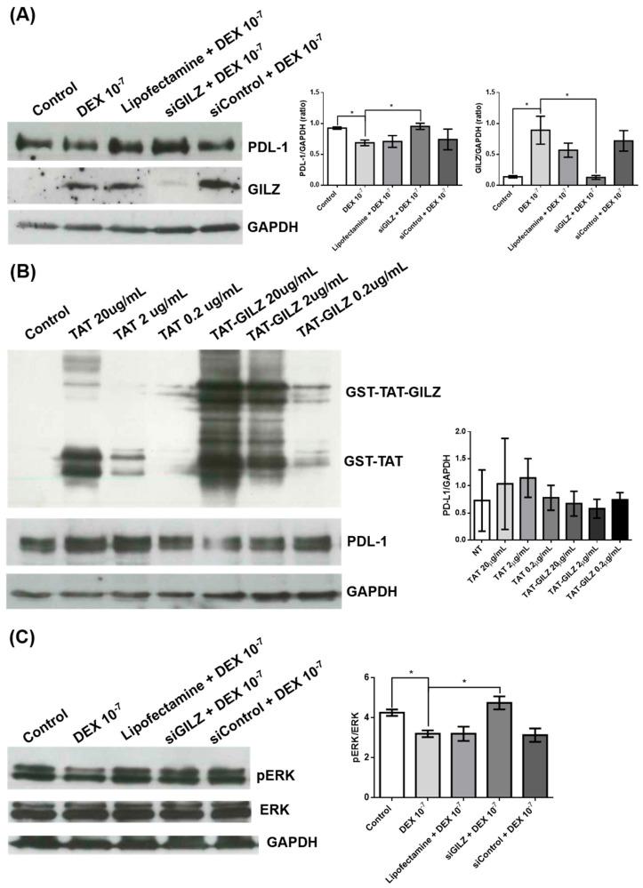
Glucocorticoids (GCs), such as dexamethasone (DEX), are commonly administered to glioblastoma (GBM) patients to control cerebral edema; however, their effects on immune checkpoint regulation in tumor cells remain insufficiently characterized. This study examined the impact of DEX on the expression of programmed death-ligand 1 (PD-L1) and glucocorticoid-induced leucine zipper (GILZ), a downstream effector of glucocorticoid receptor (GR) signaling, in the U87 and U251 glioblastoma cell lines. DEX consistently induced GILZ expression in both models yet elicited divergent effects on PD-L1: suppression in U87 cells and upregulation in U251 cells. In U87 cells, DEX-induced PD-L1 downregulation was accompanied by accelerated cell cycle progression, suggesting a dual impact on tumor immune evasion and proliferation. Mechanistically, GILZ silencing restored ERK phosphorylation and reversed PD-L1 suppression, whereas GILZ overexpression further decreased PD-L1 levels, implicating a GILZ-ERK pathway in the control of PD-L1. These findings uncover a previously unrecognized GR-GILZ-PD-L1 regulatory axis in glioblastoma cells. While these results are based on in vitro models, they provide a rationale for future in vivo studies to determine whether modulation of GILZ may influence immune checkpoint dynamics and therapeutic responsiveness in GBM.

摘要

糖皮质激素(GCs),如地塞米松(DEX),常用于胶质母细胞瘤(GBM)患者以控制脑水肿;然而,它们对肿瘤细胞中免疫检查点调节的影响仍未得到充分表征。本研究检测了DEX对U87和U251胶质母细胞瘤细胞系中程序性死亡配体1(PD-L1)和糖皮质激素诱导亮氨酸拉链(GILZ,糖皮质激素受体(GR)信号的下游效应物)表达的影响。DEX在两种模型中均持续诱导GILZ表达,但对PD-L1产生了不同的影响:在U87细胞中抑制,而在U251细胞中上调。在U87细胞中,DEX诱导的PD-L1下调伴随着细胞周期进程加速,提示对肿瘤免疫逃逸和增殖有双重影响。机制上,GILZ沉默恢复了ERK磷酸化并逆转了PD-L1抑制,而GILZ过表达进一步降低了PD-L1水平,提示GILZ-ERK途径参与PD-L1的调控。这些发现揭示了胶质母细胞瘤细胞中一个先前未被认识的GR-GILZ-PD-L1调节轴。虽然这些结果基于体外模型,但它们为未来的体内研究提供了理论依据,以确定GILZ的调节是否可能影响GBM中的免疫检查点动态和治疗反应性。

https://cdn.ncbi.nlm.nih.gov/pmc/blobs/8f97/12383418/8b57fdb93639/biomedicines-13-01793-g003.jpg
https://cdn.ncbi.nlm.nih.gov/pmc/blobs/8f97/12383418/811a30fc60c6/biomedicines-13-01793-g001.jpg
https://cdn.ncbi.nlm.nih.gov/pmc/blobs/8f97/12383418/814c02d48c89/biomedicines-13-01793-g002.jpg
https://cdn.ncbi.nlm.nih.gov/pmc/blobs/8f97/12383418/8b57fdb93639/biomedicines-13-01793-g003.jpg
https://cdn.ncbi.nlm.nih.gov/pmc/blobs/8f97/12383418/811a30fc60c6/biomedicines-13-01793-g001.jpg
https://cdn.ncbi.nlm.nih.gov/pmc/blobs/8f97/12383418/814c02d48c89/biomedicines-13-01793-g002.jpg
https://cdn.ncbi.nlm.nih.gov/pmc/blobs/8f97/12383418/8b57fdb93639/biomedicines-13-01793-g003.jpg

相似文献

1
Glucocorticoids Downregulate PD-L1 in Glioblastoma Cells via GILZ-Mediated ERK Inhibition.糖皮质激素通过GILZ介导的ERK抑制作用下调胶质母细胞瘤细胞中的PD-L1
Biomedicines. 2025 Jul 22;13(8):1793. doi: 10.3390/biomedicines13081793.
2
Prescription of Controlled Substances: Benefits and Risks管制药品的处方:益处与风险
3
Autophagy-related CMTM6 promotes glioblastoma progression by activating Wnt/β-catenin pathway and acts as an onco-immunological biomarker.自噬相关的CMTM6 通过激活 Wnt/β-catenin 通路促进胶质母细胞瘤的进展,并作为一种癌免疫生物学标志物。
J Gene Med. 2024 May;26(5):e3685. doi: 10.1002/jgm.3685.
4
Role of the TLR signaling pathway in the pathogenesis of glioblastoma multiforme with an emphasis on immunotherapy.Toll样受体(TLR)信号通路在多形性胶质母细胞瘤发病机制中的作用,重点在于免疫治疗。
Biochem Biophys Rep. 2025 Jul 18;43:102149. doi: 10.1016/j.bbrep.2025.102149. eCollection 2025 Sep.
5
FAT10 induces immune suppression by upregulating PD-L1 expression in hepatocellular carcinoma.FAT10 通过上调肝癌中 PD-L1 的表达诱导免疫抑制。
Apoptosis. 2024 Oct;29(9-10):1529-1545. doi: 10.1007/s10495-024-01982-1. Epub 2024 Jun 2.
6
Bending the Rules: Amplifying PD-L1 Immunoregulatory Function Through Flexible Polyethylene Glycol Synthetic Linkers.打破规则:通过灵活的聚乙二醇合成接头增强 PD-L1 的免疫调节功能。
Tissue Eng Part A. 2024 Apr;30(7-8):299-313. doi: 10.1089/ten.TEA.2023.0274. Epub 2024 Mar 4.
7
Interplay between tumor mutation burden and the tumor microenvironment predicts the prognosis of pan-cancer anti-PD-1/PD-L1 therapy.肿瘤突变负荷与肿瘤微环境之间的相互作用可预测泛癌抗PD-1/PD-L1治疗的预后。
Front Immunol. 2025 Jul 24;16:1557461. doi: 10.3389/fimmu.2025.1557461. eCollection 2025.
8
Systemic treatments for metastatic cutaneous melanoma.转移性皮肤黑色素瘤的全身治疗
Cochrane Database Syst Rev. 2018 Feb 6;2(2):CD011123. doi: 10.1002/14651858.CD011123.pub2.
9
New horizons in B-cell lymphoma immunotherapy: From immune checkpoints to precision medicine.B细胞淋巴瘤免疫治疗的新视野:从免疫检查点到精准医学
Neoplasia. 2025 Jun 30;67:101206. doi: 10.1016/j.neo.2025.101206.
10
Unveiling the regulatory mechanism of nimotuzumab on PD-L1 expression in head and neck squamous cell carcinoma patients: Implications for enhanced anticancer treatment strategies.揭示尼妥珠单抗调控头颈部鳞状细胞癌患者 PD-L1 表达的机制:增强抗癌治疗策略的意义。
Cell Signal. 2024 Sep;121:111290. doi: 10.1016/j.cellsig.2024.111290. Epub 2024 Jul 6.

本文引用的文献

1
Rethinking corticosteroids use in oncology.重新审视皮质类固醇在肿瘤学中的应用。
Front Pharmacol. 2025 Mar 26;16:1551111. doi: 10.3389/fphar.2025.1551111. eCollection 2025.
2
The role of temozolomide as adjuvant therapy in glioblastoma management: a systematic review and meta-analysis.替莫唑胺在胶质母细胞瘤治疗中作为辅助治疗的作用:一项系统评价和荟萃分析。
BMC Cancer. 2025 Mar 5;25(1):399. doi: 10.1186/s12885-025-13757-1.
3
Transitioning from molecular methods to therapeutic methods: An in‑depth analysis of glioblastoma (Review).
从分子方法向治疗方法的转变:胶质母细胞瘤的深入分析(综述)
Oncol Rep. 2025 Apr;53(4). doi: 10.3892/or.2025.8881. Epub 2025 Feb 28.
4
Glioblastoma multiforme: insights into pathogenesis, key signaling pathways, and therapeutic strategies.多形性胶质母细胞瘤:对发病机制、关键信号通路及治疗策略的见解
Mol Cancer. 2025 Feb 26;24(1):58. doi: 10.1186/s12943-025-02267-0.
5
Immunogenomic determinants of exceptional response to immune checkpoint inhibition in renal cell carcinoma.肾细胞癌中对免疫检查点抑制产生特殊反应的免疫基因组决定因素。
Nat Cancer. 2025 Feb;6(2):372-384. doi: 10.1038/s43018-024-00896-w. Epub 2025 Jan 9.
6
Regulatory mechanisms of PD-1/PD-L1 in cancers.PD-1/PD-L1 在癌症中的调控机制。
Mol Cancer. 2024 May 18;23(1):108. doi: 10.1186/s12943-024-02023-w.
7
Macrophages and microglia in glioblastoma: heterogeneity, plasticity, and therapy.胶质母细胞瘤中的巨噬细胞和小胶质细胞:异质性、可塑性和治疗。
J Clin Invest. 2023 Jan 3;133(1):e163446. doi: 10.1172/JCI163446.
8
Challenges in glioblastoma research: focus on the tumor microenvironment.胶质母细胞瘤研究中的挑战:聚焦肿瘤微环境。
Trends Cancer. 2023 Jan;9(1):9-27. doi: 10.1016/j.trecan.2022.09.005. Epub 2022 Nov 16.
9
Editorial: Cancer therapy: The challenge of handling a double-edged sword.社论:癌症治疗:应对双刃剑的挑战。
Front Pharmacol. 2022 Sep 9;13:1007762. doi: 10.3389/fphar.2022.1007762. eCollection 2022.
10
The effects of glucocorticoids and immunosuppressants on cancer outcomes in checkpoint inhibitor therapy.糖皮质激素和免疫抑制剂对检查点抑制剂治疗中癌症预后的影响。
Front Oncol. 2022 Aug 23;12:928390. doi: 10.3389/fonc.2022.928390. eCollection 2022.