Suppr超能文献

一名血液透析患者的胰十二指肠切除术:哈萨克斯坦的首例报告及文献简要综述

Pancreaticoduodenectomy in a Hemodialysis Patient: First Report From Kazakhstan with a Brief Literature Review.

作者信息

Abdikarimov Anuar M, Kalina Vitaliy O, Saberbekov Saken O, Pavlova Kristina, Ilyassov Nurbek K, Nurgaliev Erlan, Kushenova Saule Zh, Sapanova Ayauzhan A

机构信息

JSC National Scientific Medical Center, Astana, Kazakhstan.

Nazarbayev University School of Medicine, Astana, Kazakhstan.

出版信息

Int Med Case Rep J. 2025 Aug 22;18:1077-1083. doi: 10.2147/IMCRJ.S538133. eCollection 2025.

Abstract

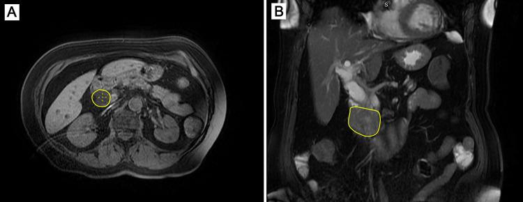
Major abdominal surgeries including pancreatic resection are rarely performed in patients on chronic dialysis due to perioperative morbidity associated with end-stage renal disease. This case report presents a 71-year-old female on hemodialysis with pancreatic head cancer who underwent successful pancreaticoduodenectomy. The patient had the following severe comorbidities: type 2 diabetes mellitus, hypertension, and chronic kidney disease. Therefore, meticulous preoperative preparation, intraoperative care and postoperative management including hemodialysis and nutritional support were performed. Postoperative recovery was uneventful, bowel function was restored on day 5, and the patient was discharged in good condition. This case provides the feasibility of pancreaticoduodenectomy (also known as Whipple procedure) in carefully monitored patients, particularly those on dialysis, despite the increased risk of complications like cardiovascular, immune, and coagulation disorders. Brief literature review confirms that patients with end-stage renal disease can be considered for abdominal surgery with acceptable morbidity and mortality in complex surgical procedures.

摘要

由于与终末期肾病相关的围手术期发病率,包括胰腺切除术在内的大型腹部手术很少在接受慢性透析的患者中进行。本病例报告介绍了一名71岁接受血液透析的女性胰腺癌患者,该患者成功接受了胰十二指肠切除术。该患者有以下严重合并症:2型糖尿病、高血压和慢性肾病。因此,进行了细致的术前准备、术中护理以及包括血液透析和营养支持在内的术后管理。术后恢复顺利,第5天肠道功能恢复,患者康复出院。本病例表明,尽管存在心血管、免疫和凝血障碍等并发症风险增加的情况,但在密切监测的患者中,尤其是透析患者,实施胰十二指肠切除术(也称为惠普尔手术)是可行的。简要文献回顾证实,对于终末期肾病患者,在复杂手术中可考虑进行腹部手术,其发病率和死亡率在可接受范围内。

https://cdn.ncbi.nlm.nih.gov/pmc/blobs/7e1b/12380086/58a6ee3c789e/IMCRJ-18-1077-g0001.jpg

文献检索

告别复杂PubMed语法,用中文像聊天一样搜索,搜遍4000万医学文献。AI智能推荐,让科研检索更轻松。

立即免费搜索

文件翻译

保留排版,准确专业,支持PDF/Word/PPT等文件格式,支持 12+语言互译。

免费翻译文档

深度研究

AI帮你快速写综述,25分钟生成高质量综述,智能提取关键信息,辅助科研写作。

立即免费体验