Suppr超能文献

腮腺转移性黑色素瘤:一例报告及当前诊断与治疗方法综述

Metastatic Melanoma to the Parotid Gland: A Case Report and Review of Current Diagnostic and Treatment Approaches.

作者信息

Simou Dimitra G, Basiari Lentiona, Lampri Evangeli, Georgolios Alexandros, Katsipaneli Meropi, Psychogios Georgios V

机构信息

Department of Otorhinolaryngology, Head and Neck Surgery, University Hospital of Ioannina, Ioannina, GRC.

Department of Pathology, University Hospital of Ioannina, Ioannina, GRC.

出版信息

Cureus. 2025 Jul 28;17(7):e88892. doi: 10.7759/cureus.88892. eCollection 2025 Jul.

Abstract

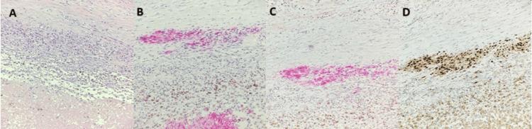
Metastatic melanoma to the parotid gland is rare and represents a significant diagnostic challenge due to its atypical presentation, often resembling benign conditions, resulting in delays in diagnosis. Early and accurate detection is crucial for optimizing patient outcomes. We report the case of a 27-year-old woman who presented with a slowly growing, painless mass in her right parotid gland, which had been enlarging over the past three months. Her past medical history included the excision of an atypical blue nevus located on the scalp six years earlier. Imaging studies, including ultrasound and MRI, revealed an oval lesion in the right parotid gland's superficial lobe and ipsilateral intraparotid lymph nodes. Fine-needle aspiration cytology (FNAC) raised high suspicion of spindle cell melanoma, leading to an urgent total parotidectomy with selective neck dissection. Histopathological examination confirmed the diagnosis of metastatic melanoma. This case underscores the importance of considering melanoma metastasis in the differential diagnosis of parotid gland lesions, particularly in patients with a history of atypical pigmented skin lesions. A multimodal diagnostic approach, integrating FNAC, imaging, and histopathology, is essential for appropriate surgical planning. Long-term monitoring is essential to detect recurrence and metastasis, as melanoma is associated with locally aggressive behavior and a tendency for distant spread.

摘要

腮腺转移性黑色素瘤较为罕见,因其表现不典型,常类似良性疾病,导致诊断延迟,故构成重大诊断挑战。早期准确检测对于优化患者预后至关重要。我们报告一例27岁女性病例,该患者右腮腺出现一个生长缓慢、无痛性肿块,在过去三个月中不断增大。她的既往病史包括六年前切除头皮上的一个非典型蓝色痣。包括超声和磁共振成像(MRI)在内的影像学检查显示,右腮腺浅叶及同侧腮腺内淋巴结有一个椭圆形病变。细针穿刺抽吸细胞学检查(FNAC)高度怀疑为梭形细胞黑色素瘤,遂紧急行全腮腺切除术并选择性颈清扫术。组织病理学检查确诊为转移性黑色素瘤。该病例强调了在腮腺病变的鉴别诊断中考虑黑色素瘤转移的重要性,尤其是在有非典型色素沉着性皮肤病变病史的患者中。整合FNAC、影像学和组织病理学的多模式诊断方法对于恰当的手术规划至关重要。长期监测对于检测复发和转移至关重要,因为黑色素瘤具有局部侵袭性和远处转移倾向。

https://cdn.ncbi.nlm.nih.gov/pmc/blobs/3cbd/12382304/8110ee9dcd1c/cureus-0017-00000088892-i01.jpg

相似文献

1
Metastatic Melanoma to the Parotid Gland: A Case Report and Review of Current Diagnostic and Treatment Approaches.
Cureus. 2025 Jul 28;17(7):e88892. doi: 10.7759/cureus.88892. eCollection 2025 Jul.
2
Malignant melanoma of the conjunctiva metastatic to the parotid gland: a case report.
J Med Case Rep. 2025 Aug 11;19(1):401. doi: 10.1186/s13256-025-05472-z.
3
Diagnostic Accuracy of Fine-Needle Aspiration Cytology in the Diagnosis of Parotid Gland Swellings.
Cureus. 2025 Jun 16;17(6):e86177. doi: 10.7759/cureus.86177. eCollection 2025 Jun.
5
Metastatic Amelanotic Malignant Melanoma of the Parotid Gland.
Indian J Otolaryngol Head Neck Surg. 2025 Jun;77(6):2401-2403. doi: 10.1007/s12070-025-05499-0. Epub 2025 Apr 28.
6
Diagnostic accuracy of ultrasound and MRI in parotid gland tumors: A retrospective study.
Exp Ther Med. 2025 Jul 8;30(3):170. doi: 10.3892/etm.2025.12920. eCollection 2025 Sep.
8
Challenges in the Cytodiagnosis of Intraparotid Schwannoma.
Diagn Cytopathol. 2025 Mar;53(3):E33-E37. doi: 10.1002/dc.25423. Epub 2024 Nov 27.
9
Management of a First Branchial Cleft Fistula in an Adult Patient: A Case Report and Literature Review.
Cureus. 2025 Jul 11;17(7):e87756. doi: 10.7759/cureus.87756. eCollection 2025 Jul.
10
An unusual case of metastatic melanoma in subcutaneous tissue presenting as a solitary cystic mass with fluid levels.
J Ultrasound. 2024 Dec;27(4):907-910. doi: 10.1007/s40477-023-00864-7. Epub 2024 Feb 24.

本文引用的文献

2
The Importance of Elastography in the Early Diagnosis of Highly Differentiated Parotid Tumors: a Case-Report.
Maedica (Bucur). 2024 Sep;19(3):652-657. doi: 10.26574/maedica.2024.19.3.652.
3
NCCN Guidelines® Insights: Melanoma: Cutaneous, Version 2.2024.
J Natl Compr Canc Netw. 2024 Jul;22(5):290-298. doi: 10.6004/jnccn.2024.0036.
4
Multiple metastasis of malignant melanoma. The diagnostic role of ultrasonography starting from a parotid tumor.
Med Ultrason. 2024 Mar 27;26(1):94-96. doi: 10.11152/mu-4322. Epub 2024 Jan 24.
5
Malignant melanoma of parotid glands from a neglected lesion: A case report.
Clin Case Rep. 2021 Oct 13;9(10):e04941. doi: 10.1002/ccr3.4941. eCollection 2021 Oct.
6
Melanoma: Staging and Follow-Up.
Dermatol Pract Concept. 2021 Jul 1;11(Suppl 1):e2021162S. doi: 10.5826/dpc.11S1a162S. eCollection 2021 Jul.
7
Facial Nerve Sacrifice During Parotidectomy for Metastatic Cutaneous Squamous Cell Carcinoma.
OTO Open. 2021 Feb 25;5(1):2473974X21996627. doi: 10.1177/2473974X21996627. eCollection 2021 Jan-Mar.
8
Can Ultrasound in Combination with Virtual Touch Imaging Quantification Predict the Dignity of a Parotid Tumor?
Ultrasound Med Biol. 2021 May;47(5):1192-1203. doi: 10.1016/j.ultrasmedbio.2020.12.027. Epub 2021 Feb 1.
9
Surgical management of the neck in patients with metastatic melanoma in parotid lymph nodes.
J Surg Oncol. 2019 Dec;120(8):1462-1469. doi: 10.1002/jso.25732. Epub 2019 Oct 25.
10

文献AI研究员

20分钟写一篇综述,助力文献阅读效率提升50倍。

立即体验

用中文搜PubMed

大模型驱动的PubMed中文搜索引擎

马上搜索

文档翻译

学术文献翻译模型,支持多种主流文档格式。

立即体验