Liu Shijie, Liu Dan
Department of Pathology, Dalian Women and Children's Medical Group, Dalian, Liaoning, China.
Department of Pathology, The First Affiliated Hospital of Dalian Medical University, Dalian, Liaoning, China.
Front Oncol. 2025 Aug 13;15:1654368. doi: 10.3389/fonc.2025.1654368. eCollection 2025.
Cervical high-grade squamous intraepithelial lesion (HSIL), a precancerous condition, can progress to cervical squamous cell carcinoma (CSCC), the most prevalent histological subtype of cervical cancer. Although CSCC most commonly metastasizes via lymphatic or hematogenous routes, contiguous superficial spread to the endometrium, fallopian tubes, and ovaries is rare.
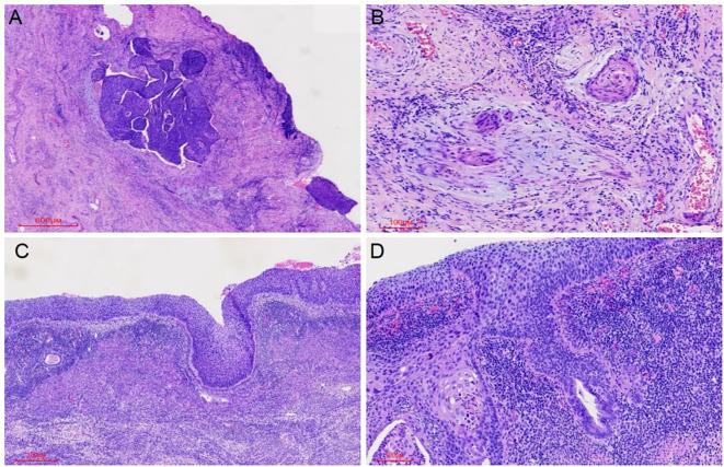
A 61-year-old postmenopausal woman was referred to our hospital for further evaluation after a positive HPV-16 test and normal ThinPrep Cytologic Test (TCT) results during a routine health examination at an external institution two weeks earlier. Histopathological examination of colposcopy-guided biopsies confirmed chronic cervicitis with HSIL. Notably, the serum squamous cell carcinoma antigen (SCC-Ag) level was markedly elevated (32.20 ng/mL). Transvaginal color Doppler ultrasonography revealed a cystic mass in the right pelvic region. Intraoperative laparoscopic findings included a tortuous, thickened right fallopian tube with fimbrial occlusion. Gross pathological examination revealed an irregular grayish-white endometrial lesion measuring 2.5*2.0 cm. The right fallopian tube exhibited focal dilation, measuring 1.6 cm in diameter. No gross abnormalities were detected in the right ovary. Final histopathology confirmed extensive cervical HSIL (CIN III) with multifocal stromal invasion (maximum depth: 4 mm), which involved the endometrium, right fallopian tube mucosa, and an ovarian inclusion cyst on the ipsilateral side.
Cervical HSIL/SCC may exhibit superficial upward extension to the endometrium and, in rare cases, can involve the ovaries. Although rare, this clinical entity warrants increased clinical vigilance. Currently, no standardized management guidelines exist for this distinct metastatic pattern, and emerging evidence suggests a multifactorial pathogenesis. These findings underscore the need for enhanced early detection and preventive strategies.
宫颈高级别鳞状上皮内病变(HSIL)是一种癌前病变,可进展为宫颈鳞状细胞癌(CSCC),这是宫颈癌最常见的组织学亚型。尽管CSCC最常通过淋巴或血行途径转移,但向子宫内膜、输卵管和卵巢的连续性浅表扩散很少见。
一名61岁绝经后女性在两周前于外院进行常规健康检查时HPV-16检测呈阳性,而薄层液基细胞学检测(TCT)结果正常,随后被转诊至我院作进一步评估。阴道镜引导下活检的组织病理学检查确诊为慢性宫颈炎伴HSIL。值得注意的是,血清鳞状细胞癌抗原(SCC-Ag)水平显著升高(32.20 ng/mL)。经阴道彩色多普勒超声检查发现右盆腔有一囊性肿块。术中腹腔镜检查发现右侧输卵管迂曲、增粗,伞端闭塞。大体病理检查发现子宫内膜有一不规则灰白色病变,大小为2.5×2.0 cm。右侧输卵管局部扩张处直径为1.6 cm。右侧卵巢未发现明显异常。最终组织病理学确诊为广泛宫颈HSIL(CIN III)伴多灶性间质浸润(最大深度:4 mm),累及子宫内膜、右侧输卵管黏膜及同侧卵巢包涵囊肿。
宫颈HSIL/CSCC可能向上浅表延伸至子宫内膜,在罕见情况下可累及卵巢。尽管罕见,但这一临床实体值得提高临床警惕。目前,对于这种独特的转移模式尚无标准化的管理指南,新出现的证据提示其发病机制是多因素的。这些发现强调了加强早期检测和预防策略的必要性。